MAJIN Antibody
-
中文名稱:MAJIN兔多克隆抗體
-
貨號:CSB-PA659444LA01HU
-
規格:¥440
-
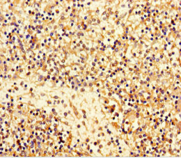
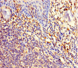
圖片:
-
其他:
產品詳情
-
產品名稱:Rabbit anti-Homo sapiens (Human) MAJIN Polyclonal antibody
-
Uniprot No.:
-
基因名:MAJIN
-
別名:MAJIN antibody; C11orf85Membrane-anchored junction protein antibody
-
宿主:Rabbit
-
反應種屬:Human
-
免疫原:Recombinant Human Membrane-anchored junction protein (1-216AA)
-
免疫原種屬:Homo sapiens (Human)
-
標記方式:Non-conjugated
本頁面中的產品,MAJIN Antibody (CSB-PA659444LA01HU),的標記方式是Non-conjugated。對于MAJIN Antibody,我們還提供其他標記。見下表:
-
克隆類型:Polyclonal
-
抗體亞型:IgG
-
純化方式:>95%, Protein G purified
-
濃度:It differs from different batches. Please contact us to confirm it.
-
保存緩沖液:Preservative: 0.03% Proclin 300
Constituents: 50% Glycerol, 0.01M PBS, PH 7.4 -
產品提供形式:Liquid
-
應用范圍:ELISA, IHC
-
推薦稀釋比:
Application Recommended Dilution IHC 1:20-1:200 -
Protocols:
-
儲存條件:Upon receipt, store at -20°C or -80°C. Avoid repeated freeze.
-
貨期:Basically, we can dispatch the products out in 1-3 working days after receiving your orders. Delivery time maybe differs from different purchasing way or location, please kindly consult your local distributors for specific delivery time.
-
用途:For Research Use Only. Not for use in diagnostic or therapeutic procedures.
相關產品
靶點詳情
-
功能:Meiosis-specific telomere-associated protein involved in meiotic telomere attachment to the nucleus inner membrane, a crucial step for homologous pairing and synapsis. Component of the MAJIN-TERB1-TERB2 complex, which promotes telomere cap exchange by mediating attachment of telomeric DNA to the inner nuclear membrane and replacement of the protective cap of telomeric chromosomes: in early meiosis, the MAJIN-TERB1-TERB2 complex associates with telomeric DNA and the shelterin/telosome complex. During prophase, the complex matures and promotes release of the shelterin/telosome complex from telomeric DNA. In the complex, MAJIN acts as the anchoring subunit to the nucleus inner membrane. MAJIN shows DNA-binding activity, possibly for the stabilization of telomere attachment on the nucleus inner membrane.
-
亞細胞定位:Nucleus inner membrane; Single-pass membrane protein. Chromosome, telomere.
-
蛋白家族:MAJIN family
-
數據庫鏈接:
Most popular with customers
-
-
YWHAB Recombinant Monoclonal Antibody
Applications: ELISA, WB, IHC, IF, FC
Species Reactivity: Human, Mouse, Rat
-
Phospho-YAP1 (S127) Recombinant Monoclonal Antibody
Applications: ELISA, WB, IHC
Species Reactivity: Human
-
-
-
-
-















