LRP12 Antibody
-
中文名稱:LRP12兔多克隆抗體
-
貨號:CSB-PA222144
-
規格:¥1100
-
圖片:
-
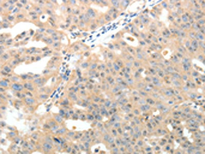
The image on the left is immunohistochemistry of paraffin-embedded Human ovarian cancer tissue using CSB-PA222144(LRP12 Antibody) at dilution 1/20, on the right is treated with fusion protein. (Original magnification: ×200)
-
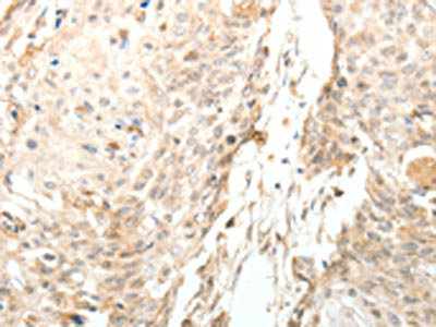
The image on the left is immunohistochemistry of paraffin-embedded Human cervical cancer tissue using CSB-PA222144(LRP12 Antibody) at dilution 1/20, on the right is treated with fusion protein. (Original magnification: ×200)
-
-
其他:
產品詳情
-
Uniprot No.:
-
基因名:LRP12
-
別名:AI848829 antibody; FLJ12929 antibody; Low density lipoprotein receptor related protein 12 antibody; Low-density lipoprotein receptor-related protein 12 antibody; LRP 12 antibody; LRP-12 antibody; LRP12 antibody; LRP12_HUMAN antibody; ST7 antibody; Suppressor of tumorigenicity 7 protein antibody
-
宿主:Rabbit
-
反應種屬:Human,Mouse
-
免疫原:Fusion protein of Human LRP12
-
免疫原種屬:Homo sapiens (Human)
-
標記方式:Non-conjugated
-
抗體亞型:IgG
-
純化方式:Antigen affinity purification
-
濃度:It differs from different batches. Please contact us to confirm it.
-
保存緩沖液:-20°C, pH7.4 PBS, 0.05% NaN3, 40% Glycerol
-
產品提供形式:Liquid
-
應用范圍:ELISA,IHC
-
推薦稀釋比:
Application Recommended Dilution ELISA 1:1000-1:5000 IHC 1:25-1:100 -
Protocols:
-
儲存條件:Upon receipt, store at -20°C or -80°C. Avoid repeated freeze.
-
貨期:Basically, we can dispatch the products out in 1-3 working days after receiving your orders. Delivery time maybe differs from different purchasing way or location, please kindly consult your local distributors for specific delivery time.
-
用途:For Research Use Only. Not for use in diagnostic or therapeutic procedures.
相關產品
靶點詳情
-
功能:Probable receptor, which may be involved in the internalization of lipophilic molecules and/or signal transduction. May act as a tumor suppressor.
-
基因功能參考文獻:
- LRP12 DNA methylation as a powerful predictive marker for carboplatin resistance. PMID: 30029672
- Accumulation of functional promoter-associated allelic variants with impact on the transcriptional regulation of LRP12 provides a new pathomechanism for GGs, i.e. highly differentiated epileptogenic brain tumors PMID: 27142828
- Results indicate that low-density lipoprotein receptor-related protein 12 silencing during brain development results in cortical dyslamination and seizure sensitization. PMID: 26639854
- As the preplate separates, Lrp12/Mig13a-positive neurons polarize in the radial plane and form a pseudocolumnar pattern, prior to moving to a deeper position within the emerging subplate layer. PMID: 20439316
- ST7 is a novel low-density lipoprotein receptor-related protein (LRP) with a cytoplasmic tail that interacts with proteins related to signal transduction pathways. PMID: 12809483
顯示更多
收起更多
-
亞細胞定位:Membrane; Single-pass type I membrane protein. Membrane, coated pit.
-
蛋白家族:LDLR family
-
組織特異性:Widely expressed in heart, skeletal muscle, brain, lung, placenta and pancreas, but not in tissues consisting of a large number of epithelial cells, such as liver and kidney. Expressed at very low levels in a number of tumor-derived cell lines.
-
數據庫鏈接:
Most popular with customers
-
YWHAB Recombinant Monoclonal Antibody
Applications: ELISA, WB, IHC, IF, FC
Species Reactivity: Human, Mouse, Rat
-
Phospho-YAP1 (S127) Recombinant Monoclonal Antibody
Applications: ELISA, WB, IHC
Species Reactivity: Human
-
-
-
-
-
-















