MAP4K3 Antibody
-
中文名稱:MAP4K3兔多克隆抗體
-
貨號:CSB-PA082361
-
規格:¥1100
-
圖片:
-
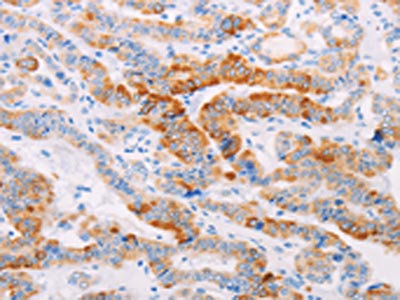
The image on the left is immunohistochemistry of paraffin-embedded Human thyroid cancer tissue using CSB-PA082361(MAP4K3 Antibody) at dilution 1/30, on the right is treated with fusion protein. (Original magnification: ×200)
-
Gel: 10%SDS-PAGE, Lysate: 50 μg, Lane: Mouse heart tissue, Primary antibody: CSB-PA082361(MAP4K3 Antibody) at dilution 1/400, Secondary antibody: Goat anti rabbit IgG at 1/8000 dilution, Exposure time: 10 seconds
-
-
其他:
產品詳情
-
Uniprot No.:
-
基因名:
-
別名:MAP4K3 antibody; RAB8IPL1Mitogen-activated protein kinase kinase kinase kinase 3 antibody; EC 2.7.11.1 antibody; Germinal center kinase-related protein kinase antibody; GLK antibody; MAPK/ERK kinase kinase kinase 3 antibody; MEK kinase kinase 3 antibody; MEKKK 3 antibody
-
宿主:Rabbit
-
反應種屬:Human,Mouse,Rat
-
免疫原:Fusion protein of Human MAP4K3
-
免疫原種屬:Homo sapiens (Human)
-
標記方式:Non-conjugated
-
抗體亞型:IgG
-
純化方式:Antigen affinity purification
-
濃度:It differs from different batches. Please contact us to confirm it.
-
保存緩沖液:-20°C, pH7.4 PBS, 0.05% NaN3, 40% Glycerol
-
產品提供形式:Liquid
-
應用范圍:ELISA,WB,IHC
-
推薦稀釋比:
Application Recommended Dilution ELISA 1:2000-1:5000 WB 1:500-1:2000 IHC 1:25-1:100 -
Protocols:
-
儲存條件:Upon receipt, store at -20°C or -80°C. Avoid repeated freeze.
-
貨期:Basically, we can dispatch the products out in 1-3 working days after receiving your orders. Delivery time maybe differs from different purchasing way or location, please kindly consult your local distributors for specific delivery time.
-
用途:For Research Use Only. Not for use in diagnostic or therapeutic procedures.
相關產品
靶點詳情
-
功能:May play a role in the response to environmental stress. Appears to act upstream of the JUN N-terminal pathway.
-
基因功能參考文獻:
- hepatocellular carcinoma recurrence may involve germinal center kinase-like kinase PMID: 27343552
- Data indicate that GLK/MAP4K3 is a prognostic biomarker for non-small cell lung cancer (NSCLC) recurrence. PMID: 27203390
- Authors report that miR-199a-5p and let-7c cooperatively and efficiently inhibit HCC cell migration and invasion by targeting the metastasis promoter MAP4K3 and MAP4K3-mediated drug sensitization. PMID: 28099144
- This report details the first structure of GLK; comparison of its activation loop sequence and P-loop structure to that of Map4k4 suggests ideas for designing inhibitors that can distinguish between these family members to achieve selective pharmacological inhibitors. PMID: 27727493
- ITGB3 and MAP4K3 are directly repressed by let-7c, altering the metastatic potential of lung cancer cells. PMID: 23981581
- MAP4K3 expression is required for leucine-induced mTORC1 activation in human primary fibroblasts. PMID: 22898570
- Significantly higher median frequencies of circulating GLK-expressing T-cells were observed in patients with adult-onset Still's disease (31.85%) than in healthy volunteers (8.93%, P <0.001). PMID: 22867055
- enhanced expression in systemic lupus erythematosus PMID: 21983831
- Amino acid sufficiency phosphorylates MAP4K3/Ser170, activating mTORC1, but amino acid restriction causes MAP4K3 to interact with PP2A(T61 epsilon), promoting dephosphorylation of Ser170, MAP4K3 inhibition, and, inhibition of mTORC1 signaling. PMID: 20227368
- MAP4K3 orchestrates activation of BAX via the concerted posttranscriptional modulation of PUMA, BAD, and BIM. PMID: 19587239
顯示更多
收起更多
-
蛋白家族:Protein kinase superfamily, STE Ser/Thr protein kinase family, STE20 subfamily
-
組織特異性:Ubiquitously expressed in all tissues examined, with high levels in heart, brain, placenta, skeletal muscle, kidney and pancreas and lower levels in lung and liver.
-
數據庫鏈接:
Most popular with customers
-
-
YWHAB Recombinant Monoclonal Antibody
Applications: ELISA, WB, IHC, IF, FC
Species Reactivity: Human, Mouse, Rat
-
Phospho-YAP1 (S127) Recombinant Monoclonal Antibody
Applications: ELISA, WB, IHC
Species Reactivity: Human
-
-
-
-
-















