MAP4K5 Antibody
-
中文名稱:MAP4K5兔多克隆抗體
-
貨號:CSB-PA949361
-
規格:¥1100
-
圖片:
-
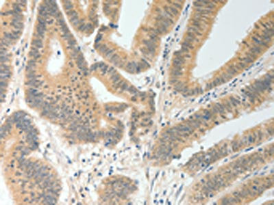
The image on the left is immunohistochemistry of paraffin-embedded Human colon cancer tissue using CSB-PA949361(MAP4K5 Antibody) at dilution 1/20, on the right is treated with fusion protein. (Original magnification: ×200)
-
The image on the left is immunohistochemistry of paraffin-embedded Human liver cancer tissue using CSB-PA949361(MAP4K5 Antibody) at dilution 1/20, on the right is treated with fusion protein. (Original magnification: ×200)
-
-
其他:
產品詳情
-
Uniprot No.:
-
基因名:MAP4K5
-
別名:MAP4K5 antibody; Mitogen-activated protein kinase kinase kinase kinase 5 antibody; EC 2.7.11.1 antibody; Kinase homologous to SPS1/STE20 antibody; KHS antibody; MAPK/ERK kinase kinase kinase 5 antibody; MEK kinase kinase 5 antibody; MEKKK 5 antibody
-
宿主:Rabbit
-
反應種屬:Human,Mouse
-
免疫原:Fusion protein of Human MAP4K5
-
免疫原種屬:Homo sapiens (Human)
-
標記方式:Non-conjugated
-
抗體亞型:IgG
-
純化方式:Antigen affinity purification
-
濃度:It differs from different batches. Please contact us to confirm it.
-
保存緩沖液:-20°C, pH7.4 PBS, 0.05% NaN3, 40% Glycerol
-
產品提供形式:Liquid
-
應用范圍:ELISA,IHC
-
推薦稀釋比:
Application Recommended Dilution ELISA 1:1000-1:2000 IHC 1:15-1:50 -
Protocols:
-
儲存條件:Upon receipt, store at -20°C or -80°C. Avoid repeated freeze.
-
貨期:Basically, we can dispatch the products out in 1-3 working days after receiving your orders. Delivery time maybe differs from different purchasing way or location, please kindly consult your local distributors for specific delivery time.
-
用途:For Research Use Only. Not for use in diagnostic or therapeutic procedures.
相關產品
靶點詳情
-
功能:May play a role in the response to environmental stress. Appears to act upstream of the JUN N-terminal pathway.
-
基因功能參考文獻:
- MAP4K5 expression is decreased or lost in majority of pancreatic ductal adenocarcinoma. PMID: 27023625
- TNF signaling leads to oligomerization, ubiquitination, and activation of GCKR and activation of the SAPK pathway in a manner that depends upon TRAF2 polyubiquitination and oligomerization and Ubc13 function PMID: 12591926
- The -822G/A polymorphism in the promoter region of the MAP4K5 gene is associated with reduced risk of type 2 diabetes in Han Chinese from Shanghai. PMID: 16699725
-
亞細胞定位:Cytoplasm.
-
蛋白家族:Protein kinase superfamily, STE Ser/Thr protein kinase family, STE20 subfamily
-
組織特異性:Ubiquitously expressed in all tissues examined, with high levels in the ovary, testis and prostate.
-
數據庫鏈接:
Most popular with customers
-
-
YWHAB Recombinant Monoclonal Antibody
Applications: ELISA, WB, IHC, IF, FC
Species Reactivity: Human, Mouse, Rat
-
-
-
-
-
-















