MAP3K2 Antibody
-
中文名稱:MAP3K2兔多克隆抗體
-
貨號:CSB-PA013424LA01HU
-
規格:¥440
-
圖片:
-
IHC image of CSB-PA013424LA01HU diluted at 1:400 and staining in paraffin-embedded human pancreatic cancer performed on a Leica BondTM system. After dewaxing and hydration, antigen retrieval was mediated by high pressure in a citrate buffer (pH 6.0). Section was blocked with 10% normal goat serum 30min at RT. Then primary antibody (1% BSA) was incubated at 4°C overnight. The primary is detected by a biotinylated secondary antibody and visualized using an HRP conjugated SP system.
-
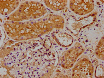
IHC image of CSB-PA013424LA01HU diluted at 1:400 and staining in paraffin-embedded human kidney tissue performed on a Leica BondTM system. After dewaxing and hydration, antigen retrieval was mediated by high pressure in a citrate buffer (pH 6.0). Section was blocked with 10% normal goat serum 30min at RT. Then primary antibody (1% BSA) was incubated at 4°C overnight. The primary is detected by a biotinylated secondary antibody and visualized using an HRP conjugated SP system.
-
-
其他:
產品詳情
-
產品名稱:Rabbit anti-Homo sapiens (Human) MAP3K2 Polyclonal antibody
-
Uniprot No.:
-
基因名:
-
別名:M3K2_HUMAN antibody; Map3k2 antibody; MAPK/ERK kinase kinase 2 antibody; MEK kinase 2 antibody; MEKK 2 antibody; MEKK2b antibody; Mitogen activated protein kinase kinase kinase 2 antibody; Mitogen-activated protein kinase kinase kinase 2 antibody
-
宿主:Rabbit
-
反應種屬:Human
-
免疫原:Recombinant Human Mitogen-activated protein kinase kinase kinase 2 protein (357-619AA)
-
免疫原種屬:Homo sapiens (Human)
-
標記方式:Non-conjugated
本頁面中的產品,MAP3K2 Antibody (CSB-PA013424LA01HU),的標記方式是Non-conjugated。對于MAP3K2 Antibody,我們還提供其他標記。見下表:
-
克隆類型:Polyclonal
-
抗體亞型:IgG
-
純化方式:>95%, Protein G purified
-
濃度:It differs from different batches. Please contact us to confirm it.
-
保存緩沖液:Preservative: 0.03% Proclin 300
Constituents: 50% Glycerol, 0.01M PBS, pH 7.4 -
產品提供形式:Liquid
-
應用范圍:ELISA, IHC
-
推薦稀釋比:
Application Recommended Dilution IHC 1:200-1:500 -
Protocols:
-
儲存條件:Upon receipt, store at -20°C or -80°C. Avoid repeated freeze.
-
貨期:Basically, we can dispatch the products out in 1-3 working days after receiving your orders. Delivery time maybe differs from different purchasing way or location, please kindly consult your local distributors for specific delivery time.
-
用途:For Research Use Only. Not for use in diagnostic or therapeutic procedures.
相關產品
靶點詳情
-
功能:Component of a protein kinase signal transduction cascade. Regulates the JNK and ERK5 pathways by phosphorylating and activating MAP2K5 and MAP2K7. Plays a role in caveolae kiss-and-run dynamics.
-
基因功能參考文獻:
- Compound 1s displayed activity in cell-based assays in which it inhibited ERK5 pathway activation in cells and inhibited cell migration in a scratch assay. Thus, we have identified a scaffold that has promising potential to be developed into a highly selective and potent inhibitor of MEKK2. Information from these SAR studies provides specific guidance for the future design of MEKK2 inhibitor probes. PMID: 29309787
- miR-34c-3p may regulate triple-negative breast cancer progression by directly targeting the 3'-untranslated region of mitogen-activated protein kinase kinase kinase 2 (MAP3K2). PMID: 28069384
- Study found miR-186 expression significantly decreased in lung cancer tissues and cells and MAP3K2 expression increased in the same cancer tissues. Also, results confirmed that MAP3K2 is a target gene of miR-186 and both expression correlated with prognosis. PMID: 27498924
- SMYD3-mediated methylation of MAP3K2 increases mutant K-Ras-induced activation of ERK1/2. (Review) PMID: 25382779
- Restoration of miR17/20a in solid tumor cells enhances the natural killer cell antitumor activity by targeting Mekk2 PMID: 24801835
- HBXIP activated ERK1/2 through up-regulating MEKK2. PMID: 25304384
- MEKK2 has a novel function as a regulator of ubiquitylation-dependent paxillin redistribution in breast tumour cells. PMID: 25190348
- EBV microRNA BART 18-5p targets MAP3K2 to facilitate persistence in vivo by inhibiting viral replication in B cells. PMID: 25012295
- Inhibitors of apoptosis proteins regulate myogenic differentiation by directly suppressing MEKK2/3-MEK5-ERK5 signaling. PMID: 24975362
- methylation of MAP3K2 by SMYD3 increases MAP kinase signalling and promotes the formation of Ras-driven carcinomas PMID: 24847881
- results strongly support a role for MEKK2 as a regulator of signaling that modulates breast tumor cell spread area and migration through control of focal adhesion stability PMID: 24491810
- Data suggest that MEKK2 and MLK3 represent untargeted kinases in tumor biology for potential therapeutic development. PMID: 22139075
- Hepatitis B virus X protein enhances the growth of hepatoma cells through upregulation of MEKK2. PMID: 21804577
- Calcium regulation of EGF-induced ERK5 activation is mediated through interaction of MEKK2 with the adaptor protein Lad1. PMID: 20830310
- MEKK2 is a potent activator of the c-Jun N-terminal kinase pathway in fibroblast-like synoviocytes in rheumatoid arthritis. PMID: 14734742
- Unlike ERK5 and MEK5, their upstream activator MEKK2 is localized mainly in the cytosol of resting cells, and translocates into the nucleus upon EGF stimulation PMID: 15075238
- MEKK2 is dimerized and activated by the novel protein Mip1. PMID: 15988011
- Through interaction with MEKK2, XIAP functions in an ubiquitin ligase dependent manner to evoke a second wave of NF-kappaB activation, resulting in the modulation of NF-kappaB target gene expression. PMID: 18761086
- Loss of MADD expression resulted in reduced Grb2 and Sos1/2 recruitment to the TNFR1 complex and decreased Ras and MEKK1/2 activation PMID: 19289468
- The ability of MEKK2 to discriminate tumor from normal cells was orthogonally confirmed. PMID: 19690195
顯示更多
收起更多
-
亞細胞定位:Cytoplasm. Nucleus. Note=Upon EGF stimulation, translocates into the nucleus.
-
蛋白家族:Protein kinase superfamily, STE Ser/Thr protein kinase family, MAP kinase kinase kinase subfamily
-
數據庫鏈接:
Most popular with customers
-
-
YWHAB Recombinant Monoclonal Antibody
Applications: ELISA, WB, IHC, IF, FC
Species Reactivity: Human, Mouse, Rat
-
Phospho-YAP1 (S127) Recombinant Monoclonal Antibody
Applications: ELISA, WB, IHC
Species Reactivity: Human
-
-
-
-
-















