MCMBP Antibody
-
中文名稱:MCMBP兔多克隆抗體
-
貨號:CSB-PA217530
-
規格:¥1100
-
圖片:
-
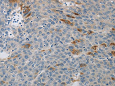
The image on the left is immunohistochemistry of paraffin-embedded Human liver cancer tissue using CSB-PA217530(MCMBP Antibody) at dilution 1/40, on the right is treated with synthetic peptide. (Original magnification: ×200)
-
Gel: 8%SDS-PAGE, Lysate: 40 μg, Lane: 231 cells, Primary antibody: CSB-PA217530(MCMBP Antibody) at dilution 1/600, Secondary antibody: Goat anti rabbit IgG at 1/8000 dilution, Exposure time: 1 minute
-
-
其他:
產品詳情
-
Uniprot No.:
-
基因名:MCMBP
-
別名:MCMBP antibody; C10orf119 antibody; Mini-chromosome maintenance complex-binding protein antibody; MCM-BP antibody; MCM-binding protein antibody
-
宿主:Rabbit
-
反應種屬:Human,Rat
-
免疫原:Synthetic peptide of Human MCMBP
-
免疫原種屬:Homo sapiens (Human)
-
標記方式:Non-conjugated
-
抗體亞型:IgG
-
純化方式:Antigen affinity purification
-
濃度:It differs from different batches. Please contact us to confirm it.
-
保存緩沖液:-20°C, pH7.4 PBS, 0.05% NaN3, 40% Glycerol
-
產品提供形式:Liquid
-
應用范圍:ELISA,WB,IHC
-
推薦稀釋比:
Application Recommended Dilution ELISA 1:2000-1:5000 WB 1:500-1:2000 IHC 1:25-1:100 -
Protocols:
-
儲存條件:Upon receipt, store at -20°C or -80°C. Avoid repeated freeze.
-
貨期:Basically, we can dispatch the products out in 1-3 working days after receiving your orders. Delivery time maybe differs from different purchasing way or location, please kindly consult your local distributors for specific delivery time.
-
用途:For Research Use Only. Not for use in diagnostic or therapeutic procedures.
相關產品
靶點詳情
-
功能:Associated component of the MCM complex that acts as a regulator of DNA replication. Binds to the MCM complex during late S phase and promotes the disassembly of the MCM complex from chromatin, thereby acting as a key regulator of pre-replication complex (pre-RC) unloading from replicated DNA. Can dissociate the MCM complex without addition of ATP; probably acts by destabilizing interactions of each individual subunits of the MCM complex. Required for sister chromatid cohesion.
-
基因功能參考文獻:
- the MCMBP protein accumulates to high levels in cancer cells, whereas in normal proliferating tissue its abundance is low, indicating that MCMBP could be exploited as a novel diagnostic marker for this type of carcinoma. PMID: 25246271
- Data indicate that MCM-BP binds USP7 on chromatin and can mediate an interaction between the USP7 and MCM proteins. PMID: 24190967
- results suggest that MCM-BP makes multiple contributions to human cells that are not limited to unloading of the MCM complex PMID: 22250201
- MCM-BP can decrease phosphorylation by DDK but is not a substrate. PMID: 22540012
- MCM-BP silencing in human cells also delays MCM dissociation in late S phase PMID: 21196493
- Knockdown of the human ETG1 results in defective chromatid cohesion. PMID: 20090939
- MCM-BP is conserved in multicellular eukaryotes and shares limited homology with MCM proteins. MCM-BP formed a complex with MCM3 to MCM7, which excluded MCM2. PMID: 17296731
顯示更多
收起更多
-
亞細胞定位:Nucleus. Note=Associates with chromatin. Highly associated with chromatin in G1/S and S phases, reduced binding to chromatin in G2, and further decreased binding in early M phase. It then reassociates with chromatin in late M phase. Dissociates from chromatin later than component of the MCM complex.
-
蛋白家族:MCMBP family
-
數據庫鏈接:
Most popular with customers
-
-
YWHAB Recombinant Monoclonal Antibody
Applications: ELISA, WB, IHC, IF, FC
Species Reactivity: Human, Mouse, Rat
-
Phospho-YAP1 (S127) Recombinant Monoclonal Antibody
Applications: ELISA, WB, IHC
Species Reactivity: Human
-
-
-
-
-















