-
中文名稱:LYZ兔多克隆抗體
-
貨號:CSB-PA02769A0Rb
-
規格:¥440
-
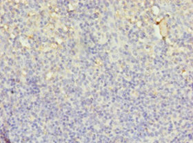
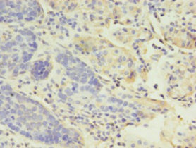
圖片:
-
其他:
產品詳情
-
產品名稱:Rabbit anti-Homo sapiens (Human) LYZ Polyclonal antibody
-
Uniprot No.:
-
基因名:LYZ
-
別名:1 4 beta N acetylmuramidase C antibody; 1 antibody; 4-beta-N-acetylmuramidase C antibody; EC 3.2.1.17 antibody; LYSC_HUMAN antibody; Lysosyme antibody; Lysozyme (renal amyloidosis) antibody; Lysozyme C antibody; Lysozyme C precursor antibody; LYZ antibody; LZM antibody; Renal amyloidosis antibody
-
宿主:Rabbit
-
反應種屬:Human
-
免疫原:Recombinant Human Lysozyme C protein (19-148AA)
-
免疫原種屬:Homo sapiens (Human)
-
標記方式:Non-conjugated
本頁面中的產品,LYZ Antibody (CSB-PA02769A0Rb),的標記方式是Non-conjugated。對于LYZ Antibody,我們還提供其他標記。見下表:
-
克隆類型:Polyclonal
-
抗體亞型:IgG
-
純化方式:>95%, Protein G purified
-
濃度:It differs from different batches. Please contact us to confirm it.
-
保存緩沖液:Preservative: 0.03% Proclin 300
Constituents: 50% Glycerol, 0.01M PBS, PH 7.4 -
產品提供形式:Liquid
-
應用范圍:ELISA, IHC
-
推薦稀釋比:
Application Recommended Dilution IHC 1:20-1:200 -
Protocols:
-
儲存條件:Upon receipt, store at -20°C or -80°C. Avoid repeated freeze.
-
貨期:Basically, we can dispatch the products out in 1-3 working days after receiving your orders. Delivery time maybe differs from different purchasing way or location, please kindly consult your local distributors for specific delivery time.
-
用途:For Research Use Only. Not for use in diagnostic or therapeutic procedures.
引用文獻
- Deficiency in intestinal epithelial O-\GlcNAcylation predisposes to gut inflammation Ming Zhao.et al,EMBO Molecular Medicine,2018
相關產品
靶點詳情
-
功能:Lysozymes have primarily a bacteriolytic function; those in tissues and body fluids are associated with the monocyte-macrophage system and enhance the activity of immunoagents.
-
基因功能參考文獻:
- The findings suggest that the F57I mutation affects the aggregation process of lysozyme resulting in the formation of cytotoxic species and that SAP is able to prevent cell death in the F57I flies by preventing accumulation of toxic F57I structures. PMID: 27428539
- the location of specific mutations is an important factor in determining the native-state dynamical properties of human lysozyme PMID: 27926837
- rhamnolipid (RL) secreted by Pseudomonas aeruginosa (PA) accelerates proteolysis of lysozyme. PMID: 27931094
- Data show increased levels of lysozyme C (LYZ), lacritin (LACRT) and zinc-alpha-2 glycoprotein 1 (AZGP1) in pooled tear fluid sample from Graves' disease (GD) patients with moderate-to-severe Graves' orbitopathy (GO) compared with GD patients without clinical signs of GO. PMID: 28419103
- lysozyme cannot be used as a marker of acinar differentiation in salivary tumors. However, lysozyme expression can be helpful to distinguish mammary analog secretory carcinoma from acinic cell carcinoma PMID: 27177644
- The preliminary results from the milk yield and milk compositions from a naturally lactating transgenic cloned cow 0906 were also tested. These results provide a solid foundation for the large-scale production of rhLZ in the future. PMID: 26961596
- The purpose of this study is to understand the oral mucosal immune status of cancer patients and to make clear whether antibacterial proteins such as salivary secretory immunoglobulin (SIgA) and lysozyme in saliva were influenced by patients' health status and certain medical treatment therapy. PMID: 27294141
- Data show that hen lysozyme aggregates faster than the human lysozyme. PMID: 27825804
- Data show that transgenic hens with stable expression of recombinant human lysozyme proteins can be created by microinjection of lentiviral vectors. PMID: 25706123
- The determination of the structure of a low-population intermediate in the product release process by human lysozyme, is reported. PMID: 25575179
- Accumulation of pathogenic lysozymes in the endoplasmic reticulum caused ER stress and the unfolded protein response mainly via the IRE1alpha pathway. PMID: 25659958
- Hereditary amyloidosis associated with the p.Trp82Arg lysozyme variant in this new family is predominantly associated with mild upper gastrointestinal tract involvement and in some cases with inflammatory bowel disease. PMID: 25217048
- Both mRNA and protein levels of lysozyme were significantly higher in patients with biofilm associated chronic rhinosinusitis (CRS) than those with CRS and no biofilm and controls. PMID: 24121782
- Lzm-S can deposit in the systemic vasculature and kidneys in SS, where this deposition could lead to acute organ dysfunction. PMID: 24296430
- Lysozyme functions as an antimicrobial peptide, with antibacterial activity. PMID: 16416029
- the protective action of lysozyme on the nephrotoxic effects of advanced glycation end products depend on ability to prevent the production and release of inflammatory mediators, such as IL-6 and to reduce macrophage recruitment in the inflammatory sites. PMID: 24495950
- Data suggest that the invariant loop of PliC (periplasmic inhibitor of c-type lysozyme) from Brucella abortus plays crucial role in inhibition of human c-type lysozyme via its insertion into the active site cleft of lysozyme. PMID: 24308818
- The purpose of this study was to evaluate the effect of chronic alcohol intoxication and smoking on the concentration and output of salivary lysozyme. PMID: 23264227
- When Lzm-S was located in close proximity to vascular smooth muscle cells, it could generate H(2)O(2) to produce lengthening in a human cell culture preparation. PMID: 22096116
- We observed that expressing the destabilized F57I and D67H lysozymes triggers unfolded protein response activation, resulting in degradation of these variants. PMID: 21965601
- increased production of the antibacterial enzyme lysozyme was found in collagenous colitis and lymphocytic colitis PMID: 21460390
- The degree of residual structure of lysozyme correlates with the ability of the protein to form amyloid fibrils. PMID: 21574221
- Lysozyme is up-regulated in Barrett's mucosa PMID: 21486364
- There was no difference in the concentration of lysozyme in children with dental caries than that in controls. PMID: 19563039
- Raised plasma lysozyme levels may be a useful biomarker of atherosclerotic cardiovascular disease and response to therapy. PMID: 20167661
- a residue at the N-terminal of lysozyme is required for hydrogen bond networks with ordered water molecules and stabilization of the protein. PMID: 10561612
- Local cooperativity in the unfolding of an amyloidogenic variant of human lysozyme PMID: 11887182
- Positive contribution of hydration structure on the surface of human lysozyme to the conformational stability. PMID: 11927576
- Streptococcal inhibitor of complement inhibits two additional components of the mucosal innate immune system: secretory leukocyte proteinase inhibitor and lysozyme. PMID: 12183536
- Detailed comparison between the 35 degree C and 4 degree C structures of lysozyme revealed for the first time that an active site lobe has a structural ability to obstruct the polysaccharide-binding cleft only by temperature lowering without a substrate. PMID: 12564923
- Structural and folding dynamic properties of human lysozyme T70N variant PMID: 12709420
- promyelocytic leukemia protein, but not Sp100, induced the accumulation of MEF in PML nuclear bodies and MEF and PML physically interacted, stimulating MEF transcriptional activity, resulting in the up-regulation of endogenous lysozyme expression. PMID: 14976184
- Hydrostatic pressure (3.5 kbar at 57 degrees C, pH 7.4) was used to make amyloidogenic states of WT & variant(Ile56Thr & Asp67His) lysozymes by inducing a conformational state of lysozyme that aggregates readily upon decompression. PMID: 15155566
- amyloidogenic variants, I56T and D67H, show a specific, partly unfolded intermediate state under physiologically relevant conditions PMID: 15713462
- the ensemble of reduced denatured conformers initially collapses into a large number of unstructured intermediates with one or two disulphide bonds, the majority of which then fold to form the native-like three-disulphide intermediate, des-[77-95] PMID: 16023673
- Data suggest that partial unfolding is an intrinsic property of the human lysozyme structure, and suggest that the readiness with which it occurs is a critical feature determining whether or not amyloid deposition occurs in vivo. PMID: 16126226
- A novel form of systemic ALys amyloidosis, caused by compound heterozygosity in exon 2 (p.T70N) and exon 4 (p.W112R) of the lysozyme gene (LYZ), with both mutations being present on the same allele. PMID: 16329101
- findings indicate that a complex interplay between reduced native-state stability, lower secretion levels, and protein aggregation propensity influences the types of mutation that give rise to familial forms of amyloid disease PMID: 16441658
- report a case of hepatic rupture secondary to hereditary lysozyme amyloidosis that was successfully treated by liver transplantation PMID: 16799949
- The distortion of the hydrophobic core at the alpha- and beta-interface putatively results in the formation of the initial "seed" for amyloid fibril. PMID: 17054380
- The structure of the synthetic human lysozyme was confirmed by high-resolution x-ray diffraction, giving the highest-resolution structure (1.04 A) observed to date for this enzyme. PMID: 17360367
- Clusterin, and perhaps other extracellular chaperones, could have a key role in curtailing the potentially pathogenic effects of the misfolding and aggregation of proteins that, like lysozyme, are secreted into the extracellular environment. PMID: 17407782
- Thus, we provide a novel strategy for engineering the active site of enzymes. PMID: 17524359
- The influence of mutant signal peptides on enzymatic activity of lysozyme at high pH or ionic strength were studied. PMID: 18029788
- short-duration, high-intensity exercise increases the secretion rate of salivary Lysozyme despite no change in the saliva flow rate. PMID: 18344136
- High salivary lysozyme levels are associated with the odds of hypertension. PMID: 18434581
- Lysozyme activity in crevicular fluid and in unstimulated saliva correlated with periodontal pocket depth in donors and in patients with gingivitis or periodontitis. PMID: 19179970
顯示更多
收起更多
-
相關疾病:Amyloidosis 8 (AMYL8)
-
亞細胞定位:Secreted.
-
蛋白家族:Glycosyl hydrolase 22 family
-
數據庫鏈接:
Most popular with customers
-
-
YWHAB Recombinant Monoclonal Antibody
Applications: ELISA, WB, IHC, IF, FC
Species Reactivity: Human, Mouse, Rat
-
Phospho-YAP1 (S127) Recombinant Monoclonal Antibody
Applications: ELISA, WB, IHC
Species Reactivity: Human
-
-
-
-
-















