MCC Antibody
-
中文名稱:MCC兔多克隆抗體
-
貨號:CSB-PA826358
-
規格:¥1100
-
圖片:
-
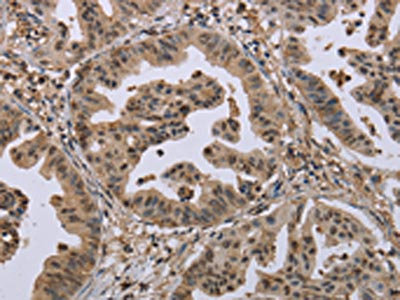
The image on the left is immunohistochemistry of paraffin-embedded Human liver cancer tissue using CSB-PA826358(MCC Antibody) at dilution 1/30, on the right is treated with synthetic peptide. (Original magnification: ×200)
-
The image on the left is immunohistochemistry of paraffin-embedded Human gastric cancer tissue using CSB-PA826358(MCC Antibody) at dilution 1/30, on the right is treated with synthetic peptide. (Original magnification: ×200)
-
-
其他:
產品詳情
-
Uniprot No.:
-
基因名:MCC
-
別名:Colorectal mutant cancer protein antibody; CRCM_HUMAN antibody; DKFZp762O1615 antibody; FLJ38893 antibody; FLJ46755 antibody; MCC 1 antibody; MCC antibody; MCC1 antibody; Mutated in colorectal cancers antibody; Protein MCC antibody
-
宿主:Rabbit
-
反應種屬:Human
-
免疫原:Synthetic peptide of Human MCC
-
免疫原種屬:Homo sapiens (Human)
-
標記方式:Non-conjugated
-
抗體亞型:IgG
-
純化方式:Antigen affinity purification
-
濃度:It differs from different batches. Please contact us to confirm it.
-
保存緩沖液:-20°C, pH7.4 PBS, 0.05% NaN3, 40% Glycerol
-
產品提供形式:Liquid
-
應用范圍:ELISA,IHC
-
推薦稀釋比:
Application Recommended Dilution ELISA 1:2000-1:5000 IHC 1:50-1:200 -
Protocols:
-
儲存條件:Upon receipt, store at -20°C or -80°C. Avoid repeated freeze.
-
貨期:Basically, we can dispatch the products out in 1-3 working days after receiving your orders. Delivery time maybe differs from different purchasing way or location, please kindly consult your local distributors for specific delivery time.
-
用途:For Research Use Only. Not for use in diagnostic or therapeutic procedures.
相關產品
靶點詳情
-
功能:Candidate for the putative colorectal tumor suppressor gene located at 5q21. Suppresses cell proliferation and the Wnt/b-catenin pathway in colorectal cancer cells. Inhibits DNA binding of b-catenin/TCF/LEF transcription factors. Involved in cell migration independently of RAC1, CDC42 and p21-activated kinase (PAK) activation. Represses the beta-catenin pathway (canonical Wnt signaling pathway) in a CCAR2-dependent manner by sequestering CCAR2 to the cytoplasm, thereby impairing its ability to inhibit SIRT1 which is involved in the deacetylation and negative regulation of beta-catenin (CTNB1) transcriptional activity.
-
基因功能參考文獻:
- Study described a novel tumor suppressor function of MCC in the regulation of E-cadherin mediated cell-cell adhesion in colorectal cancer cells. PMID: 29035389
- Data suggest that millisecond dynamic changes in PDZ1 domain conformation are responsible for higher affinity of scribble PDZ1 for phosphorylated ligands; oligopeptide fragments of RPS6KA2 and MCC were used as ligands in these nuclear magnetic resonance chemical shift experiments. (RPS6KA2 = ribosomal protein S6 kinase 2; MCC = mutated in colorectal cancer protein) PMID: 29144123
- MCC might confer alterative genetic susceptibility to colorectal cancer in individuals with schizophrenia promising to shed more light on the relationship between schizophrenia and cancer progression. PMID: 27226254
- Our results indicate that in sharp contrast to its tumor suppressive role in colorectal cancer, MCC functions as an oncogene in B cells PMID: 25200342
- cytoplasmic MCC-DBC1 interaction sequesters DBC1 away from the nucleus, thereby removing a brake on DBC1 nuclear targets, such as SIRT1 PMID: 24824780
- targeted by miR-494, which is overexpressed in hepatocellular carcinoma PMID: 23913442
- MCC regulates lamellipodia formation by binding to Scrib and its downstream partner Myosin-IIB in a multiprotein complex. PMID: 22480440
- we have shown that promoter methylation of the APC gene does not extend to the neighbouring MCC gene in lung cancer, but LOH is found at both loci. PMID: 22542170
- Promoter methylated MCC is associated with inflammatory bowel disease in colorectal cancer. PMID: 22213290
- observed a significant association of the rs11283943 SNP with increased breast cancer risk in an Indian population PMID: 21279955
- MCC is a nuclear, beta-catenin-interacting protein that can act as a potential tumor suppressor in the serrated colorectal cancer pathway by inhibiting Wnt/beta-catenin signal transduction. PMID: 18591935
- Results identify MCC as a potential scaffold protein regulating cell movement and able to bind Scrib, beta-catenin and NHERF1/2. PMID: 19555689
顯示更多
收起更多
-
亞細胞定位:Cell membrane. Cell projection, lamellipodium. Nucleus. Cytoplasm. Note=Colocalizes with actin at the leading edge of polarized cells.
-
蛋白家族:MCC family
-
組織特異性:Expressed in a variety of tissues.
-
數據庫鏈接:
Most popular with customers
-
YWHAB Recombinant Monoclonal Antibody
Applications: ELISA, WB, IHC, IF, FC
Species Reactivity: Human, Mouse, Rat
-
Phospho-YAP1 (S127) Recombinant Monoclonal Antibody
Applications: ELISA, WB, IHC
Species Reactivity: Human
-
-
-
-
-
-















