MCF2 Antibody
-
中文名稱:MCF2兔多克隆抗體
-
貨號:CSB-PA013579LA01HU
-
規格:¥440
-
圖片:
-
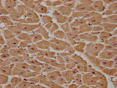
IHC image of CSB-PA013579LA01HU diluted at 1:100 and staining in paraffin-embedded human heart tissue performed on a Leica BondTM system. After dewaxing and hydration, antigen retrieval was mediated by high pressure in a citrate buffer (pH 6.0). Section was blocked with 10% normal goat serum 30min at RT. Then primary antibody (1% BSA) was incubated at 4°C overnight. The primary is detected by a biotinylated secondary antibody and visualized using an HRP conjugated SP system.
-
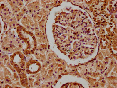
IHC image of CSB-PA013579LA01HU diluted at 1:100 and staining in paraffin-embedded human kidney tissue performed on a Leica BondTM system. After dewaxing and hydration, antigen retrieval was mediated by high pressure in a citrate buffer (pH 6.0). Section was blocked with 10% normal goat serum 30min at RT. Then primary antibody (1% BSA) was incubated at 4°C overnight. The primary is detected by a biotinylated secondary antibody and visualized using an HRP conjugated SP system.
-
Immunofluorescence staining of U251 cells with CSB-PA013579LA01HU at 1:50, counter-stained with DAPI. The cells were fixed in 4% formaldehyde, permeabilized using 0.2% Triton X-100 and blocked in 10% normal Goat Serum. The cells were then incubated with the antibody overnight at 4°C. The secondary antibody was Alexa Fluor 488-congugated AffiniPure Goat Anti-Rabbit IgG(H+L).
-
-
其他:
產品詳情
-
產品名稱:Rabbit anti-Homo sapiens (Human) MCF2 Polyclonal antibody
-
Uniprot No.:
-
基因名:MCF2
-
別名:MCF2 antibody; DBLProto-oncogene DBL antibody; Proto-oncogene MCF-2) [Cleaved into: MCF2-transforming protein; DBL-transforming protein] antibody
-
宿主:Rabbit
-
反應種屬:Human
-
免疫原:Recombinant Human Proto-oncogene DBL protein (705-925AA)
-
免疫原種屬:Homo sapiens (Human)
-
標記方式:Non-conjugated
本頁面中的產品,MCF2 Antibody (CSB-PA013579LA01HU),的標記方式是Non-conjugated。對于MCF2 Antibody,我們還提供其他標記。見下表:
-
克隆類型:Polyclonal
-
抗體亞型:IgG
-
純化方式:Antigen Affinity Purified
-
濃度:It differs from different batches. Please contact us to confirm it.
-
保存緩沖液:Preservative: 0.03% Proclin 300
Constituents: 50% Glycerol, 0.01M PBS, pH 7.4 -
產品提供形式:Liquid
-
應用范圍:ELISA, IHC, IF
-
推薦稀釋比:
Application Recommended Dilution IHC 1:20-1:200 IF 1:50-1:200 -
Protocols:
-
儲存條件:Upon receipt, store at -20°C or -80°C. Avoid repeated freeze.
-
貨期:Basically, we can dispatch the products out in 1-3 working days after receiving your orders. Delivery time maybe differs from different purchasing way or location, please kindly consult your local distributors for specific delivery time.
-
用途:For Research Use Only. Not for use in diagnostic or therapeutic procedures.
相關產品
靶點詳情
-
功能:Guanine nucleotide exchange factor (GEF) that modulates the Rho family of GTPases. Promotes the conversion of some member of the Rho family GTPase from the GDP-bound to the GTP-bound form. Isoform 1 exhibits no activity toward RHOA, RAC1 or CDC42. Isoform 2 exhibits decreased GEF activity toward CDC42. Isoform 3 exhibits a weak but significant activity toward RAC1 and CDC42. Isoform 4 exhibits significant activity toward RHOA and CDC42. The truncated DBL oncogene is active toward RHOA, RAC1 and CDC42.
-
基因功能參考文獻:
- Results support a role for Dbl oncogene in mammary epithelial cell differentiation and transformation and suggest the relevance of GEF deregulation in tumor onset and progression. PMID: 25723869
- Phosphoinositide 3-kinase C2beta regulates RhoA and the actin cytoskeleton through an interaction with Dbl PMID: 22984590
- Dbl is regulated by hamartin through association with ezrin. PMID: 21712385
- proto-oncogene dbl is not a major target for sporadic testicular germ cell tumors PMID: 19373475
- data describe 4 splicing variants of the human DBL (MCF-2) proto-oncogene that show different tissue distributions and guanine nucleotide exchange factor specificities PMID: 12445822
- provides fundamental data on the structure of Mcf-2, which regulates a variety of cellular signaling pathways PMID: 13679059
- These data suggest a mechanism whereby precise spatial guanine nucleotide exchange of Cdc42 by Dbl is dependent on functional ERM proteins and is important for directional cell migration. PMID: 17538024
- Galphaq directly activates p63RhoGEF and Trio via a conserved extension of the Dbl homology-associated pleckstrin homology domain PMID: 17606614
- Nm23-H1 can negatively regulate cell migration and tumor metastasis by modulating the activity of Cdc42 and possibly other Rho family members through interaction with Dbl-1 PMID: 18728402
顯示更多
收起更多
-
相關疾病:MCF2 and DBL represent two activated versions of the same proto-oncogene.
-
亞細胞定位:Cytoplasm.; [Isoform 1]: Membrane.; [Isoform 3]: Membrane. Note=Colocalizes with CDC42 to plasma membrane.
-
蛋白家族:MCF2 family
-
組織特異性:Isoform 1 is expressed only in brain. Isoform 3 is expressed in heart, kidney, spleen, liver and testis. Isoform 4 is expressed in brain, heart, kidney, testis, placenta, stomach and peripheral blood. The protein is detectable in brain, heart, kidney, int
-
數據庫鏈接:
Most popular with customers
-
YWHAB Recombinant Monoclonal Antibody
Applications: ELISA, WB, IHC, IF, FC
Species Reactivity: Human, Mouse, Rat
-
Phospho-YAP1 (S127) Recombinant Monoclonal Antibody
Applications: ELISA, WB, IHC
Species Reactivity: Human
-
-
-
-
-
-















