MARK1 Antibody
-
中文名稱:MARK1兔多克隆抗體
-
貨號:CSB-PA259165
-
規格:¥1100
-
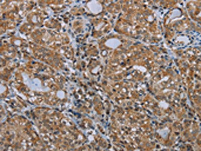
圖片:
-
The image on the left is immunohistochemistry of paraffin-embedded Human brain tissue using CSB-PA259165(MARK1 Antibody) at dilution 1/30, on the right is treated with synthetic peptide. (Original magnification: ×200)
-
The image on the left is immunohistochemistry of paraffin-embedded Human thyroid cancer tissue using CSB-PA259165(MARK1 Antibody) at dilution 1/30, on the right is treated with synthetic peptide. (Original magnification: ×200)
-
-
其他:
產品詳情
-
Uniprot No.:
-
基因名:
-
別名:KIAA1477 antibody; MAP/microtubule affinity regulating kinase 1 antibody; MAP/microtubule affinity-regulating kinase 1 antibody; MARK 1 antibody; MARK antibody; Mark1 antibody; MARK1_HUMAN antibody; MGC126512 antibody; MGC126513 antibody; Serine/threonine protein kinase MARK1 antibody; Serine/threonine-protein kinase MARK1 antibody
-
宿主:Rabbit
-
反應種屬:Human
-
免疫原:Synthetic peptide of Human MARK1
-
免疫原種屬:Homo sapiens (Human)
-
標記方式:Non-conjugated
-
抗體亞型:IgG
-
純化方式:Antigen affinity purification
-
濃度:It differs from different batches. Please contact us to confirm it.
-
保存緩沖液:-20°C, pH7.4 PBS, 0.05% NaN3, 40% Glycerol
-
產品提供形式:Liquid
-
應用范圍:ELISA,IHC
-
推薦稀釋比:
Application Recommended Dilution ELISA 1:2000-1:5000 IHC 1:50-1:200 -
Protocols:
-
儲存條件:Upon receipt, store at -20°C or -80°C. Avoid repeated freeze.
-
貨期:Basically, we can dispatch the products out in 1-3 working days after receiving your orders. Delivery time maybe differs from different purchasing way or location, please kindly consult your local distributors for specific delivery time.
-
用途:For Research Use Only. Not for use in diagnostic or therapeutic procedures.
相關產品
靶點詳情
-
功能:Serine/threonine-protein kinase. Involved in cell polarity and microtubule dynamics regulation. Phosphorylates DCX, MAP2 and MAP4. Phosphorylates the microtubule-associated protein MAPT/TAU. Involved in cell polarity by phosphorylating the microtubule-associated proteins MAP2, MAP4 and MAPT/TAU at KXGS motifs, causing detachment from microtubules, and their disassembly. Involved in the regulation of neuronal migration through its dual activities in regulating cellular polarity and microtubule dynamics, possibly by phosphorylating and regulating DCX. Also acts as a positive regulator of the Wnt signaling pathway, probably by mediating phosphorylation of dishevelled proteins (DVL1, DVL2 and/or DVL3).
-
基因功能參考文獻:
- Low MARK1 is associated with cervical cancer. PMID: 29076440
- Molecular determinants of KA1 domain-mediated autoinhibition and phospholipid activation of MARK1 kinase have been described. PMID: 27879374
- the positioning of MARK/Par-1 at the crosstalk of regulating cytoskeletal dynamics allows its participation in neuronal polarity decisions. [review] PMID: 24243102
- LKB1 acts through its substrates of the microtubule affinity-regulating kinase family to regulate the localization of the polarity determinant Scribble and the activity of the core Hippo kinases PMID: 24362629
- In the Australian GWAS, the SNP rs7530302 near MARK1 on chromosome 1 (p=1.90 x 10(-9) achieved genomewide significance for comorbid AD/ND. PMID: 20158304
- analysis of variations in the catalytic and ubiquitin-associated domains of microtubule-associated protein/microtubule affinity regulating kinase (MARK) 1 and MARK2 PMID: 16803889
- MARK1 was overexpressed in a prefrontal region in the brains of patients with Autism spectrum disorders. PMID: 18492799
- Data show that protein kinases of the MARK family phosphorylate tau protein in its repeat domain and thereby regulate its affinity for microtubules and affect the aggregation of tau into Alzheimer paired helical filaments. PMID: 19090997
顯示更多
收起更多
-
相關疾?。?/div>Genetic variations in MARK1 may be associated with susceptibility to autism. MARK1 is overexpressed in the prefrontal cortex of patients with autism and causes changes in the function of cortical dendrites.亞細胞定位:Cell membrane; Peripheral membrane protein. Cytoplasm, cytoskeleton. Cytoplasm. Cell projection, dendrite.蛋白家族:Protein kinase superfamily, CAMK Ser/Thr protein kinase family, SNF1 subfamily組織特異性:Highly expressed in heart, skeletal muscle, brain, fetal brain and fetal kidney.數據庫鏈接:
Most popular with customers
-
-
YWHAB Recombinant Monoclonal Antibody
Applications: ELISA, WB, IHC, IF, FC
Species Reactivity: Human, Mouse, Rat
-
Phospho-YAP1 (S127) Recombinant Monoclonal Antibody
Applications: ELISA, WB, IHC
Species Reactivity: Human
-
-
-
-
-















