MAP4K2 Antibody
-
中文名稱:MAP4K2兔多克隆抗體
-
貨號:CSB-PA013437LA01HU
-
規格:¥440
-
圖片:
-
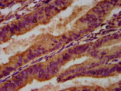
IHC image of CSB-PA013437LA01HU diluted at 1:500 and staining in paraffin-embedded human endometrial cancer performed on a Leica BondTM system. After dewaxing and hydration, antigen retrieval was mediated by high pressure in a citrate buffer (pH 6.0). Section was blocked with 10% normal goat serum 30min at RT. Then primary antibody (1% BSA) was incubated at 4°C overnight. The primary is detected by a biotinylated secondary antibody and visualized using an HRP conjugated SP system.
-
Immunofluorescence staining of HepG2 cells with CSB-PA013437LA01HU at 1:166, counter-stained with DAPI. The cells were fixed in 4% formaldehyde, permeabilized using 0.2% Triton X-100 and blocked in 10% normal Goat Serum. The cells were then incubated with the antibody overnight at 4°C. The secondary antibody was Alexa Fluor 488-congugated AffiniPure Goat Anti-Rabbit IgG(H+L).
-
-
其他:
產品詳情
-
產品名稱:Rabbit anti-Homo sapiens (Human) MAP4K2 Polyclonal antibody
-
Uniprot No.:
-
基因名:
-
別名:B lymphocyte serine/threonine protein kinase antibody; B lymphocyte serine/threonine-protein kinase antibody; BL44 antibody; GC kinase antibody; GCK antibody; Germinal center kinase antibody; germinal centre kinase (GC kinase) antibody; M4K2_HUMAN antibody; Map4k2 antibody; MAPK/ERK kinase kinase kinase 2 antibody; MEK kinase kinase 2 antibody; MEKKK 2 antibody; Mitogen activated protein kinase kinase kinase kinase 2 antibody; Mitogen-activated protein kinase kinase kinase kinase 2 antibody; Rab8 interacting protein antibody; Rab8 interacting protein, formerly antibody; Rab8-interacting protein antibody; RAB8IP antibody; RAB8IP, formerly antibody
-
宿主:Rabbit
-
反應種屬:Human
-
免疫原:Recombinant Human Mitogen-activated protein kinase kinase kinase kinase 2 protein (386-469AA)
-
免疫原種屬:Homo sapiens (Human)
-
標記方式:Non-conjugated
本頁面中的產品,MAP4K2 Antibody (CSB-PA013437LA01HU),的標記方式是Non-conjugated。對于MAP4K2 Antibody,我們還提供其他標記。見下表:
-
克隆類型:Polyclonal
-
抗體亞型:IgG
-
純化方式:>95%, Protein G purified
-
濃度:It differs from different batches. Please contact us to confirm it.
-
保存緩沖液:Preservative: 0.03% Proclin 300
Constituents: 50% Glycerol, 0.01M PBS, pH 7.4 -
產品提供形式:Liquid
-
應用范圍:ELISA, IHC, IF
-
推薦稀釋比:
Application Recommended Dilution IHC 1:500-1:1000 IF 1:50-1:200 -
Protocols:
-
儲存條件:Upon receipt, store at -20°C or -80°C. Avoid repeated freeze.
-
貨期:Basically, we can dispatch the products out in 1-3 working days after receiving your orders. Delivery time maybe differs from different purchasing way or location, please kindly consult your local distributors for specific delivery time.
-
用途:For Research Use Only. Not for use in diagnostic or therapeutic procedures.
相關產品
靶點詳情
-
功能:Serine/threonine-protein kinase which acts as an essential component of the MAP kinase signal transduction pathway. Acts as a MAPK kinase kinase kinase (MAP4K) and is an upstream activator of the stress-activated protein kinase/c-Jun N-terminal kinase (SAP/JNK) signaling pathway and to a lesser extent of the p38 MAPKs signaling pathway. Required for the efficient activation of JNKs by TRAF6-dependent stimuli, including pathogen-associated molecular patterns (PAMPs) such as polyinosine-polycytidine (poly(IC)), lipopolysaccharides (LPS), lipid A, peptidoglycan (PGN), or bacterial flagellin. To a lesser degree, IL-1 and engagement of CD40 also stimulate MAP4K2-mediated JNKs activation. The requirement for MAP4K2/GCK is most pronounced for LPS signaling, and extends to LPS stimulation of c-Jun phosphorylation and induction of IL-8. Enhances MAP3K1 oligomerization, which may relieve N-terminal mediated MAP3K1 autoinhibition and lead to activation following autophosphorylation. Mediates also the SAP/JNK signaling pathway and the p38 MAPKs signaling pathway through activation of the MAP3Ks MAP3K10/MLK2 and MAP3K11/MLK3. May play a role in the regulation of vesicle targeting or fusion. regulation of vesicle targeting or fusion.
-
基因功能參考文獻:
- These studies demonstrate, for the first time, that GCK is a molecular therapeutic target in DLBCL tumors and that inhibiting GCK may significantly extend DLBCL patient survival. PMID: 27151888
- Data indicate 4-substituted 1H-pyrrolo[2,3-b]pyridines as potent inhibitors against TGFbeta-activated kinase 1 (TAK1) and mitogen-activated protein kinase kinase kinase kinase 2 (MAP4K2). PMID: 25075558
- Data suggest that the Rabin8-Rab8-Sec15 interaction may couple the activation of Rab8 to the recruitment of the Rab8 effector and is involved in the regulation of vesicular trafficking for primary cilium formation. PMID: 22433857
- CCM3 is located on the Golgi apparatus, forming a complex with proteins of the germinal center kinase III (GCKIII) family and GM130, a Golgi-resident protein. PMID: 20332113
-
亞細胞定位:Cytoplasm. Basolateral cell membrane; Peripheral membrane protein. Golgi apparatus membrane; Peripheral membrane protein.
-
蛋白家族:Protein kinase superfamily, STE Ser/Thr protein kinase family, STE20 subfamily
-
組織特異性:Highly expressed in germinal center but not mantle zone B-cells. Also expressed in lung, brain and placenta and at lower levels in other tissues examined.
-
數據庫鏈接:
Most popular with customers
-
-
YWHAB Recombinant Monoclonal Antibody
Applications: ELISA, WB, IHC, IF, FC
Species Reactivity: Human, Mouse, Rat
-
Phospho-YAP1 (S127) Recombinant Monoclonal Antibody
Applications: ELISA, WB, IHC
Species Reactivity: Human
-
-
-
-
-















