MCL1 Antibody
-
中文名稱:MCL1兔多克隆抗體
-
貨號:CSB-PA438059
-
規格:¥1100
-
圖片:
-
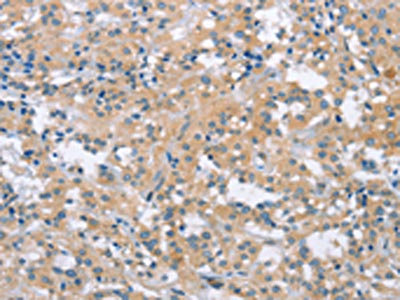
The image on the left is immunohistochemistry of paraffin-embedded Human gastic cancer tissue using CSB-PA438059(MCL1 Antibody) at dilution 1/60, on the right is treated with synthetic peptide. (Original magnification: ×200)
-
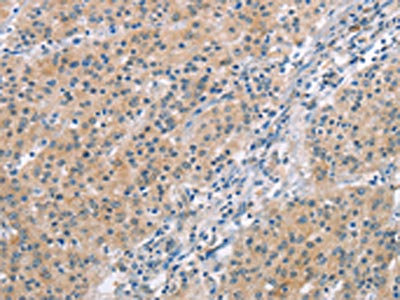
The image on the left is immunohistochemistry of paraffin-embedded Human thyroid cancer tissue using CSB-PA438059(MCL1 Antibody) at dilution 1/60, on the right is treated with synthetic peptide. (Original magnification: ×200)
-
-
其他:
產品詳情
-
Uniprot No.:
-
基因名:
-
別名:Bcl 2 related protein EAT/mcl1 antibody; Bcl-2-like protein 3 antibody; Bcl-2-related protein EAT/mcl1 antibody; BCL2 related antibody; Bcl2-L-3 antibody; BCL2L3 antibody; EAT antibody; Induced myeloid leukemia cell differentiation protein Mcl 1 antibody; Induced myeloid leukemia cell differentiation protein Mcl-1 antibody; MCL 1 antibody; MCL1 antibody; MCL1-ES antibody; mcl1/EAT antibody; MCL1_HUMAN antibody; MCL1L antibody; MCL1S antibody; MGC104264 antibody; MGC1839 antibody; Myeloid Cell Leukemia 1 antibody; Myeloid cell leukemia ES antibody; Myeloid cell leukemia sequence 1 antibody; Myeloid cell leukemia sequence 1 BCL2 related antibody; Myeloid cell leukemia sequence 1 isoform 1 antibody; OTTHUMP00000032794 antibody; OTTHUMP00000032795 antibody; TM antibody
-
宿主:Rabbit
-
反應種屬:Human,Mouse,Rat
-
免疫原:Synthetic peptide of Human MCL1
-
免疫原種屬:Homo sapiens (Human)
-
標記方式:Non-conjugated
-
抗體亞型:IgG
-
純化方式:Antigen affinity purification
-
濃度:It differs from different batches. Please contact us to confirm it.
-
保存緩沖液:-20°C, pH7.4 PBS, 0.05% NaN3, 40% Glycerol
-
產品提供形式:Liquid
-
應用范圍:ELISA,IHC
-
推薦稀釋比:
Application Recommended Dilution ELISA 1:2000-1:5000 IHC 1:50-1:200 -
Protocols:
-
儲存條件:Upon receipt, store at -20°C or -80°C. Avoid repeated freeze.
-
貨期:Basically, we can dispatch the products out in 1-3 working days after receiving your orders. Delivery time maybe differs from different purchasing way or location, please kindly consult your local distributors for specific delivery time.
-
用途:For Research Use Only. Not for use in diagnostic or therapeutic procedures.
相關產品
靶點詳情
-
功能:Involved in the regulation of apoptosis versus cell survival, and in the maintenance of viability but not of proliferation. Mediates its effects by interactions with a number of other regulators of apoptosis. Isoform 1 inhibits apoptosis. Isoform 2 promotes apoptosis.
-
基因功能參考文獻:
- enhanced ETS factor activity and the transcription of ETS family target genes related to spliceosome function and cell death induction via alternate MCL1 splicing, is reported. PMID: 29118074
- These results indicate that the outer membrane protein MCL1 is degraded by the VCP-UBXD1 complex and that the process is promoted by the presence of mutant Huntingtin. PMID: 27913212
- cMcl-1 overexpression appears to occur independently from MCL1 gene amplification in nonsmall cell lung cancer and correlates with adenocarcinoma in situ histologic type, lower tumor grade, smaller tumor size, nonrecurrent disease, and increased survival. PMID: 29567880
- hTERT contains a BH3-like motif, a short peptide sequence found in BCL-2 family proteins, and interacts with anti-apoptotic BCL-2 family proteins MCL-1 and BCL-xL PMID: 29937479
- RaRF cross-talks with MCL1 during retinoic acid (RA)-induced leukemic myeloblast differentiation. MCL1 is upregulated by RA treatment upon RaRF depletion in acute promyelocytic leukemia cells. PMID: 28945224
- the key role of Mcl1 in regulating apoptosis of melanoma cells induced by the steroid. These properties of 9(11)DHEP advocate its usage as supplements in human malignant melanoma chemoprevention. PMID: 29845223
- miR-29b suppressed cellular proliferation and promoted apoptosis of pulmonary artery smooth muscle cells, possibly through the inhibition of Mcl-1 and CCND2. PMID: 29662889
- The repression of MCL-1 renders leukemic cells highly sensitive to synergistic cell death induced by ABT-263 in a mouse model of BCR-ABL(+) B-ALL both in vitro and in vivo Furthermore, DHA synergizes with ABT-263 in human Ph(+) ALL cell lines, and primary patient-derived xenografts of Ph(+) ALL in culture. Our findings suggest that combining DHA with ABT-263 can improve therapeutic response in BCR-ABL(+) B-ALL PMID: 28974549
- Modulation of MEK/ERK-dependent Bim and Mcl-1 degradation critically mediates sensitivity and resistance of EGFR-mutant non-small cell lung cancer (NSCLC)cells to AZD9291 and hence is an effective strategy to overcome acquired resistance to AZD9291 PMID: 28765329
- analysis of how a hydrophobic staple induces an unanticipated structural rearrangement in Mcl-1 upon binding PMID: 29339518
- Data suggest that NEAT1 is highly expressed in dexamethasone-(DEX-)-resistant multiple myeloma (MM) cell lines; up-regulation of NEAT1 is tightly linked to poor prognosis in MM patients. During development of DEX resistance in MM cells, MIRN193a levels are down-regulated resulting in up-regulation of expression of target gene myeloid cell leukemia-1 (MCL1). (NEAT1 = nuclear paraspeckle assembly transcript 1) PMID: 29205703
- These results suggest that PKCeta utilizes the ERK signaling pathway to protect against ubiquitin-mediated proteasomal degradation of Mcl-1 PMID: 28939105
- Mcl-1 is a disease-specific target of Cdk5, which associates with Cdk5 under basal conditions, but is not regulated by it. PMID: 28751497
- MYC and MCL1 cooperate in the maintenance of chemotherapy-resistant cancer stem cells in triple-negative breast cancer. PMID: 28978427
- Serum deprivation reduces the Mcl-1 mRNA level, which consequently decreases the Mcl-1 protein level and renders cells more susceptible to apoptosis induction via the formation of apoptosome. Mcl-1 protein is an important regulator of sensitivity of cancer cells to apoptotic stimuli upon serum deprivation. PMID: 29203282
- It is a potential therapeutic targets for gastric adenocarcinoma. PMID: 29110251
- Our findings suggest FBW7 mutational status and Mcl-1 stability as key determinants of response to Hsp90 inhibitors, which provides a rationale for using FBW7 genotype for potential patient stratification, and for drug combinations with Hsp90 inhibitors that can effectively overcome Mcl-1-mediated resistance. PMID: 28619760
- FBXO4 is the E3 ubiquitin ligase to interact with and promote Mcl-1 ubiquitination and degradation. PMID: 28776569
- MUC1-C Stabilizes MCL-1 in the Oxidative Stress Response of Triple-Negative Breast Cancer Cells to BCL-2 Inhibitors PMID: 27217294
- Deubiquitinating enzyme 13 (USP13) regulates myeloid cell leukemia sequence 1 protein (MCL1) stability in lung and ovarian cancer cells. PMID: 29335437
- High MCL1 expression is associated with renal cell carcinoma. PMID: 27582546
- Our studies not only define the essential role of Mcl-1 in chemoresistance, but also for the first time link a key pro-survival Bcl-2 family member with the NOX protein family, both of which have significant ramifications in cancer progression. PMID: 28423654
- Co-treatment with inhibitors to Mcl-1, PI3K, RAF or MEK restores mTOR inhibitor-induced apoptosis by antagonizing Mcl-1 or abrogating ERK activation in BRAFV600E cells. PMID: 27351224
- Together, these data suggest that Mcl-1 is a major contributor to BET inhibitor-resistance in HCC cells, and that combining drugs capable of down-regulating Mcl-1 may promote therapeutic potential in human HCC. PMID: 29287727
- Report the complexity in Mcl-1 phosphorylation/degradation in response to microtubule targeting agents in Hela cells. PMID: 27738316
- Data suggest that FBXW7, MCL1 and PLK1 may be relevant predictive markers of tumor progression and response to paclitaxel treatment. PMID: 27409838
- Synthesis of MCL1, an antiapoptotic protein known to play a role in cancer cell survival during cell division, depends on the function of MELK-elF4B signaling. PMID: 27528663
- Immunohistochemical analysis showed that the MCL-1 positive rate among myelodysplastic syndromes (MDSs) bone marrow CD34 positive cells significantly increased during transformation to overt leukaemia (OL). Additionally, MCL-1 positive cells were negative for cleaved caspase 3, which indicated that these cells avoided apoptosis. PMID: 27020498
- sequestration of Bim by Mcl-1 is a mechanism of intrinsic ABT-199 resistance and supports the clinical development of ABT-199 in combination with cytarabine or daunorubicin for the treatment of AML. PMID: 27103402
- Quinacrine and sorafenib inhibited expression of prosurvival MCL1. PMID: 27307592
- Mcl-1 suppression was determined to play a critical role in mediating this enhancing effect. PMID: 26603262
- The authors identified the apoptosis regulator Mcl-1 as a target that interacts with Chlamydia trachomatis Cdu1 and is stabilized by deubiquitination at the chlamydial inclusion. PMID: 28347402
- geraniin retarded ovarian cancer growth and reduced expression of phospho-p65 and Mcl-1. Collectively, geraniin elicits growth suppression in ovarian cancer through inhibition of NF-kappaB and Mcl-1 and may provide therapeutic benefits for this malignancy. PMID: 28590547
- Data show that Noxa-mediated MCL-1 phosphorylation and degradation is regulated by CDK2. PMID: 27166195
- UMI-77 alone or in combination with TRAIL untethered pro-apoptotic Bcl-2 proteins Bim and Bak from the sequestration of Mcl-1 and promoted the conformational activation of Bak. PMID: 28337703
- Our results demonstrate that in placenta accreta, miR-29a/b/c inhibits apoptosis of implantation site intermediate trophoblast cells by targeting MCL1. PMID: 27871464
- PTBP1 is a novel regulator of MCL1 mRNA by which it controls apoptotic response to antitubulin chemotherapeutics. PMID: 27367564
- our results provide new insights into the critical role of NCTD in suppressing Mcl-1 via epigenetic upregulation of miR-320d, resulting in PCa cell apoptosis PMID: 28760656
- knockdown of NAP1L1 suppresses IkappaBalpha degradation and nuclear transport of p65 subunit after treatment with TNF-a stimulation, leading to attenuation of the NF-kappaB transcriptional activity, whereas NAP1L4 knockdown remains silent.results of this study suggest that NAP1L1 downregulation renders the cell vulnerable to apoptotic cell death through attenuation of NF-kappaB transcriptional activity on the anti-apop... PMID: 28687276
- induction of MCL-1 by IL-6/IL-8 may surmount any direct down-regulation by miR-29b via its 3'-UTR. PMID: 28190086
- HB-EGF is implicated in DNA double strand breaks repair as silencing of HB-EGF increased gammaH2AX foci half-life as well as USP9X expression, two features that could be linked to the observed effect on Mcl-1. PMID: 28970067
- Augmentation of proteasome activity had a critical role in downregulation of Mcl-1 and c-FLIP expression at the post-translational level. PMID: 28182008
- These findings provide new insights into MCL-1 ligands, and the interplay between DRP-1 and the anti-apoptotic BCL-2 family members in the regulation of apoptosis PMID: 28079887
- the c-FLIP and NOXA/Mcl-1 axis participated in the synergistic effect of pemetrexed plus cisplatin in human choroidal melanoma cells PMID: 28863158
- These results identify MCL-1 as a critical prosurvival protein for preventing beta-cell death and clarify the mechanisms behind its downregulation by proinflammatory cytokines. PMID: 28667119
- that inhibition of Mcl-1 expression by siRNA considerably enhanced Pevonedistat-triggered the activation of caspase-3, PARP cleavage and apoptosis PMID: 28663057
- Targeted Mcl-1 blockade using RNAi increased caspase-mediated cell death in ERalpha(+) breast cancer cells, resulting in sustained growth inhibition. PMID: 28039357
- Expression level of MCL-1 is upregulated in renal cell carcinoma. PMID: 28692117
- Study indicates that two distinct micro-environmental factors, CD40L and Mphis, signal via CCR1 to induce AKT activation resulting in translational stabilization of MCL-1, and hence can contribute to CLL cell survival. PMID: 28192408
- High MCL1 expression is associated with cisplatin-resistance in breast cancer. PMID: 28423543
顯示更多
收起更多
-
亞細胞定位:Membrane; Single-pass membrane protein. Cytoplasm. Mitochondrion. Nucleus, nucleoplasm. Note=Cytoplasmic, associated with mitochondria.
-
蛋白家族:Bcl-2 family
-
數據庫鏈接:
Most popular with customers
-
-
YWHAB Recombinant Monoclonal Antibody
Applications: ELISA, WB, IHC, IF, FC
Species Reactivity: Human, Mouse, Rat
-
Phospho-YAP1 (S127) Recombinant Monoclonal Antibody
Applications: ELISA, WB, IHC
Species Reactivity: Human
-
-
-
-
-















