MAPT Antibody
-
中文名稱:MAPT兔多克隆抗體
-
貨號:CSB-PA994185
-
規格:¥1100
-
圖片:
-
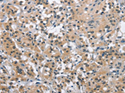
The image on the left is immunohistochemistry of paraffin-embedded Human gastic cancer tissue using CSB-PA994185(MAPT Antibody) at dilution 1/25, on the right is treated with synthetic peptide. (Original magnification: ×200)
-
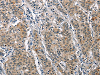
The image on the left is immunohistochemistry of paraffin-embedded Human thyroid cancer tissue using CSB-PA994185(MAPT Antibody) at dilution 1/25, on the right is treated with synthetic peptide. (Original magnification: ×200)
-
Gel: 6%SDS-PAGE, Lysate: 40 μg, Lane: NIH/3T3 cells, Primary antibody: CSB-PA994185(MAPT Antibody) at dilution 1/550, Secondary antibody: Goat anti rabbit IgG at 1/8000 dilution, Exposure time: 5 minutes
-
-
其他:
產品詳情
-
Uniprot No.:
-
基因名:
-
別名:AI413597 antibody; AW045860 antibody; DDPAC antibody; FLJ31424 antibody; FTDP 17 antibody; G protein beta1/gamma2 subunit interacting factor 1 antibody; MAPT antibody; MAPTL antibody; MGC134287 antibody; MGC138549 antibody; MGC156663 antibody; Microtubule associated protein tau antibody; Microtubule associated protein tau isoform 4 antibody; Microtubule-associated protein tau antibody; MSTD antibody; Mtapt antibody; MTBT1 antibody; MTBT2 antibody; Neurofibrillary tangle protein antibody; Paired helical filament tau antibody; Paired helical filament-tau antibody; PHF tau antibody; PHF-tau antibody; PPND antibody; PPP1R103 antibody; Protein phosphatase 1, regulatory subunit 103 antibody; pTau antibody; RNPTAU antibody; TAU antibody; TAU_HUMAN antibody; Tauopathy and respiratory failure antibody; Tauopathy and respiratory failure, included antibody
-
宿主:Rabbit
-
反應種屬:Human,Mouse
-
免疫原:Synthetic peptide of Human MAPT
-
免疫原種屬:Homo sapiens (Human)
-
標記方式:Non-conjugated
-
抗體亞型:IgG
-
純化方式:Antigen affinity purification
-
濃度:It differs from different batches. Please contact us to confirm it.
-
保存緩沖液:-20°C, pH7.4 PBS, 0.05% NaN3, 40% Glycerol
-
產品提供形式:Liquid
-
應用范圍:ELISA,WB,IHC
-
推薦稀釋比:
Application Recommended Dilution ELISA 1:2000-1:5000 WB 1:500-1:2000 IHC 1:15-1:50 -
Protocols:
-
儲存條件:Upon receipt, store at -20°C or -80°C. Avoid repeated freeze.
-
貨期:Basically, we can dispatch the products out in 1-3 working days after receiving your orders. Delivery time maybe differs from different purchasing way or location, please kindly consult your local distributors for specific delivery time.
-
用途:For Research Use Only. Not for use in diagnostic or therapeutic procedures.
相關產品
靶點詳情
-
功能:Promotes microtubule assembly and stability, and might be involved in the establishment and maintenance of neuronal polarity. The C-terminus binds axonal microtubules while the N-terminus binds neural plasma membrane components, suggesting that tau functions as a linker protein between both. Axonal polarity is predetermined by TAU/MAPT localization (in the neuronal cell) in the domain of the cell body defined by the centrosome. The short isoforms allow plasticity of the cytoskeleton whereas the longer isoforms may preferentially play a role in its stabilization.
-
基因功能參考文獻:
- genetic manipulation of Sirt3 revealed that amyloid-beta increased levels of total tau acetylated tau through its modulation of Sirt3. PMID: 29574628
- Data suggest that both the small heat shock protein HspB1/Hsp27 and the constitutive chaperone Hsc70/HspA8 interact with tau to prevent tau-fibril/amyloid formation. Chaperones from different families play distinct but complementary roles in prevention of tau-fibril/amyloid formation. (HspB1 = heat shock protein family B small member 1; Hsc70 = heat shock protein family A Hsp70) PMID: 29298892
- a 2.0-kDa peptide which biochemically and immunologically resembles the injected amino terminal tau 26-44 was endogenously detected in vivo, being present in hippocampal synaptosomal preparations from Alzheimer's disease subjects. PMID: 29508283
- Study reports the identification of new bona fide human brain circular RNAs produced from the MAPT locus. PMID: 29729314
- TAU attaches to brain lipid membranes where it self-assembles in a cation-dependent manner. PMID: 29644863
- Microtubule hyperacetylation enhances KL1-dependent micronucleation under a Tau deficiency in mammary epithelial cells. PMID: 30142893
- This article presents key studies of tau in oligodendrocytes and select important studies of tau in neurons. The extensive work on tau in neurons has considerably advanced the understanding of how tau promotes either health or disease. [review] PMID: 30111714
- Zn2 + enhances Tau aggregation-induced apoptosis and toxicity in neuronal cells. PMID: 27890528
- Tau binds to synaptic vesicles via its N-terminal domain and interferes with presynaptic functions. PMID: 28492240
- Study identifies a potential "two-hit" mechanism in which tau acetylation disengages tau from microtubules (MT) and also promotes tau aggregation. Thus, therapeutic approaches to limit tau K280/K281 acetylation could simultaneously restore MT stability and ameliorate tau pathology in Alzheimer's disease and related tauopathies. PMID: 28287136
- In vitro neuroprotective effects of naringenin nanoemulsion against beta-amyloid toxicity through the regulation of amyloidogenesis and tau phosphorylation. PMID: 30001606
- To confirm the neuroprotective role of 24-OH, in vivo experiments were run on mice that express human tau without spontaneously developing tau pathology (hTau mice), by means of the intracerebroventricular injection of 24-OH. PMID: 29883958
- These findings suggest a relative homogeneous clinicopathological phenotype in P301L MAPT mutation carriers in our series. This phenotype might help in the differential diagnosis from other tauopathies and be a morphological hint for genetic testing. The haplotype analysis results suggest a founder effect of the P301L mutation in this area. PMID: 28934750
- Report that the interaction of Tau with vesicles results in the formation of highly stable protein/phospholipid complexes. These complexes are toxic to primary hippocampal cultures and are detected by MC-1, an antibody recognizing pathological Tau conformations. The core of these complexes is comprised of the PHF6* and PHF6 hexapeptide motifs, the latter in a beta-strand conformation. PMID: 29162800
- more selective group of neurons appears to be affected in frontotemporal lobar degeneration (FTLD)-TDP and FTLD-FUS than in FTLD-tau PMID: 28984110
- Our data show that the hyperacetylation of Tau by p300 histone acetyltransferase (HAT) disfavors liquid-liquid phase separation , inhibits heparin-induced aggregation, and impedes access to LLPS-initiated microtubule assembly PMID: 29734651
- Because neurofibrillary tangles are aberrant intracellular inclusions formed in the AD patients by hyperphosphorylated tau, it was initially proposed that phosphorylated and/or aggregated intracellular tau protein was causative of neuronal death. However, recent studies suggest a toxic role for non-phosphorylated and non-aggregated tau when it is located in the brain extracellular space. [review] PMID: 29584657
- MAPT rs242557G/A genetic polymorphism is associated with susceptibility to sporadic AD, and individuals with a GG genotype of rs242557G/A might be at a lower risk. PMID: 29098924
- Study indicates that there are at least two common patterns of TDP-43 and tau protein misfolding in human brain aging. In patients lacking substantial Alzheimer's disease pathology, cerebral age-related TDP-43 with sclerosis (CARTS) cases tend to have tau neurofibrillary tangles in the hippocampal dentate granule neurons, providing a potential proxy indicator of CARTS. PMID: 28281308
- Patients with Kii amyotrophic lateral sclerosis and parkinsonism-dementia complex (Kii ALS/PDC) had dislocated, multinucleated Purkinje cells and various tau pathologies in the cerebellum. These cerebellar abnormalities may provide new insights into the pathomechanism of Kii ALS/PDC and may provide a neuropathological marker for the condition. PMID: 28236345
- The studies findings indicate that p.E372G is a pathogenic microtubule-associated protein tau mutation that causes microtubule-associated protein tau similar to p.G389R. PMID: 27529406
- Solven ionic strength, temperature and polarity altered tau conformation dynamics. PMID: 29630971
- MAPT alternative splicing is associated with Neurodegenerative Diseases. PMID: 29634760
- High tau expression is associated with blood vessel abnormalities and angiogenesis in Alzheimer's disease. PMID: 29358399
- We identified common splice factors hnRNP F and hnRNP Q regulating the haplotype-specific splicing of MAPT exon 3 through intronic variants rs1800547 and rs17651213 PMID: 29084565
- Cognitive impairment in progressive supranuclear palsy is associated with severity of progressive supranuclear palsy-related tau pathology. PMID: 29082658
- These observations indicate the ability of QUE to decrease tau protein hyperphosphorylation and thereby attenuate the associated neuropathology... these results support the potential of QUE as a therapeutic agent for AD and other neurodegenerative tauopathies. PMID: 29207020
- Increasing microtubule acetylation rescues human tau-induced microtubule defects and neuromuscular junction abnormalities in Drosophila. PMID: 28819043
- The findings reveal the ability of Bin1 to modify actin dynamics and provide a possible mechanistic connection between Bin1 and tau-induced pathobiological changes of the actin cytoskeleton. PMID: 28893863
- We find that both the generation of Abeta and the responsiveness of TAU to A-beta are affected by neuronal cell type, with rostral neurons being more sensitive than caudal neurons. PMID: 29153990
- The results of the current study indicate that variations in microtubule-associated protein tau influence cognition in progressive supranuclear palsy. PMID: 29076559
- The identification of mutations in MAPT, the gene that encodes tau, causing dementia and parkinsonism established the notion that tau aggregation is responsible for the development of disease. PMID: 28789904
- CSF tau proteins and their index differentiated between Alzheimer's disease or other dementia patients and cognitively normal subjects, while CSF levels of neurofilaments expressed as their index seem to contribute to the discrimination between patients with neuroinflammation and normal controls or AD patients PMID: 28947837
- Comparison of the distributions of tau pTyr18 and double-phosphorylated Syk in the transgenic mouse brain and human hippocampus showed that the phosphorylation of tyrosine 18 in tau already occurs at an early stage of tauopathy and increases with the progression of neurodegeneration. Syk appears unlikely to be a major kinase that phosphorylates tyrosine 18 of tau at the early stage of tauopathy. PMID: 28919467
- Study confirmed that Western diet did not exacerbate tau pathology in hTau mice, observed that voluntary treadmill exercise attenuates tau phosphorylation, and reported that caloric restriction seems to exacerbate tau aggregation compared to control and obese hTau mice. PMID: 28779908
- Study showed a gradual accumulation of nuclear tau in human cells during aging and its general co-localization with the DAPI-positive heterochromatin, which seems to be related to aging pathologies (neurodegenerative or cancerous diseases), where nuclear AT100 decreases drastically, a condition very evident in the more severe stages of the diseases. PMID: 28974363
- Methamphetamine can impair the endoplasmic reticulum-associated degradation pathway and induce neuronal apoptosis through endoplasmic reticulum stress, which is mainly mediated by abnormal CDK5-regulated Tau phosphorylation. PMID: 29705343
- Aha1 colocalized with tau pathology in brain tissue, and this association positively correlated with Alzheimer disease progression. PMID: 28827321
- Assessed the subcellular localization of tau45-230 fragment using tau45-230-GFP-transfected hippocampal neurons as well as neurons in which this fragment was endogenously generated under experimental conditions that induced neurodegeneration. Results suggested that tau45-230 could exert its toxic effects by partially blocking axonal transport along microtubules, contributing to the early pathology of Alzheimer's disease. PMID: 28844006
- frontotemporal dementia and parkinsonism linked to chromosome 17 tau with a mutation in the C-terminal region had different banding patterns, indicating a different phosphorylation pattern. PMID: 27641626
- Study demonstrated the presence of the smaller Tau isoform (352 amino acids), whose amount increases in differentiated SK-N-BE cells, with Tau-1/AT8 nuclear distribution related to the differentiation process. PMID: 29684490
- In primary-culture fetal astrocytes, streptozotocin increases phosphorylation of Tau at Ser396. alpha-boswellic acid reduced hyperphosphorylated tau (Ser404). Interruption in astroglial Reelin/Akt/Tau signaling pathways may have a role in Alzheimer disease. PMID: 27567921
- Screening of MAPT, GRN and CHCHD10 genes in Chinese patients with frontotemporal dementia (FTD) identified about 4.9% mutation carriers. Among the known FTD causative genes tested, MAPT and CHCHD10 play the most important roles in Chinese patients with sporadic FTD. PMID: 28462717
- Data show that aggregation of the Tau protein correlates with destabilization of the turn-like structure defined by phosphorylation of Ser202/Thr205. PMID: 28784767
- deletion or inhibition of the cytoplasmic shuttling factor HDAC6 suppressed neuritic tau bead formation in neurons. PMID: 28854366
- We propose that the H2 haplotype, which expresses reduced 4R tau compared with the H1 haplotype, may exert a protective effect as it allows for more fluid mitochondrial movement along axons with high energy requirements, such as the dopaminergic neurons that degenerate in PD. PMID: 28689993
- Results find that overexpression of hTau increases intracellular calcium, which in turn activates calpain-2 and induces degradation of alpha4 nAChR. PMID: 27277673
- when misfolded tau assemblies enter the cell, they can be detected and neutralized via a danger response mediated by tau-associated antibodies and the cytosolic Fc receptor tripartite motif protein 21 (TRIM21) PMID: 28049840
- stress granules and TIA-1 play a central role in the cell-to-cell transmission of Tau pathology. PMID: 27460788
- clinicopathologic study shows inter- and intra-familial clinicopathologic heterogeneity of FTDP-17 due to MAPT p.P301L mutation, including globular glial tauopathy in one patient. PMID: 27859539
顯示更多
收起更多
-
相關疾病:Frontotemporal dementia (FTD); Pick disease of the brain (PIDB); Progressive supranuclear palsy 1 (PSNP1); Parkinson-dementia syndrome (PARDE)
-
亞細胞定位:Cytoplasm, cytosol. Cell membrane; Peripheral membrane protein; Cytoplasmic side. Cytoplasm, cytoskeleton. Cell projection, axon. Cell projection, dendrite. Secreted.
-
組織特異性:Expressed in neurons. Isoform PNS-tau is expressed in the peripheral nervous system while the others are expressed in the central nervous system.
-
數據庫鏈接:
Most popular with customers
-
-
YWHAB Recombinant Monoclonal Antibody
Applications: ELISA, WB, IHC, IF, FC
Species Reactivity: Human, Mouse, Rat
-
Phospho-YAP1 (S127) Recombinant Monoclonal Antibody
Applications: ELISA, WB, IHC
Species Reactivity: Human
-
-
-
-
-















