MCM9 Antibody
-
中文名稱:MCM9兔多克隆抗體
-
貨號:CSB-PA882135LA01HU
-
規格:¥440
-
圖片:
-
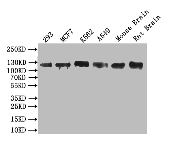
Western Blot
Positive WB detected in: 293 whole cell lysate, MCF7 whole cell lysate, K562 whole cell lysate, A549 whole cell lysate, Mouse Brain tissue lysate, Mouse Brain tissue lysate
All lanes: MCM9 antibody at 1:1000
Secondary
Goat polyclonal to rabbit IgG at 1/50000 dilution
Predicted band size: 127/85/72/48 kDa
Observed band size: 127 kDa -
Immunofluorescence staining of MCF7 cell with CSB-PA882135LA01HU at 1:30, counter-stained with DAPI. The cells were fixed in 4% formaldehyde and blocked in 10% normal Goat Serum. The cells were then incubated with the antibody overnight at 4C. The secondary antibody was Alexa Fluor 488-congugated AffiniPure Goat Anti-Rabbit IgG(H+L).
-
Immunofluorescence staining of MCF7 cell with 5% goat serum, counter-stained with DAPI. The cells were fixed in 4% formaldehyde and blocked in 10% normal Goat Serum. The cells were then incubated with the antibody overnight at 4C. The secondary antibody was Alexa Fluor 488-congugated AffiniPure Goat Anti-Rabbit IgG(H+L).
-
-
其他:
產品詳情
-
產品描述:
The polyclonal antibody against MCM9 was produced in rabbits and exhibits specific binding to the human and mouse MCM9 protein. The immunogen used to generate this antibody is the recombinant human DNA helicase MCM9 protein comprising 1-391 amino acids. Following immunization, the antibody was collected from the rabbit serum and purified via protein G chromatography, resulting in a purity level of 95%+.
This MCM9 antibody has been extensively tested in various applications such as ELISA, WB, and IHC, and it is capable of reacting with human and mouse samples. The MCM9 polyclonal antibody is a useful tool for investigating the expression, localization, and activity of MCM9 in various experimental contexts.
-
產品名稱:Rabbit anti-Homo sapiens (Human) MCM9 Polyclonal antibody
-
Uniprot No.:
-
基因名:MCM9
-
別名:MCM9 antibody; C6orf61 antibody; MCMDC1DNA helicase MCM9 antibody; hMCM9 antibody; EC 3.6.4.12 antibody; Mini-chromosome maintenance deficient domain-containing protein 1 antibody; Minichromosome maintenance 9 antibody
-
宿主:Rabbit
-
反應種屬:Human, Mouse, Rat
-
免疫原:Synthesized peptide derived from part region of human protein. AA range 220-240
-
免疫原種屬:Homo sapiens (Human)
-
標記方式:Non-conjugated
本頁面中的產品,MCM9 Antibody (CSB-PA882135LA01HU),的標記方式是Non-conjugated。對于MCM9 Antibody,我們還提供其他標記。見下表:
-
克隆類型:Polyclonal
-
抗體亞型:IgG
-
純化方式:Antigen affinity purification
-
濃度:It differs from different batches. Please contact us to confirm it.
-
保存緩沖液:Liquid in PBS containing 50% glycerol, 0.5% BSA and 0.02% sodium azide.
-
產品提供形式:Liquid
-
應用范圍:ELISA, WB, IF
-
推薦稀釋比:
Application Recommended Dilution WB 1:1000-1:5000 IF 1:20-1:200 -
Protocols:
-
儲存條件:Upon receipt, store at -20°C or -80°C. Avoid repeated freeze.
-
貨期:Basically, we can dispatch the products out in 1-3 working days after receiving your orders. Delivery time maybe differs from different purchasing way or location, please kindly consult your local distributors for specific delivery time.
-
用途:For Research Use Only. Not for use in diagnostic or therapeutic procedures.
相關產品
靶點詳情
-
功能:Component of the MCM8-MCM9 complex, a complex involved in the repair of double-stranded DNA breaks (DBSs) and DNA interstrand cross-links (ICLs) by homologous recombination (HR). Required for DNA resection by the MRE11-RAD50-NBN/NBS1 (MRN) complex by recruiting the MRN complex to the repair site and by promoting the complex nuclease activity. Probably by regulating the localization of the MRN complex, indirectly regulates the recruitment of downstream effector RAD51 to DNA damage sites including DBSs and ICLs. Acts as a helicase in DNA mismatch repair (MMR) following DNA replication errors to unwind the mismatch containing DNA strand. In addition, recruits MLH1, a component of the MMR complex, to chromatin. The MCM8-MCM9 complex is dispensable for DNA replication and S phase progression. Probably by regulating HR, plays a key role during gametogenesis.
-
基因功能參考文獻:
- stalled replication forks can be restarted in S phase via homologous recombination using MCM8-9 as an alternative replicative helicase. PMID: 28487407
- Significant number of potentially damaging and novel variants in MCM9 in primary ovarian insufficiency; multiallelic association with variants in DDR and MCM8-MCM9 interactome genes. PMID: 27802094
- Study identified fifteen variants that included six common SNPs and nine variants of unknown significance (VUS) in MCM9 gene. However VUS occur in MCM9 in a small proportion of Lynch-like syndrome (LLS) patients and MCM9 mutations are unlikely to explain most LLS cases. PMID: 27886675
- Data show that the two affected sisters were homozygous for the mutation of MCM9 gene, encoding the minichromosome maintenance complex component 9. PMID: 26771056
- MCM9 loading onto chromatin is MSH2-dependent, and in turn MCM9 stimulates the recruitment of MLH1 to chromatin, revealing a role for MCM9 and its helicase activity in DNA mismatch repair. PMID: 26300262
- Autosomal-recessive variants in MCM9 cause a genomic-instability syndrome associated with hypergonadotropic hypogonadism and short stature. PMID: 25480036
- Chromatin immunoprecipitation analysis using human DR-GFP cells demonstrated that MCM8 and MCM9 proteins are rapidly recruited to DNA damage sites and promote RAD51 recruitment. PMID: 23401855
- A novel alternatively spliced variant of MCM9 is specifically induced after exposure to Mitomycin C. Expression is cell-cycle regulated and induced in S-phase. PMID: 23403237
- Identified a novel MCM family gene, MCM9, by using bioinformatics; mouse MCM9 mRNA was upregulated by transcription factor E2E1 and serum stimulation in NIH3T3 cells. PMID: 15850810
- We also show that the very recently reported human MCM9 protein (HsMCM9), which resembles a truncated MCM-like protein missing a part of the MCM2-7 signature domain, is an incomplete form of the full length HsMCM9 described here. PMID: 16226853
- Cdt1, with its two opposing regulatory binding factors MCM9 and geminin, appears to be a major platform on the pre-replication complexes to integrate cell-cycle signals. PMID: 18657502
顯示更多
收起更多
-
相關疾病:Ovarian dysgenesis 4 (ODG4)
-
亞細胞定位:Nucleus. Chromosome.
-
蛋白家族:MCM family
-
數據庫鏈接:
Most popular with customers
-
-
YWHAB Recombinant Monoclonal Antibody
Applications: ELISA, WB, IHC, IF, FC
Species Reactivity: Human, Mouse, Rat
-
Phospho-YAP1 (S127) Recombinant Monoclonal Antibody
Applications: ELISA, WB, IHC
Species Reactivity: Human
-
-
-
-
-















