MAP2K4 Antibody
-
中文名稱:MAP2K4兔多克隆抗體
-
貨號:CSB-PA013413LA01HU
-
規格:¥440
-
圖片:
-
Western Blot
Positive WB detected in: Hela whole cell lysate, MCF-7 whole cell lysate
All lanes: MAP2K4 antibody at 3.25μg/ml
Secondary
Goat polyclonal to rabbit IgG at 1/50000 dilution
Predicted band size: 45, 46 kDa
Observed band size: 45 kDa -
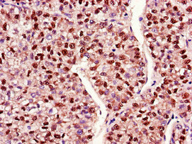
Immunohistochemistry of paraffin-embedded human liver cancer using CSB-PA013413LA01HU at dilution of 1:100
-
Immunofluorescent analysis of HepG2 cells using CSB-PA013413LA01HU at dilution of 1:100 and Alexa Fluor 488-congugated AffiniPure Goat Anti-Rabbit IgG(H+L)
-
-
其他:
產品詳情
-
產品名稱:Rabbit anti-Homo sapiens (Human) MAP2K4 Polyclonal antibody
-
Uniprot No.:
-
基因名:
-
別名:c Jun N terminal kinase kinase 1 antibody; C-JUN N-terminal kinase kinase 1 antibody; Dual specificity mitogen activated protein kinase kinase 4 antibody; Dual specificity mitogen-activated protein kinase kinase 4 antibody; JNK Activated Kinase 1 antibody; JNK activating kinase 1 antibody; JNK-activating kinase 1 antibody; JNKK antibody; JNKK1 antibody; MAP kinase kinase 4 antibody; Map2k4 antibody; MAPK ERK kinase 4 antibody; MAPK/ERK kinase 4 antibody; MAPKK 4 antibody; MAPKK4 antibody; MEK 4 antibody; MEK4 antibody; Mitogen activated protein kinase kinase 4 antibody; MKK 4 antibody; MKK4 antibody; MP2K4_HUMAN antibody; PRKMK4 antibody; SAPK ERK kinase 1 antibody; SAPK/ERK kinase 1 antibody; SAPKK 1 antibody; SAPKK1 antibody; SEK1 antibody; SERK1 antibody; SKK1 antibody; Stress activated protein kinase kinase 1 antibody
-
宿主:Rabbit
-
反應種屬:Human
-
免疫原:Recombinant Human Dual specificity mitogen-activated protein kinase kinase 4 protein (259-398AA)
-
免疫原種屬:Homo sapiens (Human)
-
標記方式:Non-conjugated
本頁面中的產品,MAP2K4 Antibody (CSB-PA013413LA01HU),的標記方式是Non-conjugated。對于MAP2K4 Antibody,我們還提供其他標記。見下表:
-
克隆類型:Polyclonal
-
抗體亞型:IgG
-
純化方式:>95%, Protein G purified
-
濃度:It differs from different batches. Please contact us to confirm it.
-
保存緩沖液:Preservative: 0.03% Proclin 300
Constituents: 50% Glycerol, 0.01M PBS, PH 7.4 -
產品提供形式:Liquid
-
應用范圍:ELISA, WB, IHC, IF
-
推薦稀釋比:
Application Recommended Dilution WB 1:500-1:5000 IHC 1:100-1:500 IF 1:50-1:500 -
Protocols:
-
儲存條件:Upon receipt, store at -20°C or -80°C. Avoid repeated freeze.
-
貨期:Basically, we can dispatch the products out in 1-3 working days after receiving your orders. Delivery time maybe differs from different purchasing way or location, please kindly consult your local distributors for specific delivery time.
-
用途:For Research Use Only. Not for use in diagnostic or therapeutic procedures.
相關產品
靶點詳情
-
功能:Dual specificity protein kinase which acts as an essential component of the MAP kinase signal transduction pathway. Essential component of the stress-activated protein kinase/c-Jun N-terminal kinase (SAP/JNK) signaling pathway. With MAP2K7/MKK7, is the one of the only known kinase to directly activate the stress-activated protein kinase/c-Jun N-terminal kinases MAPK8/JNK1, MAPK9/JNK2 and MAPK10/JNK3. MAP2K4/MKK4 and MAP2K7/MKK7 both activate the JNKs by phosphorylation, but they differ in their preference for the phosphorylation site in the Thr-Pro-Tyr motif. MAP2K4 shows preference for phosphorylation of the Tyr residue and MAP2K7/MKK7 for the Thr residue. The phosphorylation of the Thr residue by MAP2K7/MKK7 seems to be the prerequisite for JNK activation at least in response to proinflammatory cytokines, while other stimuli activate both MAP2K4/MKK4 and MAP2K7/MKK7 which synergistically phosphorylate JNKs. MAP2K4 is required for maintaining peripheral lymphoid homeostasis. The MKK/JNK signaling pathway is also involved in mitochondrial death signaling pathway, including the release cytochrome c, leading to apoptosis. Whereas MAP2K7/MKK7 exclusively activates JNKs, MAP2K4/MKK4 additionally activates the p38 MAPKs MAPK11, MAPK12, MAPK13 and MAPK14.
-
基因功能參考文獻:
- These results provide valuable insights into the role of acetylation in MKK4-JNK signaling in T cells. PMID: 29248490
- This study demonstrates that MKK4 employs a subtle combination of interaction modes in order to bind to p38 alpha, leading to a complex displaying significantly different dynamics across the bound regions. PMID: 29276882
- MKK4 overexpression enhanced TNF-alpha-mediated signaling activation and transcription of downstream catabolic genes, and consequently worsened cartilage degradation. PMID: 29072705
- Study provides evidence that phosphorylated MKK4 (pMKK4) might function as a tumor suppressor in colorectal cancer (CRC). Downregulation of pMKK4 was associated with a more aggressive phenotype and with increases in local invasion and metastasis. pMKK4 was also strongly associated with disease-free survival. PMID: 28423721
- Androgen-induced miR-27A acted as a tumor suppressor by targeting MAP2K4 and mediated prostate cancer progression PMID: 27594411
- the expression level of MAP2K4 was inversely associated with the expression of miR-802 in tongue squamous cell carcinoma (TSCC) tissues; demonstration that the MAP2K4 expression was upregulated in TSCC cell lines; elevated expression of miR-802 inhibited TSCC cell viability and invasion through inhibiting MAP2K4 expression PMID: 28319306
- MKK4 activates non-canonical NFkappaB signaling by promoting NFkappaB2-p100 processing. PMID: 28733031
- Manipulating the expression of both miR-222 and miR-25 influenced diverse gene expression changes in thyroid cells. Increased expression of miR-25 reduced MEK4 and TRAIL protein expression, and cell adhesion and apoptosis are important aspects of miR-25 functioning in thyroid cells. PMID: 27353001
- Association between MKK4 promoter polymorphism and breast cancer risk in Kashmiri population PMID: 27509166
- In Chinese Han ischemic stroke patients rs3826392 C/A genotype carriers showed significantly higher IL-1b serum levels. PMID: 26856463
- the presence of the -1304T > G polymorphism is likely to decrease risk of cancer (Meta-Analysis) PMID: 26554761
- The plasma level of protein MAP2K4 was found to suggestively associate negatively with the volume of the left entorhinal cortex in asymptomatic older twins. PMID: 26080319
- MAP2K4 increases human prostate cancer metastasis, and prolonged over expression induces long term changes in cell signaling pathways leading to independence from p38 MAPK and JNK. PMID: 25019290
- MKK4 is activated in vitro by reduced Trx but not oxidized Trx in the absence of an upstream kinase, suggesting that autophosphorylation of this protein occurs due to reduction of Cys-246 and Cys-266 by Trx. PMID: 26028649
- Data suggest a genetic interaction between MAP2K4 and HLA-DRB1, and the importance of rs10468473 and MAP2K4 splice variants in the development of autoantibody-positive RA. PMID: 25732927
- knockdown of Sec8 enhances the binding of JIP4 to MAPK kinase 4, thereby decreasing the phosphorylation of MAPK kinase 4, JNK, and p38. PMID: 25244576
- Demonstrate that Mkk4 is a negative regulator of the TGF-beta1 signaling associated with atrial remodeling and arrhythmogenesis with age. PMID: 24721794
- MicroRNA-27a promotes proliferation, migration and invasion by targeting MAP2K4 in human osteosarcoma cells. PMID: 24556602
- Single nucleotide polymorphisms in MAP2K4 gene is associated with gastric cancer. PMID: 23921907
- Arrestin-3 directly interacts with MKK7 and promotes JNK3alpha2 phosphorylation by both MKK4 and MKK7 in vitro as well as in intact cells. PMID: 23960075
- If both p53 and the SAPKK MKK4 are simultaneously inactivated, persistent polo-like kinase 4 activity combined with the lack of SAPK-mediated inhibition of centrosome duplication conspire to induce supernumerary centrosomes under stress. PMID: 23653187
- Rs12939944 located in the MAP2K4 intron was associated with decreased risk. PMID: 23299404
- MicroRNA-92a negatively regulates Toll-like receptor (TLR)-triggered inflammatory response in macrophages by targeting MKK4 kinase PMID: 23355465
- Crystal structures combined with small-angle X-ray scattering experiments revealed that the apo form of non-phosphorylated MAP2K4 (npMAP2K4) exists in a transient state which has a longer conformation compared with the typical kinase folding. PMID: 22828509
- Results suggest that the functional -1304G variant in the MKK4 promoter decreases the risk of PCa by increasing the promoter activity. PMID: 22526163
- the functional -1304G variant in the MKK4 promoter contributes to a decreased risk of cervical cancer PMID: 22335172
- Overexpression of MAP2K4 in osteosarcoma was correlated with poor treatment response, disease progression and poor overall survival. PMID: 22154052
- Suggest that in pancreatic ductal adenocarcinomas, the MKK4 protein was directly related to high cell proliferation. PMID: 22158075
- protective role of genetic variant MKK4 -1304T>G is restrained in nasopharyngeal carcinoma (NPC) with Epstein-Barr Virus (EBV) infection. These findings implicate the role of EBV and MKK4 -1304 T>G interaction as a causative factor for the NPC. PMID: 21702039
- MKK4 was identified as playing a key role in Tau-S422 phosphorylation in human neuroblastoma cells. PMID: 21638028
- The purpose of the study was to investigate the potential contribution of HPK1, MEKK1, TAK1, p-MKK4 to the development of extramammary Paget disease PMID: 21915030
- Building on the foundation of daring hypotheses: using the MKK4 metastasis suppressor to develop models of dormancy and metastatic colonization. PMID: 21925502
- 8 out of 11 cancer-associated MAP2K4 mutations reduce MKK4 protein stability or impair its kinase activity PMID: 21896780
- MAP2K4 is targeted by genetic inactivation in ovarian cancer and restricted to high grade serous and endometrioid carcinomas in our cohort. PMID: 21575258
- These results indicated that MKK4 acts as a tumor suppressor and may represent an important therapeutic target for the treatment of ovarian cancer PMID: 21487811
- Compared with the -1304TT genotype, patients with the -1304TG genotype had a significantly decreased risk of acute myeloid leukemia PMID: 21518142
- Loss of MKK4 expression is associated with endometrial cancer. PMID: 21372598
- These results suggest that JNK affects the association of alpha-catenin with the adherens junction complex and regulates adherens junctions. PMID: 21030692
- Data indicate that MKK4 gene knockdown in MDAH2774 cells over-expressing MKK4 increased invasion activity. PMID: 20309881
- the crystal structures of human non-phosphorylated MKK4 kinase domain (npMKK4) complexed with AMP-PNP (npMKK4/AMP) and a ternary complex of npMKK4, AMP-PNP and p38alpha peptide (npMKK4/AMP/p38) were determined. PMID: 20732303
- Functional -1304G variant in the MKK4 promoter contributes to a decreased risk of lung cancer by increasing the promoter activity. PMID: 20554746
- Elevated MKK4 abundance inhibited cell proliferation and increased the phosphorylation and activity of p38 and PRAK. Thus, multiple microRNAs acting on a single target, the MKK4 mRNA, collectively influence MKK4 abundance during replicative senescence PMID: 19861690
- There appears to be consistent rate of genetic inactivation of MAP2K4 among most tumor types, including breast cancer. PMID: 11754110
- JNK-dependent phosphorylation and thus inactivation of Mcl-1 may be one of the mechanisms through which oxidative stress induces cellular damage PMID: 12223490
- Jun N-terminal kinase has a role in IL-4 induction PMID: 12368275
- in the setting of wild-type PTEN, PI3K- and MKK4/JNK-dependent pathways cooperate to maintain cell survival. PMID: 12714585
- regulation of fibroblast functions important for wound healing by basal JNK activity PMID: 12730213
- docking site in MKK4 mediates high affinity binding to JNK MAPKs and competes with similar docking sites in JNK substrates PMID: 12788955
- JNK, MKK-4, and MKK-7 form an active signaling complex in rheumatoid arthritis and this novel JNK signalsome is activated in response to IL-1 and migrates to the nucleus PMID: 13130464
- JNK and p38 MAPK activities in UVA-induced signaling pathways leading to AP-1 activation and c-Fos expression PMID: 14511403
顯示更多
收起更多
-
亞細胞定位:Cytoplasm. Nucleus.
-
蛋白家族:Protein kinase superfamily, STE Ser/Thr protein kinase family, MAP kinase kinase subfamily
-
組織特異性:Abundant expression is seen in the skeletal muscle. It is also widely expressed in other tissues.
-
數據庫鏈接:
Most popular with customers
-
-
YWHAB Recombinant Monoclonal Antibody
Applications: ELISA, WB, IHC, IF, FC
Species Reactivity: Human, Mouse, Rat
-
Phospho-YAP1 (S127) Recombinant Monoclonal Antibody
Applications: ELISA, WB, IHC
Species Reactivity: Human
-
-
-
-
-















