MAPK4 Antibody
-
中文名稱:MAPK4兔多克隆抗體
-
貨號:CSB-PA013457ESR1HU
-
規格:¥440
-
圖片:
-
Western blot
All lanes: MAPK4 ntibody at 6μg/ml
Lane 1: Mouse brain tissue
Lane 2: 293T whole cell lysate
Lane 3: Jurkat whole cell lysate
Secondary
Goat polyclonal to rabbit IgG at 1/10000 dilution
Predicted band size: 66 kDa
Observed band size: 66 kDa -
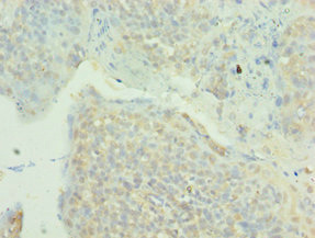
Immunohistochemistry of paraffin-embedded human tonsil tissue using CSB-PA013457ESR1HU at dilution of 1:100
-
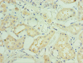
Immunohistochemistry of paraffin-embedded human kidney tissue using CSB-PA013457ESR1HU at dilution of 1:100
-
-
其他:
產品詳情
-
產品名稱:Rabbit anti-Homo sapiens (Human) MAPK4 Polyclonal antibody
-
Uniprot No.:
-
基因名:
-
別名:ERK-4 antibody; ERK3 antibody; Erk3 related antibody; ERK4 antibody; Extracellular signal regulated kinase 4 antibody; Extracellular signal-regulated kinase 4 antibody; MAP kinase 4 antibody; MAP kinase isoform p63 antibody; MAPK 4 antibody; MAPK4 antibody; Mitogen activated protein kinase 4 antibody; Mitogen-activated protein kinase 4 antibody; MK04_HUMAN antibody; p63 MAPK antibody; p63-MAPK antibody; p63MAPK antibody; PRKM4 antibody; Protein kinase; mitogen-activated; 4 antibody; Protein-tyrosine kinase ERK3-related antibody; RMNK2 antibody
-
宿主:Rabbit
-
反應種屬:Human, Mouse
-
免疫原:Recombinant Human Mitogen-activated protein kinase 4 protein (348-587AA)
-
免疫原種屬:Homo sapiens (Human)
-
標記方式:Non-conjugated
-
克隆類型:Polyclonal
-
抗體亞型:IgG
-
純化方式:Antigen Affinity Purified
-
濃度:It differs from different batches. Please contact us to confirm it.
-
保存緩沖液:PBS with 0.02% sodium azide, 50% glycerol, pH7.3.
-
產品提供形式:Liquid
-
應用范圍:ELISA, WB, IHC
-
推薦稀釋比:
Application Recommended Dilution WB 1:500-1:2000 IHC 1:20-1:200 -
Protocols:
-
儲存條件:Upon receipt, store at -20°C or -80°C. Avoid repeated freeze.
-
貨期:Basically, we can dispatch the products out in 1-3 working days after receiving your orders. Delivery time maybe differs from different purchasing way or location, please kindly consult your local distributors for specific delivery time.
-
用途:For Research Use Only. Not for use in diagnostic or therapeutic procedures.
相關產品
靶點詳情
-
功能:Atypical MAPK protein. Phosphorylates microtubule-associated protein 2 (MAP2) and MAPKAPK5. The precise role of the complex formed with MAPKAPK5 is still unclear, but the complex follows a complex set of phosphorylation events: upon interaction with atypical MAPKAPK5, ERK4/MAPK4 is phosphorylated at Ser-186 and then mediates phosphorylation and activation of MAPKAPK5, which in turn phosphorylates ERK4/MAPK4. May promote entry in the cell cycle.
-
基因功能參考文獻:
- Activation loop phosphorylation of ERK3/ERK4 by group I p21-activated kinases (PAKs) defines a novel PAK-ERK3/4-MAPK-activated protein kinase 5 signaling pathway. PMID: 21177870
- Data defined a novel MK5 interaction motif (FRIEDE) within both ERK4 and ERK3 that is essential for binding to the C-terminal region of MK5. PMID: 19473979
- Data show that in contrast to ERK3, ERK4 (MAPK4) is a stable protein and binds to MAPKAPK-5. Interaction of ERK4 with MAPKAPK-5 leads to translocation of MAPKAPK-5 to the cytoplasm and to its activation by phosphorylation. ERK4 can form dimers with ERK3. PMID: 16973613
-
亞細胞定位:Cytoplasm. Nucleus.
-
蛋白家族:Protein kinase superfamily, CMGC Ser/Thr protein kinase family, MAP kinase subfamily
-
組織特異性:High expression in heart and brain.
-
數據庫鏈接:
Most popular with customers
-
-
YWHAB Recombinant Monoclonal Antibody
Applications: ELISA, WB, IHC, IF, FC
Species Reactivity: Human, Mouse, Rat
-
Phospho-YAP1 (S127) Recombinant Monoclonal Antibody
Applications: ELISA, WB, IHC
Species Reactivity: Human
-
-
-
-
-















