MBNL3 Antibody
-
中文名稱:MBNL3兔多克隆抗體
-
貨號:CSB-PA244510
-
規格:¥1100
-
圖片:
-
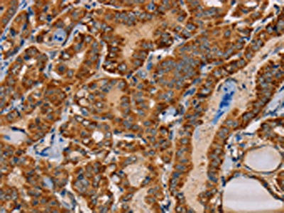
The image on the left is immunohistochemistry of paraffin-embedded Human thyroid cancer tissue using CSB-PA244510(MBNL3 Antibody) at dilution 1/30, on the right is treated with fusion protein. (Original magnification: ×200)
-
The image on the left is immunohistochemistry of paraffin-embedded Human cervical cancer tissue using CSB-PA244510(MBNL3 Antibody) at dilution 1/30, on the right is treated with fusion protein. (Original magnification: ×200)
-
-
其他:
產品詳情
-
Uniprot No.:
-
基因名:MBNL3
-
別名:A530038J18Rik antibody; AI661274 antibody; CHCR antibody; Cys3His CCG1 required protein antibody; Cys3His CCG1-required protein antibody; E430034C16Rik antibody; MBLX antibody; MBLX39 antibody; MBNL 3 antibody; Mbnl3 antibody; MBNL3_HUMAN antibody; MBXL antibody; Muscleblind like 3 antibody; Muscleblind like protein 3 antibody; Muscleblind like splicing regulator 3 antibody; Muscleblind like X linked protein antibody; Muscleblind-like protein 3 antibody; Muscleblind-like X-linked protein antibody; OTTMUSP00000019072 antibody; OTTMUSP00000019073 antibody; OTTMUSP00000019074 antibody; Protein HCHCR antibody; RP23-98P13.1 antibody
-
宿主:Rabbit
-
反應種屬:Human,Mouse
-
免疫原:Fusion protein of Human MBNL3
-
免疫原種屬:Homo sapiens (Human)
-
標記方式:Non-conjugated
-
抗體亞型:IgG
-
純化方式:Antigen affinity purification
-
濃度:It differs from different batches. Please contact us to confirm it.
-
保存緩沖液:-20°C, pH7.4 PBS, 0.05% NaN3, 40% Glycerol
-
產品提供形式:Liquid
-
應用范圍:ELISA,IHC
-
推薦稀釋比:
Application Recommended Dilution ELISA 1:2000-1:5000 IHC 1:50-1:200 -
Protocols:
-
儲存條件:Upon receipt, store at -20°C or -80°C. Avoid repeated freeze.
-
貨期:Basically, we can dispatch the products out in 1-3 working days after receiving your orders. Delivery time maybe differs from different purchasing way or location, please kindly consult your local distributors for specific delivery time.
-
用途:For Research Use Only. Not for use in diagnostic or therapeutic procedures.
相關產品
靶點詳情
-
功能:Mediates pre-mRNA alternative splicing regulation. Acts either as activator or repressor of splicing on specific pre-mRNA targets. Inhibits cardiac troponin-T (TNNT2) pre-mRNA exon inclusion but induces insulin receptor (IR) pre-mRNA exon inclusion in muscle. Antagonizes the alternative splicing activity pattern of CELF proteins. May play a role in myotonic dystrophy pathophysiology (DM). Could inhibit terminal muscle differentiation, acting at approximately the time of myogenin induction.
-
基因功能參考文獻:
- The MBNL3 splicing factor promotes hepatocellular carcinoma by increasing pacillin expression through the alternative splicing of lncRNA-PXN-AS1. PMID: 28553938
- results suggest that CHCR is an inhibitor of myogenesis PMID: 12297108
- MBNL proteins promote opposite splicing patterns for cardiac troponin T and insulin receptor alternative exons PMID: 15257297
- We exclude MBNL3 as the causative gene in this family. PMID: 17102799
- MBNL3 was not found in human samples. PMID: 19095965
顯示更多
收起更多
-
亞細胞定位:Nucleus. Cytoplasm. Note=Greater concentration in the nucleus. In both DM1 and DM2 patients, colocalizes with nuclear foci of retained expanded-repeat transcripts.
-
蛋白家族:Muscleblind family
-
組織特異性:Highly expressed in the placenta.
-
數據庫鏈接:
Most popular with customers
-
-
YWHAB Recombinant Monoclonal Antibody
Applications: ELISA, WB, IHC, IF, FC
Species Reactivity: Human, Mouse, Rat
-
Phospho-YAP1 (S127) Recombinant Monoclonal Antibody
Applications: ELISA, WB, IHC
Species Reactivity: Human
-
-
-
-
-















