MCM3 Antibody
-
中文名稱:MCM3兔多克隆抗體
-
貨號:CSB-PA110553
-
規格:¥1100
-
圖片:
-
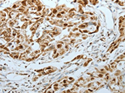
The image on the left is immunohistochemistry of paraffin-embedded Human lung cancer tissue using CSB-PA110553(MCM3 Antibody) at dilution 1/25, on the right is treated with fusion protein. (Original magnification: ×200)
-
Gel: 8%SDS-PAGE, Lysate: 40 μg, Lane 1-4: K562 cells, Jurkat cells, hela cells, 293T cells, Primary antibody: CSB-PA110553(MCM3 Antibody) at dilution 1/550, Secondary antibody: Goat anti rabbit IgG at 1/8000 dilution, Exposure time: 1 minute
-
-
其他:
產品詳情
-
Uniprot No.:
-
基因名:
-
別名:Cervical cancer proto oncogene 5 antibody; DNA polymerase alpha holoenzyme associated P1 antibody; DNA polymerase alpha holoenzyme associated protein P1 antibody; DNA polymerase alpha holoenzyme-associated protein P1 antibody; DNA replication factor MCM3 antibody; DNA replication licensing factor mcm3 antibody; HCC 5 antibody; HCC5 antibody; hRlf beta subunit antibody; Human cervical cancer proto oncogene 5 antibody; MCM 3 antibody; mcm3 antibody; MCM3 minichromosome maintenance deficient 3 antibody; MCM3_HUMAN antibody; MGC1157 antibody; Minichromosome maintenance complex component 3 antibody; Minichromosome maintenance deficient 3 antibody; Minichromosome maintenance protein 3 antibody; P1 h antibody; P1 MCM3 antibody; P1 Protein antibody; P1-MCM3 antibody; P1.h antibody; p102 antibody; P102 protein antibody; Replication licensing factor beta subunit antibody; RLF beta subunit antibody; RLF subunit beta antibody; RLFB antibody
-
宿主:Rabbit
-
反應種屬:Human,Mouse
-
免疫原:Fusion protein of Human MCM3
-
免疫原種屬:Homo sapiens (Human)
-
標記方式:Non-conjugated
-
抗體亞型:IgG
-
純化方式:Antigen affinity purification
-
濃度:It differs from different batches. Please contact us to confirm it.
-
保存緩沖液:-20°C, pH7.4 PBS, 0.05% NaN3, 40% Glycerol
-
產品提供形式:Liquid
-
應用范圍:ELISA,WB,IHC
-
推薦稀釋比:
Application Recommended Dilution ELISA 1:1000-1:5000 WB 1:500-1:2000 IHC 1:25-1:100 -
Protocols:
-
儲存條件:Upon receipt, store at -20°C or -80°C. Avoid repeated freeze.
-
貨期:Basically, we can dispatch the products out in 1-3 working days after receiving your orders. Delivery time maybe differs from different purchasing way or location, please kindly consult your local distributors for specific delivery time.
-
用途:For Research Use Only. Not for use in diagnostic or therapeutic procedures.
相關產品
靶點詳情
-
功能:Acts as component of the MCM2-7 complex (MCM complex) which is the putative replicative helicase essential for 'once per cell cycle' DNA replication initiation and elongation in eukaryotic cells. The active ATPase sites in the MCM2-7 ring are formed through the interaction surfaces of two neighboring subunits such that a critical structure of a conserved arginine finger motif is provided in trans relative to the ATP-binding site of the Walker A box of the adjacent subunit. The six ATPase active sites, however, are likely to contribute differentially to the complex helicase activity. Required for DNA replication and cell proliferation.
-
基因功能參考文獻:
- this study shows that MCM3 is a novel proliferation marker in oral squamous cell carcinoma PMID: 27258565
- High MCM3 expression is associated with bone metastasis and advanced human prostate cancer. PMID: 28424404
- reveal the Minichromosome Maintenance Complex to be a critical and directly regulated node within the miR-183 signaling network in MYCN-amplified neuroblastoma cells. Randomly selected MCMs 3 and 5 were experimentally confirmed as direct targets of miR-183. PMID: 27239679
- The results of our preliminary study emphasize the need for future research on MCM-3 as a sensitive proliferation marker, providing an alternative to Ki-67, in cases of various major salivary gland epithelial tumors in children and adolescents. PMID: 28547962
- These data establish new functions for KEAP1 within the nucleus and identify MCM3 as a novel substrate of the KEAP1-CUL3-RBX1 E3 ligase. PMID: 27621311
- The aim of this study is to analyze the immunoexpression of Ki67, p53, MCM3 and PCNA markers in epithelial remnants of dental follicles of impacted teeth and to identify a possible correlation between the immunoexpression of these markers in dentigerous cysts and keratocystic odontogenic tumors. PMID: 27516012
- High MCM-3 expression correlated with Cutaneous T-cell Lymphomas. PMID: 26504025
- normal DNA replication and replication checkpoint activation is regulated through the novel phosphorylation of MCM3 by Chk1 PMID: 25809478
- The relatively lower MCM3 protein expression in FVPTC. PMID: 23821456
- Expression of KB cell MCM3 was not affected by doxorubicin. PMID: 24344040
- present study aimed to investigate the relationship between expression of minichromosome maintenance proteins (MCM-3, MCM-7), metallothioneins (MT-I/II, MT-III), and Ki-67 in 103 ovarian cancer cases, mostly of the serous histological type PMID: 24324072
- High MCM3 expression is associated with mucoepidermoid carcinomas and adenoid cystic carcinomas in salivary gland tumors. PMID: 23886132
- Relatively lower MCM3 protein expression in follicular variant of papillary thyroid carcinoma comparing to classical type could be due to a different tumorigenic pathway favored in this type of tissue. PMID: 23821456
- These findings provide validation of the utility of MCM3 expression as an independent biomarker for prognostication of patients with primary melanoma PMID: 22805320
- excess of MCM3 up-regulates the phosphorylation of CHK1 Ser-345 and CDK2 Thr-14. PMID: 21965652
- MCM3 gene expression is decreased in follicular variant of papillary thyroid carcinoma, contrary to expectation. PMID: 21509594
- Using U373MG cells we found that HCMV IE86 protein was bound to Mcm3, but did not inhibit the cellular DNA synthesis. PMID: 20545442
- MCM3 may be a more reliable proliferation marker than Ki-67 in accessing the growth of tumor and evaluating tumor aggressiveness of papillary thyroid carcinoma. PMID: 19818763
- The MCM3 acetylase MCM3AP inhibits initiation, but not elongation, of DNA replication via interaction with this protein PMID: 12226073
- Elevated MCM3 protein expression is associated with neoplasms PMID: 15623617
- MCM3 is overexpressed in human astrocytic tumors and elicits a cancer-restricted humoral immune response in some patients with brain neoplasms PMID: 15671553
- ORC1 and Mcm3 proteins are required for DNA replication in protein extracts from human cells PMID: 16537544
- analysis of carboxyl-terminal MCM3 phosphorylation sites and their motifs PMID: 17244605
- These data reveal that CDK-dependent MCM3 phosphorylation contributes to the regulated formation of the MCM2-7 complex. PMID: 18524952
顯示更多
收起更多
-
亞細胞定位:Nucleus. Chromosome.
-
蛋白家族:MCM family
-
數據庫鏈接:
Most popular with customers
-
-
YWHAB Recombinant Monoclonal Antibody
Applications: ELISA, WB, IHC, IF, FC
Species Reactivity: Human, Mouse, Rat
-
Phospho-YAP1 (S127) Recombinant Monoclonal Antibody
Applications: ELISA, WB, IHC
Species Reactivity: Human
-
-
-
-
-















