MAD2L1 Antibody
-
中文名稱:MAD2L1兔多克隆抗體
-
貨號:CSB-PA619756ESR2HU
-
規格:¥440
-
圖片:
-
Western blot
All lanes: Mitotic spindle assembly checkpoint protein MAD2A antibody at 3μg/ml + 293T whole cell lysate
Secondary
Goat polyclonal to rabbit IgG at 1/10000 dilution
Predicted band size: 24, 11 kDa
Observed band size: 24 kDa -
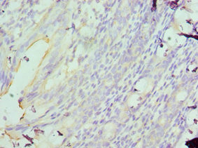
Immunohistochemistry of paraffin-embedded human colon using CSB-PA619756ESR2HU at dilution of 1:100
-
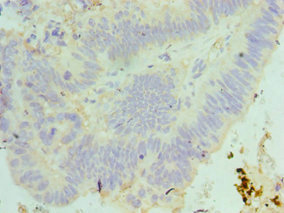
Immunohistochemistry of paraffin-embedded human colon cancer using CSB-PA619756ESR2HU at dilution of 1:100
-
-
其他:
產品詳情
-
產品名稱:Rabbit anti-Homo sapiens (Human) MAD2L1 Polyclonal antibody
-
Uniprot No.:
-
基因名:
-
別名:HsMAD2 antibody; MAD 2 antibody; MAD2 like 1 antibody; MAD2 mitotic arrest deficient like 1 antibody; MAD2-like protein 1 antibody; Mad2l1 antibody; MD2L1_HUMAN antibody; Mitotic arrest deficient 2-like protein 1 antibody; Mitotic spindle assembly checkpoint protein MAD2A antibody; REV7 antibody
-
宿主:Rabbit
-
反應種屬:Human
-
免疫原:Recombinant Human Mitotic spindle assembly checkpoint protein MAD2A protein (1-205AA)
-
免疫原種屬:Homo sapiens (Human)
-
標記方式:Non-conjugated
-
克隆類型:Polyclonal
-
抗體亞型:IgG
-
純化方式:Antigen Affinity Purified
-
濃度:It differs from different batches. Please contact us to confirm it.
-
保存緩沖液:PBS with 0.02% sodium azide, 50% glycerol, pH7.3.
-
產品提供形式:Liquid
-
應用范圍:ELISA, WB, IHC
-
推薦稀釋比:
Application Recommended Dilution WB 1:500-1:2000 IHC 1:20-1:200 -
Protocols:
-
儲存條件:Upon receipt, store at -20°C or -80°C. Avoid repeated freeze.
-
貨期:Basically, we can dispatch the products out in 1-3 working days after receiving your orders. Delivery time maybe differs from different purchasing way or location, please kindly consult your local distributors for specific delivery time.
-
用途:For Research Use Only. Not for use in diagnostic or therapeutic procedures.
相關產品
靶點詳情
-
功能:Component of the spindle-assembly checkpoint that prevents the onset of anaphase until all chromosomes are properly aligned at the metaphase plate. In the closed conformation (C-MAD2) forms a heterotetrameric complex with MAD1L1 at unattached kinetochores during prometaphase, the complex recruits open conformation molecules of MAD2L1 (O-MAD2) and then promotes the conversion of O-MAD2 to C-MAD2. Required for the execution of the mitotic checkpoint which monitors the process of kinetochore-spindle attachment and inhibits the activity of the anaphase promoting complex by sequestering CDC20 until all chromosomes are aligned at the metaphase plate.
-
基因功能參考文獻:
- MAD2 was found both in SCLC and NSCLC. Interestingly, there was a significant difference found between SCLC and NSCLC using qt-PCR (P<0.05). PMID: 30346937
- we demonstrate that the CDC20-MAD2 complex could also be formed independently of the SAC. Moreover, in prolonged arrest caused by nocodazole treatment, the overall levels of the CDC20-MAD2 complex are gradually, but significantly, reduced and this is associated with lower levels of cyclin B1, which brings a new insight into the mechanism of mitotic "slippage" of the arrested cells. PMID: 28112196
- MAD2-p31(comet) axis may serve as a potential therapeutic target for glioma. PMID: 29408509
- These results identify an unexpected dependency on TRIP13 in cells overexpressing Mad2. PMID: 28564602
- this study shows that MAD2L1 is a prognostic biomarker for lung adenocarcinoma PMID: 27835911
- MiR-200c-5p suppresses proliferation and metastasis of human hepatocellular carcinoma by suppressing MAD2L1 expression. PMID: 28609841
- Low MAD2L1 expression is associated with Chromophobe Renal Cell Carcinomas. PMID: 28807937
- TRAP1 is relevant in the control of key cell cycle regulators in tumor cells. TRAP1/TBP7 quality control of CDK1 and MAD2 contributes mechanistically to the regulation of mitotic entry and transit. PMID: 28678347
- Thes authors show that p31(comet) binding to the TRIP13 N-terminal domain positions the disordered MAD2 N-terminus for engagement by the TRIP13 "pore loops", which then unfold MAD2 in the presence of ATP. PMID: 28659378
- catalytic activation of the spindle assembly checkpoint depends on regulated protein-protein interactions that accelerate the spontaneous but rate-limiting conversion of MAD2 required for mitotic checkpoint complex assembly PMID: 28102834
- in addition to its role in checkpoint signaling, MAD2 ensures chromosome stability through the regulation of AURORA B. PMID: 27341405
- Overexpression of MAD2gamma may play a role in checkpoint disruption and is associated with resistance to cisplatin-based chemotherapy in testicular germ cell tumors. PMID: 27315568
- Aberrant Mad2 expression was associated with cell proliferation and genetic instability, which may contribute to the carcinogenesis of PGI-DLBCL. Mad2 overexpression indicated a poor DFS. PMID: 27077767
- interactions between Mad2 and H3K4 regulate resolution of the spindle assembly checkpoint by limiting closed Mad2 availability for Cdc20 inhibition. PMID: 27198228
- we showed that BubR1 and Mad2 are overexpressed in oral squamous cell carcinoma cell lines and linked such overexpression to attenuated spindle assembly checkpoint activity. PMID: 25754611
- Studied the folding/unfolding process of the open and closed conformers of human Mad2. PMID: 26489879
- MAD1L1 Arg558His and MAD2L1 Leu84Met interaction with smoking increase the risk of colorectal cancer PMID: 26183163
- p31comet-induced cell death is mediated by interactions with Mad2 PMID: 26544187
- MAD2L1 and BUB1 may play important roles in breast cancer progression, and measuring the expression of these genes may assist the prediction of breast cancer prognosis. PMID: 26287798
- We also show that replication perturbations result in relocalization of MAD1/MAD2 in human cells, suggesting that the role of SAC in DNA repair is conserved. PMID: 25898113
- Data indicate the structure of the intermediate conformer of the multistate checkpoint protein mitotic arrest deficient 2 (Mad2) protein. PMID: 26305957
- WT1 has a role in interacting MAD2 and regulating mitotic checkpoint function PMID: 25232865
- In conclusion, the results presented here suggest that Mad2 and BubR1 could be used as prognostic markers of tumor progression and new pharmacological targets in the treatment for gastric cancer . PMID: 25483095
- Co-depletion of MAD2 and BUBR1 causes cell cycle arrest and cell death in addition to aneuploidy. PMID: 24687487
- hMAD2 also binds to the hREV7-binding sequence in hREV3, whereas hMAD2 does not bind to a similar sequence in ADAM9 or ELK-1 and hREV7 does not bind to the hMAD2-binding sequence in hMAD1 or hCDC20. PMID: 20088965
- CDC20, MAD2 and Aurora-B protein expression are associated with chromosomal abnormalities and poor prognosis in patients with myelodysplastic syndromes. PMID: 25637637
- the interaction of FAT10 with MAD2 is a key mechanism underlying the promalignant property of FAT10 PMID: 25422469
- MAD2 and CDC20 overexpression was increased in high-grade squamous intraepithelial lesions and squamous cell carcinomas, suggesting their involvement in the initiation of cervical cancers. PMID: 25083970
- MAD2 may be involved in oral carcinogenesis and may represent an important prognostic factor associated with a more malignant phenotype of oral squamous cell carcinoma. PMID: 25503128
- This article reviews Mad1 and Mad2 - structural and functional relationship with implication in genetic diseases, specifically in cancer. [review] PMID: 24724894
- The interconversion between two distinct conformations of open- and closed-states might facilitate the functional activity of the Mad2 protein. PMID: 24690997
- Results showed that neither variants in BUB3 nor variants in MAD2L1 caused any significant effect on the risk of breast cancer PMID: 24711138
- In ovarian carcinoma, tumors showing reduced nuclear MAD2 intensity identifying patients with a poorer recurrence-free survival prognosis. PMID: 24792619
- The expression and localization of Mad2 and Cdc20 is regulated by subcellular Chk1 during the metaphase-anaphase transition. PMID: 24747134
- MiR-28-5p is a critical regulator of Mad2 translation and mitotic checkpoint function. PMID: 24491803
- attenuating the affinity of p31(Comet) for Mad2 by phosphorylation promotes SAC activity in mitosis. Specifically, phosphorylation of Ser-102 weakens p31(Comet)-Mad2 binding and enhances p31(Comet)-mediated bypass of the SAC. PMID: 24596092
- Results show that Mad1-Mad2 must be targeted to nuclear pore complexes (NPCs) in order to produce the premitotic Cdc20 inhibitor, which ensures that anaphase and mitotic exit are robustly coupled to the establishment and correction of kinetochore-microtubule attachments. PMID: 24581499
- results strongly suggest that PP2A is a good therapeutic target in Mad2-overexpressing tumors PMID: 24425774
- Studied the significance of budding uninhibited by benzimidazoles-1 (Bub1) and mitotic arrest deficient-2 (Mad2) expression in endometrial carcinoma. PMID: 24654460
- Tpr is a kinetochore-independent, rate-limiting factor required to mount and sustain a robust SAC response. PMID: 24344181
- sustained MPS1 activity is required for maintaining both the MAD1.C-MAD2 complex and open MAD2 (O-MAD2) at unattached kinetochores to facilitate C-MAD2 production PMID: 24151075
- increased expression of CDC20 and MAD2 is related to poor prognosis of urothelial carcinoma of the human bladder PMID: 23995871
- Mad2 protein is co-localizes and associated with chk1 increase after DNA damage. PMID: 23454898
- Mad2 Binding Induces a Functional Switch in Cdc20,Enabling BubR1 Binding. PMID: 23791783
- MAD2 expression levels can indicate sensitivity to anticancer agents, and risk for recurrence in ovarian serous adenocarcinoma. PMID: 22797604
- data validate the correlation between upregulation of Mad2 and osteosarcoma advancement, and that the underlying mechanisms involve the increase of invasiveness and cancer stem cell properties PMID: 22992948
- Weakened spindle checkpoint with reduced expression of Mad2 is associated with resistance to paclitaxel in ovarian cells. PMID: 21063845
- The germline transmission of exonic deletion of MAD2 is possibly associated with its loss of expression resulting in abnormal spindle assembly checkpoint function, subsequent aneuploidy and pregnancy loss. PMID: 22869558
- The Mad2 and the APC/C competed for Cdc20 in vitro, and a Cdc20 mutant that does not bind stably to Mad2 abrogated the SAC in vivo. PMID: 23007648
- The mitotic Checkpoint Complex is assembled by first forming a BUBR1:BUB3:CDC20 complex in G2 and then selectively incorporating MAD2 in the closed conformation during mitosis. PMID: 22037211
顯示更多
收起更多
-
亞細胞定位:Nucleus. Chromosome, centromere, kinetochore. Cytoplasm. Cytoplasm, cytoskeleton, spindle pole.
-
蛋白家族:MAD2 family
-
數據庫鏈接:
Most popular with customers
-
-
YWHAB Recombinant Monoclonal Antibody
Applications: ELISA, WB, IHC, IF, FC
Species Reactivity: Human, Mouse, Rat
-
-
-
-
-
-















