LRRC15 Antibody
-
中文名稱:LRRC15兔多克隆抗體
-
貨號:CSB-PA191838
-
規格:¥1100
-
圖片:
-
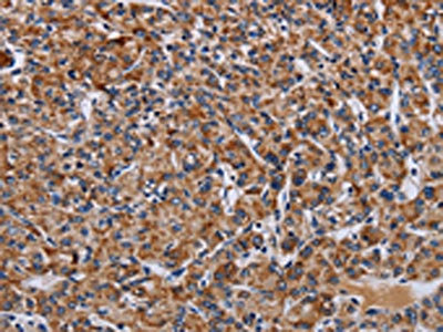
The image on the left is immunohistochemistry of paraffin-embedded Human prostate cancer tissue using CSB-PA191838(LRRC15 Antibody) at dilution 1/60, on the right is treated with fusion protein. (Original magnification: ×200)
-
The image on the left is immunohistochemistry of paraffin-embedded Human cervical cancer tissue using CSB-PA191838(LRRC15 Antibody) at dilution 1/60, on the right is treated with fusion protein. (Original magnification: ×200)
-
-
其他:
產品詳情
-
Uniprot No.:
-
基因名:
-
別名:hLib antibody; Leucine-rich repeat protein induced by beta-amyloid homolog antibody; Leucine-rich repeat-containing protein 15 antibody; LIB antibody; LRC15_HUMAN antibody; LRRC15 antibody
-
宿主:Rabbit
-
反應種屬:Human,Mouse,Rat
-
免疫原:Fusion protein of Human LRRC15
-
免疫原種屬:Homo sapiens (Human)
-
標記方式:Non-conjugated
-
抗體亞型:IgG
-
純化方式:Antigen affinity purification
-
濃度:It differs from different batches. Please contact us to confirm it.
-
保存緩沖液:-20°C, pH7.4 PBS, 0.05% NaN3, 40% Glycerol
-
產品提供形式:Liquid
-
應用范圍:ELISA,IHC
-
推薦稀釋比:
Application Recommended Dilution ELISA 1:2000-1:5000 IHC 1:50-1:200 -
Protocols:
-
儲存條件:Upon receipt, store at -20°C or -80°C. Avoid repeated freeze.
-
貨期:Basically, we can dispatch the products out in 1-3 working days after receiving your orders. Delivery time maybe differs from different purchasing way or location, please kindly consult your local distributors for specific delivery time.
-
用途:For Research Use Only. Not for use in diagnostic or therapeutic procedures.
相關產品
靶點詳情
-
基因功能參考文獻:
- LRRC15 expression is significantly upregulated in human masticatory mucosa during wound healing PMID: 28005267
- Lib may contribute to regulation of cell-matrix adhesion interactions with respect to astrocyte recruitment around senile plaques in Alzheimer's disease brain PMID: 16098915
- Tumor antigen LRRC15 impedes adenoviral infection: implications for virus-based cancer therapy are presented. PMID: 18385238
- LRRC15 is induced by EWS-WT1(+KTS) in the tumor DSRCT and may play a role in cellular invasion. PMID: 12923058
-
亞細胞定位:Membrane; Single-pass type I membrane protein.
-
組織特異性:Brain and placenta.
-
數據庫鏈接:
Most popular with customers
-
-
YWHAB Recombinant Monoclonal Antibody
Applications: ELISA, WB, IHC, IF, FC
Species Reactivity: Human, Mouse, Rat
-
-
-
-
-
-















