MAP3K9 Antibody
-
中文名稱:MAP3K9兔多克隆抗體
-
貨號:CSB-PA013434LA01HU
-
規格:¥440
-
圖片:
-
Western Blot
Positive WB detected in: Rat lung tissue
All lanes: MAP3K9 antibody at 2.7μg/ml
Secondary
Goat polyclonal to rabbit IgG at 1/50000 dilution
Predicted band size: 122, 124 kDa
Observed band size: 122 kDa -
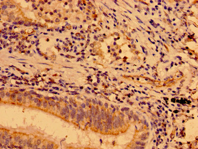
IHC image of CSB-PA013434LA01HU diluted at 1:400 and staining in paraffin-embedded human lung cancer performed on a Leica BondTM system. After dewaxing and hydration, antigen retrieval was mediated by high pressure in a citrate buffer (pH 6.0). Section was blocked with 10% normal goat serum 30min at RT. Then primary antibody (1% BSA) was incubated at 4°C overnight. The primary is detected by a biotinylated secondary antibody and visualized using an HRP conjugated SP system.
-
Immunofluorescence staining of A549 cells with CSB-PA013434LA01HU at 1:133, counter-stained with DAPI. The cells were fixed in 4% formaldehyde, permeabilized using 0.2% Triton X-100 and blocked in 10% normal Goat Serum. The cells were then incubated with the antibody overnight at 4°C. The secondary antibody was Alexa Fluor 488-congugated AffiniPure Goat Anti-Rabbit IgG(H+L).
-
-
其他:
產品詳情
-
產品名稱:Rabbit anti-Homo sapiens (Human) MAP3K9 Polyclonal antibody
-
Uniprot No.:
-
基因名:MAP3K9
-
別名:M3K9_HUMAN antibody; Map3k9 antibody; MEKK9 antibody; Mitogen activated protein kinase kinase kinase 9 antibody; Mitogen-activated protein kinase kinase kinase 9 antibody; Mixed lineage kinase 1 (tyr and ser/thr specificity) antibody; Mixed lineage kinase 1 antibody; MLK1 antibody; PRKE1 antibody
-
宿主:Rabbit
-
反應種屬:Human, Rat
-
免疫原:Recombinant Human Mitogen-activated protein kinase kinase kinase 9 protein (864-1098AA)
-
免疫原種屬:Homo sapiens (Human)
-
標記方式:Non-conjugated
本頁面中的產品,MAP3K9 Antibody (CSB-PA013434LA01HU),的標記方式是Non-conjugated。對于MAP3K9 Antibody,我們還提供其他標記。見下表:
-
克隆類型:Polyclonal
-
抗體亞型:IgG
-
純化方式:>95%, Protein G purified
-
濃度:It differs from different batches. Please contact us to confirm it.
-
保存緩沖液:Preservative: 0.03% Proclin 300
Constituents: 50% Glycerol, 0.01M PBS, pH 7.4 -
產品提供形式:Liquid
-
應用范圍:ELISA, WB, IHC, IF
-
推薦稀釋比:
Application Recommended Dilution WB 1:500-1:5000 IHC 1:100-1:500 IF 1:50-1:500 -
Protocols:
-
儲存條件:Upon receipt, store at -20°C or -80°C. Avoid repeated freeze.
-
貨期:Basically, we can dispatch the products out in 1-3 working days after receiving your orders. Delivery time maybe differs from different purchasing way or location, please kindly consult your local distributors for specific delivery time.
-
用途:For Research Use Only. Not for use in diagnostic or therapeutic procedures.
相關產品
靶點詳情
-
功能:Serine/threonine kinase which acts as an essential component of the MAP kinase signal transduction pathway. Plays an important role in the cascades of cellular responses evoked by changes in the environment. Once activated, acts as an upstream activator of the MKK/JNK signal transduction cascade through the phosphorylation of MAP2K4/MKK4 and MAP2K7/MKK7 which in turn activate the JNKs. The MKK/JNK signaling pathway regulates stress response via activator protein-1 (JUN) and GATA4 transcription factors. Plays also a role in mitochondrial death signaling pathway, including the release cytochrome c, leading to apoptosis.
-
基因功能參考文獻:
- Data report that MKL1 was both sufficient and necessary for p65-dependent pro-inflammatory transcriptional program. MKL1 deficiency erased key histone modifications synonymous with transactivation on p65 target promoters. Specifically, MKL1 defined histone H3K4 trimethylation landscape for NF-kappaB dependent transcription. PMID: 28298643
- There was a negatively relationship between miR-15a and MAP3K9 expression in NP cells. PMID: 28081468
- miR148b directly targeted mitogenactivated protein kinase (MAPK) kinase kinase 9 (MAP3K9), an upstream activator of MAPK kinase/cJun Nterminal kinase (JNK) signaling, suppressing the protein but not the mRNA levels. PMID: 26573018
- identified three kinases with gain-of-function mutations in lung cancer, namely FGFR4, MAP3K9, and PAK5. Mutations in these kinases are activating toward the ERK pathway, and targeted depletion of the mutated kinases inhibits proliferation PMID: 23836671
- estrogen receptor-alpha transcriptional activity is repressed by the Rho/megakaryoblastic leukemia 1 signaling pathway PMID: 19826002
顯示更多
收起更多
-
相關疾病:May play a role in esophageal cancer susceptibility and/or development.
-
蛋白家族:Protein kinase superfamily, STE Ser/Thr protein kinase family, MAP kinase kinase kinase subfamily
-
組織特異性:Expressed in epithelial tumor cell lines of colonic, breast and esophageal origin.
-
數據庫鏈接:
Most popular with customers
-
-
YWHAB Recombinant Monoclonal Antibody
Applications: ELISA, WB, IHC, IF, FC
Species Reactivity: Human, Mouse, Rat
-
Phospho-YAP1 (S127) Recombinant Monoclonal Antibody
Applications: ELISA, WB, IHC
Species Reactivity: Human
-
-
-
-
-















