MAP3K13 Antibody
-
中文名稱:MAP3K13兔多克隆抗體
-
貨號:CSB-PA784556
-
規格:¥1100
-
圖片:
-
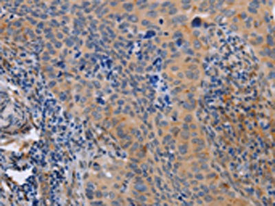
The image on the left is immunohistochemistry of paraffin-embedded Human liver cancer tissue using CSB-PA784556(MAP3K13 Antibody) at dilution 1/40, on the right is treated with fusion protein. (Original magnification: ×200)
-
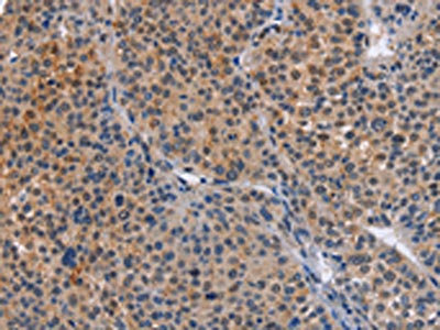
The image on the left is immunohistochemistry of paraffin-embedded Human cervical cancer tissue using CSB-PA784556(MAP3K13 Antibody) at dilution 1/40, on the right is treated with fusion protein. (Original magnification: ×200)
-
-
其他:
產品詳情
-
Uniprot No.:
-
基因名:
-
別名:EC 2.7.11.25 antibody; Leucine zipper bearing kinase antibody; Leucine zipper-bearing kinase antibody; LZK antibody; M3K13_HUMAN antibody; MAP3K13 antibody; MEKK13 antibody; MGC133196 antibody; Mitogen activated protein kinase kinase kinase 13 antibody; Mitogen-activated protein kinase kinase kinase 13 antibody; Mixed lineage kinase antibody; MLK antibody; OTTHUMP00000210397 antibody
-
宿主:Rabbit
-
反應種屬:Human,Mouse
-
免疫原:Fusion protein of Human MAP3K13
-
免疫原種屬:Homo sapiens (Human)
-
標記方式:Non-conjugated
-
抗體亞型:IgG
-
純化方式:Antigen affinity purification
-
濃度:It differs from different batches. Please contact us to confirm it.
-
保存緩沖液:-20°C, pH7.4 PBS, 0.05% NaN3, 40% Glycerol
-
產品提供形式:Liquid
-
應用范圍:ELISA,IHC
-
推薦稀釋比:
Application Recommended Dilution ELISA 1:1000-1:5000 IHC 1:50-1:200 -
Protocols:
-
儲存條件:Upon receipt, store at -20°C or -80°C. Avoid repeated freeze.
-
貨期:Basically, we can dispatch the products out in 1-3 working days after receiving your orders. Delivery time maybe differs from different purchasing way or location, please kindly consult your local distributors for specific delivery time.
-
用途:For Research Use Only. Not for use in diagnostic or therapeutic procedures.
相關產品
靶點詳情
-
功能:Activates the JUN N-terminal pathway through activation of the MAP kinase kinase MAP2K7. Acts synergistically with PRDX3 to regulate the activation of NF-kappa-B in the cytosol. This activation is kinase-dependent and involves activating the IKK complex, the IKBKB-containing complex that phosphorylates inhibitors of NF-kappa-B.
-
基因功能參考文獻:
- Data indicate that miR-206's effect on Myc was mediated through MAP3K13. PMID: 26918941
- Chromosomal localization studies involving FISH mapping demonstrated that the human LZK gene is located at 3q27. PMID: 12186766
-
亞細胞定位:Cytoplasm. Membrane; Peripheral membrane protein.
-
蛋白家族:Protein kinase superfamily, STE Ser/Thr protein kinase family, MAP kinase kinase kinase subfamily
-
組織特異性:Expressed in the adult brain, liver, placenta and pancreas, with expression strongest in the pancreas.
-
數據庫鏈接:
Most popular with customers
-
-
YWHAB Recombinant Monoclonal Antibody
Applications: ELISA, WB, IHC, IF, FC
Species Reactivity: Human, Mouse, Rat
-
Phospho-YAP1 (S127) Recombinant Monoclonal Antibody
Applications: ELISA, WB, IHC
Species Reactivity: Human
-
-
-
-
-
VDAC1 Recombinant Monoclonal Antibody
Applications: ELISA, WB, IHC
Species Reactivity: Human, Mouse, Rat















