MAP3K6 Antibody
-
中文名稱:MAP3K6兔多克隆抗體
-
貨號:CSB-PA013428LA01HU
-
規格:¥440
-
圖片:
-
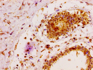
IHC image of CSB-PA013428LA01HU diluted at 1:100 and staining in paraffin-embedded human breast cancer performed on a Leica BondTM system. After dewaxing and hydration, antigen retrieval was mediated by high pressure in a citrate buffer (pH 6.0). Section was blocked with 10% normal goat serum 30min at RT. Then primary antibody (1% BSA) was incubated at 4°C overnight. The primary is detected by a biotinylated secondary antibody and visualized using an HRP conjugated SP system.
-
Immunofluorescence staining of MCF-7 cells with CSB-PA013428LA01HU at 1:100, counter-stained with DAPI. The cells were fixed in 4% formaldehyde, permeabilized using 0.2% Triton X-100 and blocked in 10% normal Goat Serum. The cells were then incubated with the antibody overnight at 4°C. The secondary antibody was Alexa Fluor 488-congugated AffiniPure Goat Anti-Rabbit IgG(H+L).
-
-
其他:
產品詳情
-
產品名稱:Rabbit anti-Homo sapiens (Human) MAP3K6 Polyclonal antibody
-
Uniprot No.:
-
基因名:
-
別名:Apoptosis signal regulating kinase 2 antibody; Apoptosis signal-regulating kinase 2 antibody; ASK2 antibody; EC 2.7.11.25 antibody; M3K6_HUMAN antibody; MAP3K6 antibody; MAPKKK6 antibody; MEKK6 antibody; MGC125653 antibody; MGC20114 antibody; Mitogen-activated protein kinase kinase kinase 6 antibody
-
宿主:Rabbit
-
反應種屬:Human
-
免疫原:Recombinant Human Mitogen-activated protein kinase kinase kinase 6 protein (905-990AA)
-
免疫原種屬:Homo sapiens (Human)
-
標記方式:Non-conjugated
本頁面中的產品,MAP3K6 Antibody (CSB-PA013428LA01HU),的標記方式是Non-conjugated。對于MAP3K6 Antibody,我們還提供其他標記。見下表:
-
克隆類型:Polyclonal
-
抗體亞型:IgG
-
純化方式:>95%, Protein G purified
-
濃度:It differs from different batches. Please contact us to confirm it.
-
保存緩沖液:Preservative: 0.03% Proclin 300
Constituents: 50% Glycerol, 0.01M PBS, pH 7.4 -
產品提供形式:Liquid
-
應用范圍:ELISA, IHC, IF
-
推薦稀釋比:
Application Recommended Dilution IHC 1:20-1:200 IF 1:50-1:200 -
Protocols:
-
儲存條件:Upon receipt, store at -20°C or -80°C. Avoid repeated freeze.
-
貨期:Basically, we can dispatch the products out in 1-3 working days after receiving your orders. Delivery time maybe differs from different purchasing way or location, please kindly consult your local distributors for specific delivery time.
-
用途:For Research Use Only. Not for use in diagnostic or therapeutic procedures.
相關產品
靶點詳情
-
功能:Component of a protein kinase signal transduction cascade. Activates the JNK, but not ERK or p38 kinase pathways.
-
基因功能參考文獻:
- Data show that the MAPKKK6 ASK2, a modulator of MAPKKK5 ASK1 signaling, was essential for ASK1-dependent apoptosis, but not for inducing interferon-beta (IFNB) expression. PMID: 26243192
- MAP3K6 acts as a tumor suppressor, and studies showing the presence of somatic mutations in MAP3K6 in non-hereditary gastric cancers and gastric cancer cell lines, point towards MAP3K6 variants as a predisposing factor for familial gastric cancer PMID: 25340522
- Apoptosis signal-regulating kinase (ASK) 2 functions as a mitogen-activated protein kinase kinase kinase in a heteromeric complex with ASK1. PMID: 17210579
-
蛋白家族:Protein kinase superfamily, STE Ser/Thr protein kinase family, MAP kinase kinase kinase subfamily
-
數據庫鏈接:
Most popular with customers
-
-
YWHAB Recombinant Monoclonal Antibody
Applications: ELISA, WB, IHC, IF, FC
Species Reactivity: Human, Mouse, Rat
-
Phospho-YAP1 (S127) Recombinant Monoclonal Antibody
Applications: ELISA, WB, IHC
Species Reactivity: Human
-
-
-
-
-















