LGI4 Antibody
-
中文名稱:LGI4兔多克隆抗體
-
貨號:CSB-PA818678LA01HU
-
規格:¥440
-
圖片:
-
IHC image of CSB-PA818678LA01HU diluted at 1:200 and staining in paraffin-embedded human lung cancer performed on a Leica BondTM system. After dewaxing and hydration, antigen retrieval was mediated by high pressure in a citrate buffer (pH 6.0). Section was blocked with 10% normal goat serum 30min at RT. Then primary antibody (1% BSA) was incubated at 4°C overnight. The primary is detected by a biotinylated secondary antibody and visualized using an HRP conjugated SP system.
-
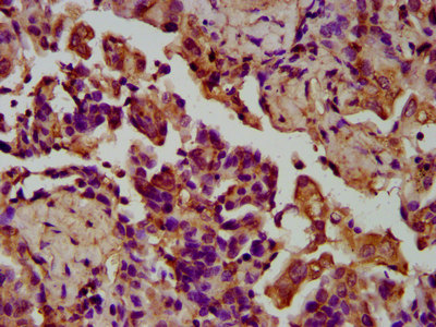
IHC image of CSB-PA818678LA01HU diluted at 1:200 and staining in paraffin-embedded human liver cancer performed on a Leica BondTM system. After dewaxing and hydration, antigen retrieval was mediated by high pressure in a citrate buffer (pH 6.0). Section was blocked with 10% normal goat serum 30min at RT. Then primary antibody (1% BSA) was incubated at 4°C overnight. The primary is detected by a biotinylated secondary antibody and visualized using an HRP conjugated SP system.
-
-
其他:
產品詳情
-
產品名稱:Rabbit anti-Homo sapiens (Human) LGI4 Polyclonal antibody
-
Uniprot No.:
-
基因名:LGI4
-
別名:Leucine rich glioma inactivated gene 4 antibody; Leucine rich glioma inactivated protein 4 antibody; Leucine rich repeat LGI family member 4 antibody; Leucine-rich glioma-inactivated protein 4 antibody; Leucine-rich repeat LGI family member 4 antibody; LGI1 like protein 3 antibody; LGI1-like protein 3 antibody; LGI4 antibody; Lgi4 protein antibody; LGI4_HUMAN antibody; Lgil3 antibody
-
宿主:Rabbit
-
反應種屬:Human
-
免疫原:Recombinant Human Leucine-rich repeat LGI family member 4 protein (292-412AA)
-
免疫原種屬:Homo sapiens (Human)
-
標記方式:Non-conjugated
本頁面中的產品,LGI4 Antibody (CSB-PA818678LA01HU),的標記方式是Non-conjugated。對于LGI4 Antibody,我們還提供其他標記。見下表:
-
克隆類型:Polyclonal
-
抗體亞型:IgG
-
純化方式:>95%, Protein G purified
-
濃度:It differs from different batches. Please contact us to confirm it.
-
保存緩沖液:Preservative: 0.03% Proclin 300
Constituents: 50% Glycerol, 0.01M PBS, pH 7.4 -
產品提供形式:Liquid
-
應用范圍:ELISA, IHC
-
推薦稀釋比:
Application Recommended Dilution IHC 1:200-1:500 -
Protocols:
-
儲存條件:Upon receipt, store at -20°C or -80°C. Avoid repeated freeze.
-
貨期:Basically, we can dispatch the products out in 1-3 working days after receiving your orders. Delivery time maybe differs from different purchasing way or location, please kindly consult your local distributors for specific delivery time.
-
用途:For Research Use Only. Not for use in diagnostic or therapeutic procedures.
相關產品
靶點詳情
-
功能:Component of Schwann cell signaling pathway(s) that controls axon segregation and myelin formation.
-
基因功能參考文獻:
- in four unrelated multiplex families presenting with severe arthrogryposis multiplex congenital, identified biallelic loss-of-function mutations in LGI4; functional tests showed these germline mutations caused aberrant splicing of the endogenous LGI4 transcript and in a cell-based assay impaired the secretion of truncated LGI4 protein PMID: 28318499
- Intratumoral heterogeneity of ADAM23 promotes tumor growth and metastasis through LGI4 and nitric oxide signals. PMID: 24662834
- The positive genotypic association between benign familial infantile convulsions (BFIC)and c.1722G/A polymorphism suggests that LGI4 might contribute to the susceptibility to BFIC. PMID: 19815358
- Schwann cells are the principal cellular source of Lgi4 in the developing nerve; transgenic Lgi4 binds directly to Adam22 without a requirement for additional membrane associated factors. PMID: 20220021
- Screening of the LGI4 coding region in BFIC and childhood absence epilepsy (CAE) revealed several frequent exonic polymorphisms. PMID: 14505228
顯示更多
收起更多
-
相關疾病:Arthrogryposis multiplex congenita, neurogenic, with myelin defect (AMCNMY)
-
亞細胞定位:Secreted.
-
組織特異性:Widely expressed, with highest expression in brain.
-
數據庫鏈接:
Most popular with customers
-
-
YWHAB Recombinant Monoclonal Antibody
Applications: ELISA, WB, IHC, IF, FC
Species Reactivity: Human, Mouse, Rat
-
-
-
-
-
-















