LLGL1 Antibody
-
中文名稱:LLGL1兔多克隆抗體
-
貨號:CSB-PA622993LA01HU
-
規格:¥440
-
圖片:
-
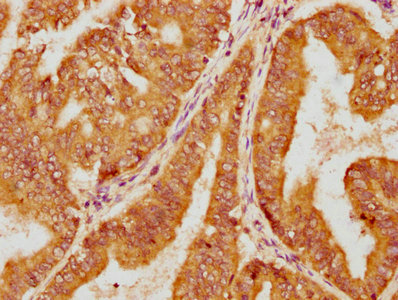
IHC image of CSB-PA622993LA01HU diluted at 1:100 and staining in paraffin-embedded human endometrial cancer performed on a Leica BondTM system. After dewaxing and hydration, antigen retrieval was mediated by high pressure in a citrate buffer (pH 6.0). Section was blocked with 10% normal goat serum 30min at RT. Then primary antibody (1% BSA) was incubated at 4°C overnight. The primary is detected by a biotinylated secondary antibody and visualized using an HRP conjugated SP system.
-
Immunofluorescence staining of A549 cells with CSB-PA622993LA01HU at 1:33, counter-stained with DAPI. The cells were fixed in 4% formaldehyde, permeabilized using 0.2% Triton X-100 and blocked in 10% normal Goat Serum. The cells were then incubated with the antibody overnight at 4°C. The secondary antibody was Alexa Fluor 488-congugated AffiniPure Goat Anti-Rabbit IgG(H+L).
-
-
其他:
產品詳情
-
產品名稱:Rabbit anti-Homo sapiens (Human) LLGL1 Polyclonal antibody
-
Uniprot No.:
-
基因名:
-
別名:DLG4 antibody; DLG4, formerly antibody; Hugl 1 antibody; HUGL antibody; Hugl-1 antibody; HUGL1 antibody; Human homolog to the D-lgl gene protein antibody; L2GL1_HUMAN antibody; Lethal giant larvae homolog 1 (Drosophila) antibody; Lethal giant larvae homolog 1 antibody; Lethal(2) giant larvae protein homolog 1 antibody; LLGL antibody; Llgl1 antibody; Ly 49G2 antibody; Ly49G2 antibody; Mgl1 antibody; Mlgl antibody
-
宿主:Rabbit
-
反應種屬:Human
-
免疫原:Recombinant Human Lethal (2) giant larvae protein homolog 1 protein (953-1056AA)
-
免疫原種屬:Homo sapiens (Human)
-
標記方式:Non-conjugated
本頁面中的產品,LLGL1 Antibody (CSB-PA622993LA01HU),的標記方式是Non-conjugated。對于LLGL1 Antibody,我們還提供其他標記。見下表:
-
克隆類型:Polyclonal
-
抗體亞型:IgG
-
純化方式:>95%, Protein G purified
-
濃度:It differs from different batches. Please contact us to confirm it.
-
保存緩沖液:Preservative: 0.03% Proclin 300
Constituents: 50% Glycerol, 0.01M PBS, pH 7.4 -
產品提供形式:Liquid
-
應用范圍:ELISA, IHC, IF
-
推薦稀釋比:
Application Recommended Dilution IHC 1:20-1:200 IF 1:20-1:200 -
Protocols:
-
儲存條件:Upon receipt, store at -20°C or -80°C. Avoid repeated freeze.
-
貨期:Basically, we can dispatch the products out in 1-3 working days after receiving your orders. Delivery time maybe differs from different purchasing way or location, please kindly consult your local distributors for specific delivery time.
-
用途:For Research Use Only. Not for use in diagnostic or therapeutic procedures.
相關產品
靶點詳情
-
功能:Cortical cytoskeleton protein found in a complex involved in maintaining cell polarity and epithelial integrity. Involved in the regulation of mitotic spindle orientation, proliferation, differentiation and tissue organization of neuroepithelial cells. Involved in axonogenesis through RAB10 activation thereby regulating vesicular membrane trafficking toward the axonal plasma membrane.
-
基因功能參考文獻:
- loss of Llgl1 results in EGFR mislocalization, promoting pre-neoplastic changes PMID: 27542214
- these results revealed that miR-652-3p execute a tumor-promoter function in non-small cell lung cancer through direct binding and regulating the expression of Lgl1 PMID: 26934648
- Older age is a strong predictor of CNS involvement in patients seropositive for CASPR2-IgG or LGI1-IgG. Pain, peripheral manifestations, and stereotypic paroxysmal dizziness spells are common with LGI1-IgG. PMID: 28628235
- Reduced expression of Hugl 1 predicts poor survival in lung SqCC patients. The expression of Hugl 1 was inversely correlated with both overall survival rate and tumor stage. PMID: 26662669
- Our results support the growing appreciation that the tumour regulatory functions of Scribble, and other polarity protein family members, are context dependent. PMID: 25982280
- this study provides the evidence that Hugl-1 inhibits glioma cell growth in intracranial model of nude mice, suggesting that Hugl-1 might be a potential tumor target for glioma therapy. PMID: 26341367
- Lgl1 has a role in inhibiting glioblastoma PMID: 25426552
- PTEN loss leads to the phosphorylation and inactivation of Lgl by atypical protein kinase C in glioblastoma cells. PMID: 23907540
- Suggest that Hugl-1 induces growth suppression and apoptosis in a human esophageal squamous cell carcinoma cell line both in vitro and in vivo. PMID: 23864775
- inactivation of Llgl1 enhances hematopoietic stem cells self-renewal and fitness and is associated with unfavorable outcome in human acute myeloid leukemia PMID: 23277453
- Preservation of HUGL-1 expression in pancreatic adenocarcinoma is a good prognostic factor that contributes to a better overall survival PMID: 22843887
- Hugl-1 can act as a tumour suppressor in Drosophila and thus is the functional homologue of lgl PMID: 15467749
- downregulation of Hugl-1 contributes to colorectal cancer progression PMID: 15735678
- loss of Hugl-1 expression contributes to melanoma progression PMID: 16170365
- aPKCzeta cortical loading is associated with Lgl cytoplasmic release and tumor growth in Drosophila and human epithelia PMID: 17369850
- loss of Hugl-1 expression in endometrial cancer may contribute to lymph node metastasis and it can be a factor of poor prognosis. PMID: 18074678
- Results provide the first evidence that Hugl-1 mRNA is frequently mutated by aberrant splicing exclusively in HCC, which may be involved in HCC progression. PMID: 19447873
顯示更多
收起更多
-
亞細胞定位:Early endosome membrane. Golgi apparatus, trans-Golgi network membrane. Golgi apparatus membrane. Cell projection, axon. Cytoplasm, cytoskeleton.
-
蛋白家族:WD repeat L(2)GL family
-
組織特異性:Expressed in brain, kidney, and muscle but is barely seen in heart and placenta. Down-regulated or lost in all cell lines and in most of the tumor samples analyzed. Loss was associated with advanced stage of the disease.
-
數據庫鏈接:
Most popular with customers
-
-
YWHAB Recombinant Monoclonal Antibody
Applications: ELISA, WB, IHC, IF, FC
Species Reactivity: Human, Mouse, Rat
-
Phospho-YAP1 (S127) Recombinant Monoclonal Antibody
Applications: ELISA, WB, IHC
Species Reactivity: Human
-
-
-
-
-















