MAPK11 Antibody
-
中文名稱:MAPK11兔多克隆抗體
-
貨號:CSB-PA657855
-
規格:¥1100
-
圖片:
-
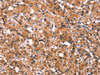
The image on the left is immunohistochemistry of paraffin-embedded Human thyroid cancer tissue using CSB-PA657855(MAPK11 Antibody) at dilution 1/30, on the right is treated with synthetic peptide. (Original magnification: ×200)
-
The image on the left is immunohistochemistry of paraffin-embedded Human brain tissue using CSB-PA657855(MAPK11 Antibody) at dilution 1/30, on the right is treated with synthetic peptide. (Original magnification: ×200)
-
Gel: 8%SDS-PAGE, Lysate: 40 μg, Lane 1-2: 293T cells, human fetal brain tissue, Primary antibody: CSB-PA657855(MAPK11 Antibody) at dilution 1/200, Secondary antibody: Goat anti rabbit IgG at 1/8000 dilution, Exposure time: 30 seconds
-
-
其他:
產品詳情
-
Uniprot No.:
-
基因名:
-
別名:Human p38Beta MAP kinase mRNA complete cds antibody; MAP kinase 11 antibody; MAP kinase p38 beta antibody; MAPK 11 antibody; Mapk11 antibody; Mitogen activated protein kinase 11 antibody; Mitogen activated protein kinase p38 2 antibody; Mitogen activated protein kinase p38 beta antibody; Mitogen-activated protein kinase 11 antibody; Mitogen-activated protein kinase p38 beta antibody; MK11_HUMAN antibody; p38 2 antibody; p38-2 antibody; p38B antibody; p38Beta antibody; P38BETA2 antibody; PRKM11 antibody; Protein kinase mitogen activated 11 antibody; SAPK2 antibody; SAPK2B antibody; Stress activated protein kinase 2 antibody; Stress activated protein kinase 2b antibody; Stress-activated protein kinase 2 antibody
-
宿主:Rabbit
-
反應種屬:Human
-
免疫原:Synthetic peptide of Human MAPK11
-
免疫原種屬:Homo sapiens (Human)
-
標記方式:Non-conjugated
-
抗體亞型:IgG
-
純化方式:Antigen affinity purification
-
濃度:It differs from different batches. Please contact us to confirm it.
-
保存緩沖液:-20°C, pH7.4 PBS, 0.05% NaN3, 40% Glycerol
-
產品提供形式:Liquid
-
應用范圍:ELISA,WB,IHC
-
推薦稀釋比:
Application Recommended Dilution ELISA 1:2000-1:5000 WB 1:500-1:2000 IHC 1:25-1:100 -
Protocols:
-
儲存條件:Upon receipt, store at -20°C or -80°C. Avoid repeated freeze.
-
貨期:Basically, we can dispatch the products out in 1-3 working days after receiving your orders. Delivery time maybe differs from different purchasing way or location, please kindly consult your local distributors for specific delivery time.
-
用途:For Research Use Only. Not for use in diagnostic or therapeutic procedures.
相關產品
靶點詳情
-
功能:Serine/threonine kinase which acts as an essential component of the MAP kinase signal transduction pathway. MAPK11 is one of the four p38 MAPKs which play an important role in the cascades of cellular responses evoked by extracellular stimuli such as proinflammatory cytokines or physical stress leading to direct activation of transcription factors. Accordingly, p38 MAPKs phosphorylate a broad range of proteins and it has been estimated that they may have approximately 200 to 300 substrates each. MAPK11 functions are mostly redundant with those of MAPK14. Some of the targets are downstream kinases which are activated through phosphorylation and further phosphorylate additional targets. RPS6KA5/MSK1 and RPS6KA4/MSK2 can directly phosphorylate and activate transcription factors such as CREB1, ATF1, the NF-kappa-B isoform RELA/NFKB3, STAT1 and STAT3, but can also phosphorylate histone H3 and the nucleosomal protein HMGN1. RPS6KA5/MSK1 and RPS6KA4/MSK2 play important roles in the rapid induction of immediate-early genes in response to stress or mitogenic stimuli, either by inducing chromatin remodeling or by recruiting the transcription machinery. On the other hand, two other kinase targets, MAPKAPK2/MK2 and MAPKAPK3/MK3, participate in the control of gene expression mostly at the post-transcriptional level, by phosphorylating ZFP36 (tristetraprolin) and ELAVL1, and by regulating EEF2K, which is important for the elongation of mRNA during translation. MKNK1/MNK1 and MKNK2/MNK2, two other kinases activated by p38 MAPKs, regulate protein synthesis by phosphorylating the initiation factor EIF4E2. In the cytoplasm, the p38 MAPK pathway is an important regulator of protein turnover. For example, CFLAR is an inhibitor of TNF-induced apoptosis whose proteasome-mediated degradation is regulated by p38 MAPK phosphorylation. Ectodomain shedding of transmembrane proteins is regulated by p38 MAPKs as well. In response to inflammatory stimuli, p38 MAPKs phosphorylate the membrane-associated metalloprotease ADAM17. Such phosphorylation is required for ADAM17-mediated ectodomain shedding of TGF-alpha family ligands, which results in the activation of EGFR signaling and cell proliferation. Additional examples of p38 MAPK substrates are the FGFR1. FGFR1 can be translocated from the extracellular space into the cytosol and nucleus of target cells, and regulates processes such as rRNA synthesis and cell growth. FGFR1 translocation requires p38 MAPK activation. In the nucleus, many transcription factors are phosphorylated and activated by p38 MAPKs in response to different stimuli. Classical examples include ATF1, ATF2, ATF6, ELK1, PTPRH, DDIT3, TP53/p53 and MEF2C and MEF2A. The p38 MAPKs are emerging as important modulators of gene expression by regulating chromatin modifiers and remodelers. The promoters of several genes involved in the inflammatory response, such as IL6, IL8 and IL12B, display a p38 MAPK-dependent enrichment of histone H3 phosphorylation on 'Ser-10' (H3S10ph) in LPS-stimulated myeloid cells. This phosphorylation enhances the accessibility of the cryptic NF-kappa-B-binding sites marking promoters for increased NF-kappa-B recruitment.
-
基因功能參考文獻:
- The two kinases HIPK3 and MAPK11 effect on Huntingtin (HTT)levels are mutant HTT protein (mHTT)-dependent, providing a feedback mechanism in which mHTT enhances its own level thus contributing to mHTT accumulation and disease progression. PMID: 29151587
- Results provide evidence that p38beta is an unusual enzyme that automodulates its basal, MAPKK-independent activity by several autophosphorylation events, which enhance and suppress its catalytic activity. PMID: 26976637
- p38beta was significantly higher in esophageal squamous cell carcinoma tissues compared with paired normal controls. p38beta expression was observed to be significantly associated with overall prognosis. PMID: 26666822
- Suggest that R-Ras regulates angiogenic activities of endothelial cells in part via inhibition of the p38MAPK-HSP27 axis of VEGF signaling. PMID: 27029009
- These findings suggest that coronin 1A modulates endothelial cell apoptosis by regulating p38beta expression and activation. PMID: 25936522
- The MAPK11 gene was variably methylated in monozygotic twins discordant for depressive disorder. PMID: 25918994
- p38beta is a novel regulatory target of the transcription factor Pokemon and positively regulated by Pokemon in hepatic cells. PMID: 23807508
- Data show that the p38 MAPK (p38) isoform (p38beta) mitogen-activated protein kinase 11 (MAPK11) is expressed in breast cancer cell. PMID: 25066918
- Differential roles for p38alpha and p38beta in the HGF-induced expression of key osteogenic markers. PMID: 24673557
- study identified the structural motif responsible for the unique autophosphorylation capability of p38beta and the motif inhibiting this activity in living cells PMID: 25006254
- Study identifies Hsp27 as a novel target of ILK-p38beta signaling complexes, playing a key role in bladder cancer cell migration. PMID: 23435415
- Thus, in endothelial cells p38alpha mediates apoptotic signaling, whereas p38beta and p38gamma transduce survival signaling PMID: 22522454
- Overexpression of p38beta or Rac1 significantly enhanced (1.9- and 3.9-fold, respectively), the tRA-stimulated NIS expression in MCF-7 cells. PMID: 22157753
- results demonstrate that IFN-alpha can regulate growth inhibition of Jurkat cells through p38alpha and p38beta PMID: 20053787
- p38alpha/p38beta and phosphoinositide 3-kinase are crucial to Tat-induced IL-10 production PMID: 20378550
- These results demonstrate that activin A induces erythroid differentiation of K562 cells through activation of MKK6-p38alpha/p38beta pathway and follistatin inhibits those effects. PMID: 20162623
- show that p38 MAP kinase directly activates TACE and effects shedding in response to growth factors and Erk MAP kinase activation. PMID: 20188673
- p38 MAP Kinase suppresses the function of Mirk as a transcriptional activator only when cells are proliferating PMID: 12384504
- the p38MAPK activation-Bax expression pathway might be involved in apoptosis induced by oxidative stress PMID: 12510156
- Neurotoxicity of pneumolysin depends on activation of p38 mitogen-activated protein kinase. PMID: 12586546
- activation of p38 MAPK is involved in the mitochondrial activation-mediated cell death pathway PMID: 14522966
- SAPK2/p38 intervenes in the control of MonoMac6 cell migration induced by monocyte chemoattractant protein-1. PMID: 14688370
- phosphorylation of Y1214 on VEGFR2 is required to trigger the sequential activation of Cdc42 and SAPK2/p38 and to drive the SAPK2/p38-mediated actin remodeling in stress fibers in endothelial cells exposed to VEGF PMID: 14724572
- SAPK2/p38 mitogen-activated protein kinase is inhibited by PML in tumor cells PMID: 15273249
- cholesterol depletion alters involucrin gene expression through activation of p38alpha/beta. PMID: 15304097
- p38SAPK might be involved in the regulation of cyclin D3 levels and suggest that this mechanism is involved in the maturation of precursor T-cells PMID: 15326477
- p38alpha and -beta mediate UV-induced, AP-1-mediated, c-Fos phosphorylation PMID: 15708845
- p38 phosphorylation occurred in response to attack by Staphylococcus aureus alpha-toxin and streptolysin O, commencing within minutes after toxin treatment and waning after several hours. PMID: 16643845
- The authors characterized the multisite phosphorylation of the ATF7 activation domain and identified one of the involved kinase, p38beta2 mitogen-activated protein kinase. PMID: 18950637
- genistein protects human vascular endothelial cells against tumor necrosis factor-alpha-induced apoptosis through the p38beta mitogen-activated protein kinase PMID: 19082897
- Specific isoforms of p38 and their sub-cellular localization may have different roles in modulating ischemic injury. PMID: 19706373
顯示更多
收起更多
-
亞細胞定位:Cytoplasm. Nucleus.
-
蛋白家族:Protein kinase superfamily, CMGC Ser/Thr protein kinase family, MAP kinase subfamily
-
組織特異性:Highest levels in the brain and heart. Also expressed in the placenta, lung, liver, skeletal muscle, kidney and pancreas.
-
數據庫鏈接:
Most popular with customers
-
-
YWHAB Recombinant Monoclonal Antibody
Applications: ELISA, WB, IHC, IF, FC
Species Reactivity: Human, Mouse, Rat
-
Phospho-YAP1 (S127) Recombinant Monoclonal Antibody
Applications: ELISA, WB, IHC
Species Reactivity: Human
-
-
-
-
-















