MATN2 Antibody
-
中文名稱:MATN2兔多克隆抗體
-
貨號:CSB-PA013521LA01HU
-
規格:¥440
-
圖片:
-
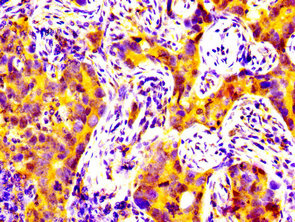
IHC image of CSB-PA013521LA01HU diluted at 1:200 and staining in paraffin-embedded human pancreatic cancer performed on a Leica BondTM system. After dewaxing and hydration, antigen retrieval was mediated by high pressure in a citrate buffer (pH 6.0). Section was blocked with 10% normal goat serum 30min at RT. Then primary antibody (1% BSA) was incubated at 4°C overnight. The primary is detected by a biotinylated secondary antibody and visualized using an HRP conjugated SP system.
-
-
其他:
產品詳情
-
產品名稱:Rabbit anti-Homo sapiens (Human) MATN2 Polyclonal antibody
-
Uniprot No.:
-
基因名:MATN2
-
別名:Crtm2 antibody; MATN 2 antibody; Matn2 antibody; MATN2_HUMAN antibody; Matrilin-2 antibody; Matrilin2 antibody; MGC102477 antibody
-
宿主:Rabbit
-
反應種屬:Human
-
免疫原:Recombinant Human Matrilin-2 protein (746-867AA)
-
免疫原種屬:Homo sapiens (Human)
-
標記方式:Non-conjugated
本頁面中的產品,MATN2 Antibody (CSB-PA013521LA01HU),的標記方式是Non-conjugated。對于MATN2 Antibody,我們還提供其他標記。見下表:
-
克隆類型:Polyclonal
-
抗體亞型:IgG
-
純化方式:>95%, Protein G purified
-
濃度:It differs from different batches. Please contact us to confirm it.
-
保存緩沖液:Preservative: 0.03% Proclin 300
Constituents: 50% Glycerol, 0.01M PBS, pH 7.4 -
產品提供形式:Liquid
-
應用范圍:ELISA, IHC
-
推薦稀釋比:
Application Recommended Dilution IHC 1:200-1:500 -
Protocols:
-
儲存條件:Upon receipt, store at -20°C or -80°C. Avoid repeated freeze.
-
貨期:Basically, we can dispatch the products out in 1-3 working days after receiving your orders. Delivery time maybe differs from different purchasing way or location, please kindly consult your local distributors for specific delivery time.
-
用途:For Research Use Only. Not for use in diagnostic or therapeutic procedures.
相關產品
靶點詳情
-
功能:Involved in matrix assembly.
-
基因功能參考文獻:
- findings showed that YopK binds to the cell surface-exposed endogenous MATN2 and that purified YopK protein strongly inhibits the bacterial adherence to HeLa cells PMID: 28533472
- Data show that the mRNA and protein levels of matrilin-2 were increased after irradiation treatment in both mouse lung tissue and human pulmonary alveolar epithelial cells (HPAEpiC). PMID: 27923659
- Taken together, our results showed that high-glucose-induced Matrilin-2 expression that was mediated by the TGF-beta1/Smad3 signaling pathway might play a role in Diabetic nephropathy (DN) pathogenesis and our finding provided a potential diagnostic and/or therapeutic target for DN. PMID: 27105914
- Matrilin-2 induces post-burn inflammatory responses as an endogenous danger signal, partly through a TLR4-mediated mechanism PMID: 26271809
- matrilin-2, a filament-forming protein widely distributed in extracellular matrices. PMID: 11852232
- matrilin-2 is expressed in normal skin by keratinocytes and fibroblasts and may thus contribute to cutaneous homeostasis. PMID: 12164922
- study of interactions by which matrilin-2 can be integrated into extracellular filamentous networks PMID: 12180907
- These results suggest that matrilin-2 may be a specific and clinically useful biomarker for discriminating between indolent and clinically aggressive pilocytic astrocytoma. PMID: 16401863
- DeltaNp63/BMP-7 signaling pathway modulates wound healing process through the regulation of matrilin-2. PMID: 18328806
- data indicate matrilin-2 is a novel basement membrane component in the liver, synthesized during sinusoidal "capillarization" in cirrhosis & in hepatocellular carcinoma PMID: 18386166
顯示更多
收起更多
-
亞細胞定位:Secreted.
-
數據庫鏈接:
Most popular with customers
-
-
YWHAB Recombinant Monoclonal Antibody
Applications: ELISA, WB, IHC, IF, FC
Species Reactivity: Human, Mouse, Rat
-
Phospho-YAP1 (S127) Recombinant Monoclonal Antibody
Applications: ELISA, WB, IHC
Species Reactivity: Human
-
-
-
-
-















