MAPRE1 Antibody
-
中文名稱:MAPRE1兔多克隆抗體
-
貨號:CSB-PA620890LA01HU
-
規格:¥440
-
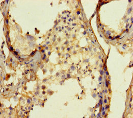
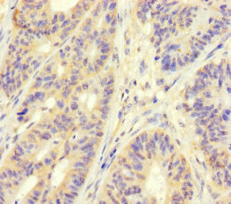
圖片:
-
其他:
產品詳情
-
產品名稱:Rabbit anti-Homo sapiens (Human) MAPRE1 Polyclonal antibody
-
Uniprot No.:
-
基因名:MAPRE1
-
別名:5530600P05Rik antibody; Adenomatous polyposis coli binding protein EB 1 antibody; Adenomatous polyposis coli binding protein EB1 antibody; AI462499 antibody; AI504412 antibody; APC binding protein EB 1 antibody; APC binding protein EB1 antibody; APC-binding protein EB1 antibody; AW260097 antibody; BIM1p antibody; D2Ertd459e antibody; EB 1 antibody; EB1 antibody; End binding protein 1 antibody; End-binding protein 1 antibody; fa01e12 antibody; fc23e11 antibody; fi33c06 antibody; MAPRE 1 antibody; MAPRE1 antibody; Mapre3 antibody; MARE1_HUMAN antibody; MGC117374 antibody; MGC129946 antibody; MGC52508 antibody; Microtubule associated protein RP/EB family member 1 antibody; Microtubule-associated protein RP/EB family member 1 antibody; wu:fa01e12 antibody; wu:fc23e11 antibody; wu:fi33c06 antibody; zgc:55428 antibody; zgc:77807 antibody; zgc:85755 antibody
-
宿主:Rabbit
-
反應種屬:Human
-
免疫原:Recombinant Human Microtubule-associated protein RP/EB family member 1 protein (2-268AA)
-
免疫原種屬:Homo sapiens (Human)
-
標記方式:Non-conjugated
本頁面中的產品,MAPRE1 Antibody (CSB-PA620890LA01HU),的標記方式是Non-conjugated。對于MAPRE1 Antibody,我們還提供其他標記。見下表:
-
克隆類型:Polyclonal
-
抗體亞型:IgG
-
純化方式:>95%, Protein G purified
-
濃度:It differs from different batches. Please contact us to confirm it.
-
保存緩沖液:Preservative: 0.03% Proclin 300
Constituents: 50% Glycerol, 0.01M PBS, PH 7.4 -
產品提供形式:Liquid
-
應用范圍:ELISA, IHC
-
推薦稀釋比:
Application Recommended Dilution IHC 1:20-1:200 -
Protocols:
-
儲存條件:Upon receipt, store at -20°C or -80°C. Avoid repeated freeze.
-
貨期:Basically, we can dispatch the products out in 1-3 working days after receiving your orders. Delivery time maybe differs from different purchasing way or location, please kindly consult your local distributors for specific delivery time.
-
用途:For Research Use Only. Not for use in diagnostic or therapeutic procedures.
相關產品
靶點詳情
-
功能:Plus-end tracking protein (+TIP) that binds to the plus-end of microtubules and regulates the dynamics of the microtubule cytoskeleton. Promotes cytoplasmic microtubule nucleation and elongation. May be involved in spindle function by stabilizing microtubules and anchoring them at centrosomes. Also acts as a regulator of minus-end microtubule organization: interacts with the complex formed by AKAP9 and PDE4DIP, leading to recruit CAMSAP2 to the Golgi apparatus, thereby tethering non-centrosomal minus-end microtubules to the Golgi, an important step for polarized cell movement. Promotes elongation of CAMSAP2-decorated microtubule stretches on the minus-end of microtubules. Acts as a regulator of autophagosome transport via interaction with CAMSAP2. May play a role in cell migration.
-
基因功能參考文獻:
- EB1 and dynein mediate migration in 3D by promoting microtubule dynamics, through the activity of RhoA, in microtubule-rich pseudopodial dendritic protrusions that drive cell migration in 3D PMID: 29097501
- End-binding protein 1 (EB1) depletion results in a significant reduction of spindle and kinetochore-associated protein 1 (Ska1) recruitment onto microtubules and defects in mitotic chromosome alignment. PMID: 27225956
- The cytotoxicity induced by EB1 gene knockdown was due to the activation and generation of reactive oxygen species by p38 mitogen-activated protein kinase..this signaling cascade, however not nuclear factor-kappaB-mediated signaling, induced the expression of cyclooxygenase-2, a key effector of apoptotic death. PMID: 29484424
- ASK1- induced phosphorylation of EB1 not only increases its plus end-tracking ability, but also promotes its recruitment of CLIP170 and p150glued to astral microtubules. PMID: 28039481
- A novel EB1 acetylation site regulates the dynamic structure of microtubules. PMID: 28777446
- increased peripheral EB1 distribution is a critical component of the Rac1-mediated pathway and peripheral cytoskeletal remodeling essential for agonist-induced endothelial cell barrier enhancement. PMID: 27667566
- In addition, EB1 phosphorylation at Y247 by Src enhances the rate of microtubule catastrophe and significantly stimulates cell migration. These findings thus demonstrate that the Src-EB1 axis plays a crucial role in regulating the crosstalk between microtubules and focal adhesions to promote cell migration. PMID: 27698945
- EB1 and EB3 thus affect multiple interphase processes and have a major impact on microtubule minus end organization. PMID: 28814570
- noncentrosomal MTs regulate autophagy through a cross-talk between CAMSAP2 and EB1 PMID: 28726242
- results suggest that EB1 cooperates with CDK5RAP2 and perhaps other SXIP-containing +TIPs in tracking growing microtubule tips. PMID: 28320860
- data provide unique structural information on the interaction of EB1 with growing microtubule ends PMID: 27617931
- EB1, as a microtubule plus-end tracking protein (+TIP), is a potential candidate to bridge the gap between microtubule and actomyosin dynamics. PMID: 28132723
- EB1 overexpression is an early event in oral tumorigenesis and cytoplasmic EB1 accumulation is associated with poor prognosis and tumor recurrence in oral squamous cell carcinoma patients PMID: 27208742
- We propose a novel mechanism by which ATIP3-EB1 interaction indirectly reduces the kinetics of EB1 exchange on its recognition site, thereby accounting for negative regulation of microtubule dynamic instability PMID: 26498358
- MAPRE1 can contribute to the detection of early-stage colorectal cancer and adenomas together with other biomarkers PMID: 26342024
- The authors show that the microtubule binding protein EB1 (end-binding protein 1), a key regulator of microtubule dynamics, can bind directly to filamentous actin (F-actin) F-actin. PMID: 26854759
- A previously uncharacterized EB1 linker region tracks microtubule plus ends in live cells. PMID: 25355949
- We find that the presence of EB1 can stiffen microtubules in a manner that depends on the hydrolysis state of the tubulin-bound nucleotide PMID: 25160006
- The functions of EB1 in the regulation of microtubule dynamics and recruitment of other +TIPs, as well as the dimerization of EB1, undergo exquisite control by phosphorylation. PMID: 25048701
- TTBK2 bound EB1 and Cep164 through its SxIP motifs and a proline-rich motif, respectively. PMID: 25297623
- We showed for the first time that EB1 associates with microtubules in a phosphorylation-dependent manner, under control of reactive oxygen species PMID: 24930764
- EB1 has a role in linking AIM2 inflammasomes with autophagy-dependent secretion PMID: 25164813
- Aptamers binding to human EB1 and EB3, which have sequence requirements similar to but distinct from each other and from Drosophila EB1, were identified. PMID: 24478452
- a subset of arrhythmogenic cardiomyopathy mutations, in addition to a mutation associated with skin fragility/woolly hair syndrome, impair gap junction localization and function by misregulating DP-EB1 interactions and altering microtubule dynamics. PMID: 25225338
- The CYLD-EB1 interaction was confirmed both in cells and in vitro, and these 2 proteins colocalized at the plus ends of microtubules. The association of CYLD with EB1 was significantly increased upon the stimulation of cell migration. PMID: 24552808
- Studies show that IQGAP1 functions as a hub linking HGF-induced signaling to microtubules and actin remodeling via EB1-IQGAP1-cortactin interactions. PMID: 25022754
- EB1-kinesin complex actively steered growing microtubules in an in vitro model PMID: 24462004
- Study finds that frictional forces increase nonlinearly with microtubule-associated proteins (MAP) velocity across microtubules and depend on filament polarity, with NuMA's friction being lower when moving toward minus ends, EB1's lower toward plus ends, and PRC1's exhibiting no directional preference. PMID: 24725408
- EB1 and EB3 proteins are obligatory dimers. PMID: 24040250
- EB1 enables the spindle microtubules to regulate the phosphorylation of kinetochores through recruitment of the Aurora B kinase. PMID: 24616220
- Dysregulation of EB1 is an important early event in colon carcinogenesis PMID: 24492008
- EB proteins appear to play an active role inthe subsequent association of STIM1 to APC at the ER-PM junction. PMID: 23871111
- regulation of EB1 dimerization might play a role in controlling EB1 function PMID: 23864329
- phosphorylation of STIM1 at Ser575, Ser608 and Ser621 regulates the interaction with EB1. PMID: 23687376
- Depletion of end-binding protein 1 (EB1) promotes apoptosis of human non-small-cell lung cancer cells via reactive oxygen species and Bax-mediated mitochondrial dysfunction. PMID: 23900080
- TIP150-EB1 interaction governs kinetochore microtubule plus-end plasticity and establish that the temporal control of the TIP150-EB1 interaction by PCAF acetylation ensures chromosome stability in mitosis. PMID: 23595990
- These observations indicate that EB1 and ch-TOG regulate microtubule organisation differently via distinct regions in the plus ends of microtubules. PMID: 23251535
- End binding protein 1 directly interacted with AIM2 and ASC in vitro and in vivo. PMID: 22869553
- the intramolecular interaction site of EB1 overlaps the MT binding sites, indicating that the MT binding sites are masked by interaction with the C-terminal domain. PMID: 23128140
- EB1 is a potential biomarker and therapeutic target in colorectal cancer. PMID: 22735596
- STIM1 dissociates from EB1 in mitosis. PMID: 22748319
- Data indicate that EB1 is a substrate of P300/CBP-associated factor (PCAF) and K220 was identified as a responsible site. PMID: 23001180
- the Amer2-EB1-APC complex regulates cell migration by altering microtubule stability. PMID: 22898821
- We further demonstrate that this binding was prevented when the C-terminal tyrosine of EB1 was absent in the peptidic probes. PMID: 22543185
- Increased plasma levels of the APC-interacting protein MAPRE1, LRG1, and IGFBP2 precede a diagnosis of colorectal cancer in women PMID: 22277732
- Multisite phosphorylation disrupts arginine-glutamate salt bridge networks required for binding of cytoplasmic linker-associated protein 2 (CLASP2) to end-binding protein 1 (EB1). PMID: 22467876
- Kif18B is a new MT dynamics regulatory protein that interacts with EB1 to control astral MT length PMID: 21737685
- Data indicated that EB1 and EB3 interact with proteins implicated in MT minus-end anchoring or vesicular trafficking to the cilia base, suggesting that EB1 and EB3 promote ciliogenesis by facilitating such trafficking. PMID: 21768326
- Insights into EB1 structure and the role of its C-terminal domain for discriminating microtubule tips from the lattice PMID: 21737692
- decreased MAPRE1 expression coincided with increased miR-10b expression, suggesting that miR-10b targets MAPRE1 transcription PMID: 21562367
顯示更多
收起更多
-
亞細胞定位:Cytoplasm, cytoskeleton. Cytoplasm, cytoskeleton, microtubule organizing center, centrosome. Golgi apparatus.
-
蛋白家族:MAPRE family
-
組織特異性:Ubiquitously expressed.
-
數據庫鏈接:
Most popular with customers
-
-
YWHAB Recombinant Monoclonal Antibody
Applications: ELISA, WB, IHC, IF, FC
Species Reactivity: Human, Mouse, Rat
-
Phospho-YAP1 (S127) Recombinant Monoclonal Antibody
Applications: ELISA, WB, IHC
Species Reactivity: Human
-
-
-
-
-















