MARCKSL1 Antibody
-
中文名稱:MARCKSL1兔多克隆抗體
-
貨號:CSB-PA013494DSR2HU
-
規格:¥440
-
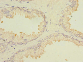
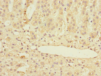
圖片:
-
其他:
產品詳情
-
產品名稱:Rabbit anti-Homo sapiens (Human) MARCKSL1 Polyclonal antibody
-
Uniprot No.:
-
基因名:
-
別名:F52 antibody; Mac MARCKS antibody; Mac-MARCKS antibody; MacMARCKS antibody; Macrophage enriched Myristoylated Alanine Rich C Kinase Substrate Like Protein antibody; Macrophage myristoylated alanine-rich C kinase substrate antibody; MARCKS like 1 antibody; MARCKS like protein 1 antibody; MARCKS related protein antibody; MARCKS-like protein 1 antibody; MARCKS-related protein antibody; MARCKSL1 antibody; MLP antibody; MLP1 antibody; MRP antibody; MRP_HUMAN antibody
-
宿主:Rabbit
-
反應種屬:Human
-
免疫原:Recombinant Human MARCKS-related protein (1-195AA)
-
免疫原種屬:Homo sapiens (Human)
-
標記方式:Non-conjugated
-
克隆類型:Polyclonal
-
抗體亞型:IgG
-
純化方式:Antigen Affinity Purified
-
濃度:It differs from different batches. Please contact us to confirm it.
-
保存緩沖液:PBS with 0.02% sodium azide, 50% glycerol, pH7.3.
-
產品提供形式:Liquid
-
應用范圍:ELISA, IHC
-
推薦稀釋比:
Application Recommended Dilution IHC 1:20-1:200 -
Protocols:
-
儲存條件:Upon receipt, store at -20°C or -80°C. Avoid repeated freeze.
-
貨期:Basically, we can dispatch the products out in 1-3 working days after receiving your orders. Delivery time maybe differs from different purchasing way or location, please kindly consult your local distributors for specific delivery time.
-
用途:For Research Use Only. Not for use in diagnostic or therapeutic procedures.
相關產品
靶點詳情
-
功能:Controls cell movement by regulating actin cytoskeleton homeostasis and filopodium and lamellipodium formation. When unphosphorylated, induces cell migration. When phosphorylated by MAPK8, induces actin bundles formation and stabilization, thereby reducing actin plasticity, hence restricting cell movement, including neuronal migration. May be involved in coupling the protein kinase C and calmodulin signal transduction systems.
-
基因功能參考文獻:
- MARCKSL1 showed potent anti-angiogenic activity and reduced the levels of VEGF and HIF-1alpha expression. MARCKSL1 decreased VEGFinduced phosphorylation of the PI3K/Akt signaling pathway components. PMID: 26555156
- MARCKSL1 suppresses LOXL2-induced oncogenesis. PMID: 24863880
- Patients with high expression of PPH3 and high MARCKSL1 protein had a lower survival rate versus patients with low MARCKSL1 and high PPH3 expression. PMID: 22772381
- Gene knockdown in prostate cancer cells or in neurons reveals a critical role for MARCKSL1 in migration that is dependent on the phosphorylation state. PMID: 22751924
-
亞細胞定位:Cytoplasm, cytoskeleton. Cell membrane; Lipid-anchor.
-
蛋白家族:MARCKS family
-
數據庫鏈接:
Most popular with customers
-
-
YWHAB Recombinant Monoclonal Antibody
Applications: ELISA, WB, IHC, IF, FC
Species Reactivity: Human, Mouse, Rat
-
Phospho-YAP1 (S127) Recombinant Monoclonal Antibody
Applications: ELISA, WB, IHC
Species Reactivity: Human
-
-
-
-
-















