LIPC Antibody
-
中文名稱:LIPC兔多克隆抗體
-
貨號:CSB-PA012974LA01HU
-
規格:¥440
-
圖片:
-
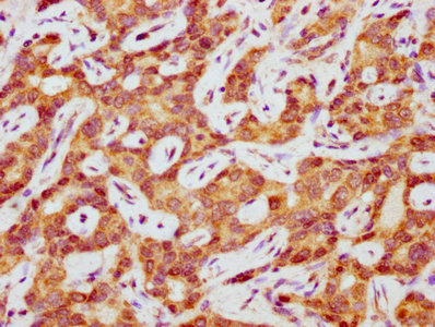
IHC image of CSB-PA012974LA01HU diluted at 1:400 and staining in paraffin-embedded human liver cancer performed on a Leica BondTM system. After dewaxing and hydration, antigen retrieval was mediated by high pressure in a citrate buffer (pH 6.0). Section was blocked with 10% normal goat serum 30min at RT. Then primary antibody (1% BSA) was incubated at 4°C overnight. The primary is detected by a biotinylated secondary antibody and visualized using an HRP conjugated SP system.
-
-
其他:
產品詳情
-
產品名稱:Rabbit anti-Homo sapiens (Human) LIPC Polyclonal antibody
-
Uniprot No.:
-
基因名:
-
別名:LIPC antibody; HTGL antibody; Hepatic triacylglycerol lipase antibody; HL antibody; Hepatic lipase antibody; EC 3.1.1.3 antibody; Lipase member C antibody
-
宿主:Rabbit
-
反應種屬:Human
-
免疫原:Recombinant Human Hepatic triacylglycerol lipase protein (23-217AA)
-
免疫原種屬:Homo sapiens (Human)
-
標記方式:Non-conjugated
本頁面中的產品,LIPC Antibody (CSB-PA012974LA01HU),的標記方式是Non-conjugated。對于LIPC Antibody,我們還提供其他標記。見下表:
-
克隆類型:Polyclonal
-
抗體亞型:IgG
-
純化方式:>95%, Protein G purified
-
濃度:It differs from different batches. Please contact us to confirm it.
-
保存緩沖液:Preservative: 0.03% Proclin 300
Constituents: 50% Glycerol, 0.01M PBS, pH 7.4 -
產品提供形式:Liquid
-
應用范圍:ELISA, IHC
-
推薦稀釋比:
Application Recommended Dilution IHC 1:200-1:500 -
Protocols:
-
儲存條件:Upon receipt, store at -20°C or -80°C. Avoid repeated freeze.
-
貨期:Basically, we can dispatch the products out in 1-3 working days after receiving your orders. Delivery time maybe differs from different purchasing way or location, please kindly consult your local distributors for specific delivery time.
-
用途:For Research Use Only. Not for use in diagnostic or therapeutic procedures.
相關產品
靶點詳情
-
功能:Catalyzes the hydrolysis of triglycerides and phospholipids present in circulating plasma lipoproteins, including chylomicrons, intermediate density lipoproteins (IDL), low density lipoproteins (LDL) of large size and high density lipoproteins (HDL), releasing free fatty acids (FFA) and smaller lipoprotein particles. Also exhibits lysophospholipase activity. Can hydrolyze both neutral lipid and phospholipid substrates but shows a greater binding affinity for neutral lipid substrates than phospholipid substrates. In native LDL, preferentially hydrolyzes the phosphatidylcholine species containing polyunsaturated fatty acids at sn-2 position.
-
基因功能參考文獻:
- The downregulation of LIPC in the HepG2 cells was associated with the decreased expression of CD133, decreased cell proliferation and colony formation, as well as increased resistance to chemotherapy. PMID: 30015857
- APOB polymorphism rs679899 is associated with type 2 diabetes and glutamyl transpeptidase levels, while the LIPC polymorphism rs6083 may influence plasma lipid levels in Chinese Han population. PMID: 29883758
- The expression of hHL promoted hepatic triglyceride accumulation and de novo lipogenesis without affecting triglyceride secretion, and this was associated with an upregulation of Srebf1 as well as the main genes controlling the synthesis of fatty acids. Transgenic mice also exhibited more adiposity and an increased LPL-mediated FFA influx into the WAT without affecting glucose tolerance PMID: 29244870
- LPL is important for the maturation of small discoidal HDL particles into large spherical HDL particles, while HL is important for HDL remodeling of very large HDL particles into intermediate-size HDL particles, as shown in lipoprotein lipase and hepatic lipase deficiency PMID: 27573733
- The expression level of LIPC, SLC16A8, and TIMP-3 was significantly associated with age-related macular degeneration pathology. PMID: 27966779
- Hepatic lipase activity increases after levothyroxine therapy in subclincal hypothyroidism and can be interpreted as a possible explanation for the decrease in remnant-like lipoprotein cholesterol. PMID: 26839156
- The hepatic lipase (LIPC) rs10468017 variant was associated with a significantly decreased risk of AMD PMID: 26503844
- polymorphisms in HL protect HIV-infected patients from developing atherogenic dyslipidemia in a dose-dependent manner PMID: 26101956
- the association between LIPC C-514T polymorphism, obesity and plasma lipid profile in Chinese children and adolescents, is reported. PMID: 26282880
- results show that SM is a physiological inhibitor of HL activity in lipoproteins and that the specificity of the enzyme towards HDL is at least partly due to its low SM content. PMID: 26193433
- The role of hepatic triglyceride lipase in remnant lipoprotein metabolism. PMID: 25239670
- Dietary fat intake significantly modified the LIPC genetic effect on changes in serum triglyceride, LDL cholesterol, and HDL cholesterol concentrations during a 2-y randomized weight-loss intervention trial. PMID: 25926410
- Hepatic lipase C-514T gene polymorphism is associated with cardiometabolic parameters and cardiovascular risk factors but not with fatty liver PMID: 25550127
- there was no strong evidence to support an association between LIPC and HDCP in Han Chinese women. However, LIPC variants were associated with BMI, SBP, and lipid profiles in patients. PMID: 25117371
- The present study suggested that the LIPC-514 C/T polymorphism of the HL gene has no significant association with the risk of endometriosis in the studied Iranian women. PMID: 24124978
- Our meta-analysis indicates that LIPC rs10468017 variant is associated with a reduced risk of advanced age-related macular degeneration. PMID: 25010633
- The findings suggest that LIPC and LPL genes could both modify the risk for AMD and the metabolism of lutein and zeaxanthin. PMID: 24223199
- Results indicate the spatial consensus catalytic triad "Ser-Asp-His", a characteristic motif in lipoprotein lipase, hepatic lipase, and endothelial lipase. PMID: 23991054
- HL activity, as TG-hydrolase, was increased in metabolic syndrome and obesity; directly correlated with low-density lipoprotein-cholesterol and apolipoprotein B and negatively with high-density lipoprotein-cholesterol in controls. PMID: 24458708
- The -514T LIPC allele is associated with CAD under normotriglyceridemic conditions and constitutes an independent determinant of pejorative ABI in coronary patients. PMID: 23874450
- Some patients with homozygous c.736T>A can have a mild hypotrichosis phenotype with long hairs in adulthood PMID: 22449147
- study extends the spectrum of mutations in LPAR6/P2RY5 gene and underscores those mutations in LPAR6/P2RY5 and LIPH result in similar phenotypes PMID: 22385360
- Patients who are carrying of the -250A allele in the promoter of the LIPC gene are susceptible to type 2 diabetes mellitus in Chinese Han population. PMID: 23351562
- Low intralesional expression of LIPC correlates with prolonged post-operative cisplatin-mediated survival. PMID: 23343765
- this preliminary study showed that the gene variants of ABCA1R219K and LIPC-250 G/A might influence AD susceptibility in South Chinese Han population, but the polymorphism of CETPTaq1B didn't show any association PMID: 23181436
- The LIPC (hepatic lipase) promoter variants were associated with advanced macular degenration, confirming that LIPC polymorphisms may be a genetic risk factor for advanced age-related macular degeneration in the Caucasian population. PMID: 23348725
- The high carbohydrate diet induces the beneficial effect of the CC genotype of hepatic lipase rs1800588 polymorphism on the apoB100/apoAI ratio only in the males in a young and healthy Chinese cohort. PMID: 22935046
- The decreased apoB100/apoAI ratio is associated with the A allele of hepatic lipase G-250A polymorphism only in young Chinese males. PMID: 23457133
- Hepatic lipase plays an important role in determining the size and density of LDL and HDL particles. [Review] PMID: 21986251
- Papillomavirus DNA integration is associated with loss of LIPC gene and thus cervical carcinogenesis. PMID: 22262398
- Common and rare genetic variants in CETP and LIPC, but not LIPG, were more commonly found in the Thai HALP group, which could potentially contribute to high high-density lipoprotein cholesterol phenotypes in this population. PMID: 22464213
- Single-nucleotide polymorphism in lipase is associated with colorectal cancer. PMID: 22294764
- the LIPC -514C>T variant significantly affects training-induced anti-atherogenic changes in VLDL-TG, VLDL particles, and HDL through an association with increased LPL activity in CC subjects PMID: 21960661
- Avascular necrosis of femoral head is not associated with rs59644784 and rs1800588 SNPs. PMID: 21261091
- presence of the B1B1 Taq1B CETP genotype contributes to the presence of diabetes, independently of age, sex, BMI and waist. However, among carriers of B1B1, the presence of GG genotype of the -250 LIPC polymorphism increases this risk further PMID: 22073289
- The variation in lipid profile associated with the C-514T in hepatic lipase polymorphism is significant, and the T allele is associated with the best response to estrogen replacement therapy PMID: 22047520
- Data show a novel pathway involving HL hydrolysis of VLDL that activates PPARdelta through generation of specific monounsaturated fatty acids. PMID: 21750705
- Suggest that smaller LDL size, which is associated with higher levels of triglycerides and CETP and the hepatic lipase CC genotype, may serve as a risk factor for coronary artery disease in hemodialysis patients. PMID: 21352420
- CETP and LIPC polymorphisms influence the respective hepatic transcript levels, demonstrate interactions on HDL cholesterol and suggest that imbalances between CETP and LIPC activities may modulate the risk of carotid atherosclerosis PMID: 21371711
- Polymorphisms in APOA5 (-1131T > C, S19W), PPARgamma (Pro12Ala) and hepatic lipase (-514C > T) were studied in 1492 subjects from the New Delhi Birth Cohort (NDBC). PMID: 21548985
- Genotyping of 25 single nucleotide polymorphisms covering the complete LIPC gene and haplotypic analysis reveal no association of LIPC with Alzheimer's disease. PMID: 19155102
- LIPC and ABCA1 are related to intermediate and large drusen, as well as advanced age related macular degeneration PMID: 21447678
- The effects of common variants in the LPL, LIPC, and CETP genes on HDL-C levels are modified by physical activity. PMID: 21252145
- HL expression in McA-RH7777 cells result in secretion of [(3)H]TAG-poor VLD PMID: 21189265
- These results demonstrated that fatty acid synthase and hepatic lipase might be FXR-regulated genes in liver cells. PMID: 20373033
- LIPC is associated with reduced risk of advanced age-related macular degeneration. PMID: 21139980
- relationship between plasma angiopoietin-like protein 3 (ANGPTL3), and lipoprotein lipase (LPL) activity and hepatic triglyceride lipase PMID: 20595410
- Report significant interactions between the hepatic lipase -514 C/T promoter polymorphism, hypercholesterolemia, waist circumference and risk of myocardial infarction. PMID: 19695855
- genetic association studies in Iranian population: carriers of T allele in -514C/T polymorphism (an SNP in the promoter region) in LIPC gene have higher HDL-cholesterol than noncarriers PMID: 20822508
- The HDL-raising allele of the LIPC gene (T) was associated with a reduced risk of AMD (age-related macular degeneration). PMID: 20888482
顯示更多
收起更多
-
相關疾病:Hepatic lipase deficiency (HL deficiency)
-
亞細胞定位:Secreted.
-
蛋白家族:AB hydrolase superfamily, Lipase family
-
數據庫鏈接:
Most popular with customers
-
YWHAB Recombinant Monoclonal Antibody
Applications: ELISA, WB, IHC, IF, FC
Species Reactivity: Human, Mouse, Rat
-
Phospho-YAP1 (S127) Recombinant Monoclonal Antibody
Applications: ELISA, WB, IHC
Species Reactivity: Human
-
-
-
-
-
-















