MAP3K7 Antibody
-
中文名稱:MAP3K7兔多克隆抗體
-
貨號:CSB-PA245350
-
規格:¥1100
-
圖片:
-
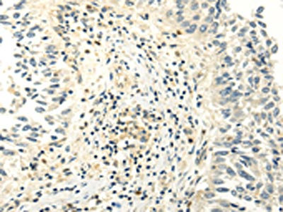
The image on the left is immunohistochemistry of paraffin-embedded Human esophagus cancer tissue using CSB-PA245350(MAP3K7 Antibody) at dilution 1/20, on the right is treated with fusion protein. (Original magnification: ×200)
-
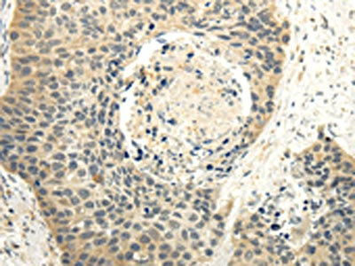
The image on the left is immunohistochemistry of paraffin-embedded Human lung cancer tissue using CSB-PA245350(MAP3K7 Antibody) at dilution 1/20, on the right is treated with fusion protein. (Original magnification: ×200)
-
-
其他:
產品詳情
-
Uniprot No.:
-
基因名:
-
別名:M3K7_HUMAN antibody; MAP3K 7 antibody; Map3k7 antibody; MEKK7 antibody; Mitogen activated protein kinase kinase kinase 7 antibody; Mitogen-activated protein kinase kinase kinase 7 antibody; TAK1 antibody; TGF beta activated kinase 1 antibody; TGF-beta-activated kinase 1 antibody; TGF1a antibody; Transforming growth factor beta activated kinase 1 antibody; Transforming growth factor-beta-activated kinase 1 antibody
-
宿主:Rabbit
-
反應種屬:Human,Mouse,Rat
-
免疫原:Fusion protein of Human MAP3K7
-
免疫原種屬:Homo sapiens (Human)
-
標記方式:Non-conjugated
-
抗體亞型:IgG
-
純化方式:Antigen affinity purification
-
濃度:It differs from different batches. Please contact us to confirm it.
-
保存緩沖液:-20°C, pH7.4 PBS, 0.05% NaN3, 40% Glycerol
-
產品提供形式:Liquid
-
應用范圍:ELISA,IHC
-
推薦稀釋比:
Application Recommended Dilution ELISA 1:1000-1:2000 IHC 1:10-1:50 -
Protocols:
-
儲存條件:Upon receipt, store at -20°C or -80°C. Avoid repeated freeze.
-
貨期:Basically, we can dispatch the products out in 1-3 working days after receiving your orders. Delivery time maybe differs from different purchasing way or location, please kindly consult your local distributors for specific delivery time.
-
用途:For Research Use Only. Not for use in diagnostic or therapeutic procedures.
相關產品
靶點詳情
-
功能:Serine/threonine kinase which acts as an essential component of the MAP kinase signal transduction pathway. Plays an important role in the cascades of cellular responses evoked by changes in the environment. Mediates signal transduction of TRAF6, various cytokines including interleukin-1 (IL-1), transforming growth factor-beta (TGFB), TGFB-related factors like BMP2 and BMP4, toll-like receptors (TLR), tumor necrosis factor receptor CD40 and B-cell receptor (BCR). Ceramides are also able to activate MAP3K7/TAK1. Once activated, acts as an upstream activator of the MKK/JNK signal transduction cascade and the p38 MAPK signal transduction cascade through the phosphorylation and activation of several MAP kinase kinases like MAP2K1/MEK1, MAP2K3/MKK3, MAP2K6/MKK6 and MAP2K7/MKK7. These MAP2Ks in turn activate p38 MAPKs, c-jun N-terminal kinases (JNKs) and I-kappa-B kinase complex (IKK). Both p38 MAPK and JNK pathways control the transcription factors activator protein-1 (AP-1), while nuclear factor-kappa B is activated by IKK. MAP3K7 activates also IKBKB and MAPK8/JNK1 in response to TRAF6 signaling and mediates BMP2-induced apoptosis. In osmotic stress signaling, plays a major role in the activation of MAPK8/JNK1, but not that of NF-kappa-B. Promotes TRIM5 capsid-specific restriction activity. Phosphorylates RIPK1 at 'Ser-321' which positively regulates RIPK1 interaction with RIPK3 to promote necroptosis but negatively regulates RIPK1 kinase activity and its interaction with FADD to mediate apoptosis.
-
基因功能參考文獻:
- De novo splicing variant in MAP3K7 was identified in a patient with cardiospondylocarpofacial syndrome with features of hereditary connective tissue disorder. PMID: 29467388
- TAK1 plays a central role in promoting triple-negative breast cancer cell adaptation to the lung microenvironment by facilitating positive feedback signaling mediated by P38. PMID: 29777109
- In brief, TAK1 can function as direct AMPK upstream kinase in specific contexts and in response to a subset of TAK1 activating stimuli. Further research is needed to define the intricate signals that are conditional for TAK1 to phosphorylate and activate AMPKalpha at T172. [review] PMID: 30111748
- The expression of IL-6 gene and protein was significantly induced by IL-17F. IL-17F activated TAK1 and NF-kappaB in airway smooth muscle cells. PMID: 28474507
- overexpression of miR-20a reduced colony formation and tumor growth. Furthermore, the data revealed that the function of miR-20a was probably exerted via targeting the TAK1 expression. Overexpression of miR-20a sensitizes the osteosarcoma cells to chemotherapeutic drugs. PMID: 29327611
- TGFbeta and IL1beta signaling interact at the SMAD2/3 level in human primary MSC. Down-stream TGFbeta target genes were repressed by IL1beta independent of C-terminal SMAD2 phosphorylation. We demonstrate that SMAD2/3 linker modifications are required for this interplay and identified TAK1 as a crucial mediator of IL1beta-induced TGFbeta signal modulation. PMID: 28943409
- increased TAK1 expression may be involved in the progression of gastric cancer. PMID: 28714004
- miR-146a, serving as a tumor suppressor, may significantly promote GC cell apoptosis by inhibition of the NF-kappaB signaling pathway via targeting TAK1. PMID: 28560435
- In conclusion, for the first time, we report that TRADD, TRAF2, RIP1 and TAK1 play a role in the regulating TNF-alpha signalling in human myometrium. These findings are of significance given the central role of TNF-alpha in the processes of human labour and delivery. PMID: 28337828
- Rab1 is regulated by the host in a similar fashion, and that the innate immunity kinase TAK1 and Legionella effectors compete to regulate Rab1 by switch II modifications during infection. PMID: 27482120
- nMet accelerated HCC tumorigenesis and metastasis via the activation of TAK1/NF-kappaB pathway. PMID: 28989054
- TAK1 protein expression increased in cartilage tissue from spinal tuberculosis patients. PMID: 28829887
- TAK1 regulates Nrf2 through modulation of Keap-p62/SQSTM1 interaction. This regulation is important for homeostatic antioxidant protection in the intestinal epithelium. PMID: 27245349
- Overexpression of TAK1 was strongly associated with positive lymph node metastasis in pancreatic ductal adenocarcinoma. PMID: 28194669
- dysregulation of the TAK1 complex produces a close phenocopy of Frontometaphyseal Dysplasia caused by FLNA mutations; furthermore, the pathogenesis of some of the filaminopathies caused by FLNA mutations might be mediated by misregulation of signaling coordinated through the TAK1 signaling complex PMID: 27426733
- although TAK1 is located at the crossroad of inflammation, immunity, and cancer, this study reports MAP3K7 mutations in a developmental disorder affecting mainly cartilage, bone, and heart PMID: 27426734
- This study suggests that aberrant activity of TAK1 impairs autophagy and subsequently leads to alterations in the vitality of retinal pigment epithelial cells. PMID: 26928052
- TAK1 may be an important factor involved in the pathogenesis of thyroid cancer, and targeted down-regulation of TAK1 may improve the prognosis of patients with thyroid cancer. PMID: 26823762
- Loss of MAP3K7 are associated with esophageal squamous cell carcinoma. PMID: 26406417
- This paper highlights that targeting the BMP and TGFbeta type I and type II receptors causes a downregulation of XIAP, TAK1, and Id1 leading to cell death of lung cancer cells. PMID: 27048361
- Polyubiquitination of Transforming Growth Factor beta-activated Kinase 1 (TAK1) at Lysine 562 Residue Regulates TLR4-mediated JNK and p38 MAPK Activation PMID: 26189595
- The data emphasize the central role of TAK1 in controlling signaling cascades and functional responses in primary neutrophils, making it a promising target for therapeutic intervention in view of the role of neutrophils in chronic inflammatory conditions. PMID: 26491199
- MiR-377 is an important negative regulator of E2F and MAP3K7/NF-kB signaling pathway in melanoma cells. PMID: 25889255
- the TAK1 signaling pathway may represent a suitable target to design new, antifibrotic therapies PMID: 26185333
- Findings indicate that SHIP2 is a regulator of lymphatic function in humans and that inherited mutations in the INPPL1 gene may act in concert with HGF, and likely MAP3K7, mutations to exacerbate lymphatic phenotypes. PMID: 25383712
- Data indicate that inhibition of TGF-beta-activated protein kinase 1 (TAK1) reduces chemokine (C-C motif) receptor 7 (CCR7) expression. PMID: 25557171
- identify coordinate loss of MAP3K7 and CHD1 as a unique driver of aggressive prostate cancer development PMID: 25770290
- Data indicate 4-substituted 1H-pyrrolo[2,3-b]pyridines as potent inhibitors against TGFbeta-activated kinase 1 (TAK1) and mitogen-activated protein kinase kinase kinase kinase 2 (MAP4K2). PMID: 25075558
- Ubc13 was dispensable for transforming growth factor beta (TGFbeta)-induced SMAD activation but was required for activation of non-SMAD signaling via TGFbeta-activating kinase 1 (TAK1) and p38 PMID: 25189770
- Data show that the ECSIT (evolutionarily conserved signaling intermediate in Toll pathways) complex, including MEKK7 (TAK1) and TNF receptor-associated factor 6 (TRAF6), plays a role in Toll-like receptor 4 -mediated signals to activate NF-kappa B. PMID: 25371197
- Data suggest a role for the mitogen-activated protein kinase kinase kinase 7 TAK1-jun-NH2-Terminal Kinase JNK pathway as a critical regulator of NLRP3 protein inflammasome activation. PMID: 25288801
- Nef markedly activated TAK1 in M-CSF-derived M2-MPhi but not in GM-CSF-derived M1-MPhi. PMID: 24874739
- TAK1 may be an important oncogene or an effective target for renal cell carcinoma intervention. PMID: 25261726
- TAK1 plays a role in tumor initiation, progression, and metastasis as a tumor prompter or tumor suppressor. An understanding of the role of TAK1 in liver physiology and diseases is required for the development of therapeutic agencies targeting TAK1 PMID: 24443058
- Data suggest TAK1 and IKKbeta (inhibitor of kappaB kinase beta) phosphorylate different serines of IKKbeta; TAK1-catalyzed phosphorylation of IKKbeta at Ser177 is priming event that enables IKKbeta to activate itself by phosphorylating Ser181. PMID: 24911653
- NLK functions as a pivotal negative regulator of NF-kappaB via disrupting the interaction of TAK1 with IKKbeta. PMID: 24721172
- Data indicate that ribosomal S6 kinase 1 (S6K1) is negatively involved in the toll-like receptorS TLR2 and TLR4 signaling pathway by the inhibition of TAK1 (MAP3K7) activity. PMID: 24277938
- A dysregulated balance in the activation of TGFbeta-TAK1 and TGFbeta-SMAD pathways is pivotal for TGFbeta1-induced epithelial-mesenchymal transition. PMID: 24113182
- Overexpression of TAK1 predicts a poor prognosis in patients with clear cell renal cell carcinoma, so that TAK1 may serve as a novel prognostic marker PMID: 23534745
- our study identifies MAP3K7 deletion as a prominent feature in ERG-negative prostate cancer PMID: 23370768
- Results establish TAK1 as an AMPKalpha1 kinase that regulates vascular endothelial growth factor-induced and cytokine-induced angiogenesis by modulating SOD2 expression and the superoxide anion:hydrogen peroxide balance. PMID: 24072697
- TAK1 (MAP3K7) does not mediate the TGFb-induced phosphorylation of p38 mitogen-activated protein kinases. PMID: 23760366
- 14-3-3epsilon associates with TAK1 in a phosphorylation-dependent manner to determine the cell fate of Bleomycin-treated HCC cells PMID: 23472066
- Two SNPs, rs282070 located in intron 1 of the MAP3K7 gene, and rs2111699 located in intron 1 of the GSTZ1 gene, were significantly associated (after adjustment for multiple testing) with longevity in stage 2 PMID: 22576335
- Results indicate that TAK1 and p38 kinases appear to be central in the 'priming effect' of LTB(4) on neutrophils to enhance response to Toll-like receptor ligands. PMID: 22843747
- findings suggest that DUSP14 negatively regulates TNF- or IL-1-induced NF-kappaB activation by dephosphorylating TAK1 at Thr-187 PMID: 23229544
- TAK1 expression correlates with lymph node metastasis and is a negative, independent prognostic factor in resected T3N1-3M0 ESCCs. PMID: 23272845
- TAK1 plays central role in both innate and adaptive immunity as well as in DNA damage, osmotic stress, and hypoxia. (Review) PMID: 22941947
- We found that endothelial TAK1 and TAB2, but not TAB1, were critically involved in vascular formation PMID: 22972987
- review focuses on current insights into the mechanism and function of the Smad-independent signaling pathway via TGF-beta-activated kinase 1 and its role in mediating the profibrotic effects of TGF-beta1 in chronic kidney disease. [Review Article] PMID: 22835455
顯示更多
收起更多
-
相關疾病:Frontometaphyseal dysplasia 2 (FMD2); Cardiospondylocarpofacial syndrome (CSCF)
-
亞細胞定位:Cytoplasm. Cell membrane; Peripheral membrane protein; Cytoplasmic side. Note=Although the majority of MAP3K7/TAK1 is found in the cytosol, when complexed with TAB1/MAP3K7IP1 and TAB2/MAP3K7IP2, it is also localized at the cell membrane.
-
蛋白家族:Protein kinase superfamily, STE Ser/Thr protein kinase family, MAP kinase kinase kinase subfamily
-
組織特異性:Isoform 1A is the most abundant in ovary, skeletal muscle, spleen and blood mononuclear cells. Isoform 1B is highly expressed in brain, kidney and small intestine. Isoform 1C is the major form in prostate. Isoform 1D is the less abundant form.
-
數據庫鏈接:
Most popular with customers
-
-
YWHAB Recombinant Monoclonal Antibody
Applications: ELISA, WB, IHC, IF, FC
Species Reactivity: Human, Mouse, Rat
-
Phospho-YAP1 (S127) Recombinant Monoclonal Antibody
Applications: ELISA, WB, IHC
Species Reactivity: Human
-
-
-
-
-















