LGALS2 Antibody
-
中文名稱:LGALS2兔多克隆抗體
-
貨號:CSB-PA211824
-
規格:¥1100
-
圖片:
-
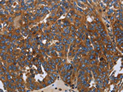
The image on the left is immunohistochemistry of paraffin-embedded Human ovarian cancer tissue using CSB-PA211824(LGALS2 Antibody) at dilution 1/30, on the right is treated with fusion protein. (Original magnification: ×200)
-
The image on the left is immunohistochemistry of paraffin-embedded Human thyroid cancer tissue using CSB-PA211824(LGALS2 Antibody) at dilution 1/30, on the right is treated with fusion protein. (Original magnification: ×200)
-
Gel: 12%SDS-PAGE, Lysate: 40 μg, Lane: Mouse small intestines tissue, Primary antibody: CSB-PA211824(LGALS2 Antibody) at dilution 1/300, Secondary antibody: Goat anti rabbit IgG at 1/8000 dilution, Exposure time: 5 minutes
-
-
其他:
產品詳情
-
Uniprot No.:
-
基因名:LGALS2
-
別名:Beta galactoside binding lectin L14 II antibody; Beta-galactoside-binding lectin L-14-II antibody; CBP35 antibody; Gal-2 antibody; GAL3 antibody; GALBP antibody; Galectin 2 antibody; Galectin-2 antibody; GALIG antibody; HL14 antibody; Lactose binding lectin 2 antibody; Lactose-binding lectin 2 antibody; LEG2_HUMAN antibody; LGALS2 antibody; MAC2 antibody; S Lac lectin 2 antibody; S-Lac lectin 2 antibody
-
宿主:Rabbit
-
反應種屬:Human,Mouse
-
免疫原:Fusion protein of Human LGALS2
-
免疫原種屬:Homo sapiens (Human)
-
標記方式:Non-conjugated
-
抗體亞型:IgG
-
純化方式:Antigen affinity purification
-
濃度:It differs from different batches. Please contact us to confirm it.
-
保存緩沖液:-20°C, pH7.4 PBS, 0.05% NaN3, 40% Glycerol
-
產品提供形式:Liquid
-
應用范圍:ELISA,WB,IHC
-
推薦稀釋比:
Application Recommended Dilution ELISA 1:2000-1:5000 WB 1:200-1:1000 IHC 1:50-1:200 -
Protocols:
-
儲存條件:Upon receipt, store at -20°C or -80°C. Avoid repeated freeze.
-
貨期:Basically, we can dispatch the products out in 1-3 working days after receiving your orders. Delivery time maybe differs from different purchasing way or location, please kindly consult your local distributors for specific delivery time.
-
用途:For Research Use Only. Not for use in diagnostic or therapeutic procedures.
相關產品
靶點詳情
-
功能:This protein binds beta-galactoside. Its physiological function is not yet known.
-
基因功能參考文獻:
- Study observed decreased methylation at the DHCR24 locus in offspring of women with active pregnancy eating disorders (ED) and increased methylation at the LGALS2 locus in offspring of women with past ED compared to controls. PMID: 29093763
- Data show that lactose binding to galectin-2 (Gal-2) stabilizes the lectin's conformation. PMID: 27563008
- Gal-3 was significantly downregulated only in the extravillous trophoblast of intrauterine growth restriction ( IUGR) placentas. In contrast, expressions of gal-2 and gal-13 were downregulated in both villous and extravillous trophoblast cells of IUGR placentas. PMID: 27070577
- Galectin-2 binding to different circulating human monocyte subsets depends on monocyte surface expression levels of CD14. It skews human macrophages to a M1-like proinflammatory phenotype. PMID: 25884209
- PPARG rs1152002, AGTR1 rs5186, CXCL16 rs3744700 and LGALS2 rs7291467 polymorphisms may be closely related to the development of coronary heart disease PMID: 26045830
- Lower LGALS2 gene expression is associated with acute myeloid leukemia. PMID: 25953264
- Data suggest that expression of galectin 2 and galectin 2 mRNA is down-regulated in placental extravillous trophoblast and decidua in women with pre-eclampsia as compared to women with normal term pregnancy. PMID: 25707742
- The increased circulation of galectins -2, -4 and -8 in cancer patients contributes substantially to the increased circulation of G-CSF, IL-6 and MCP-1 by interaction with the blood vascular endothelium PMID: 24384681
- Cys57Met (single-site) mutant and its monoPEGylated derivative can markedly reduce binding of galectin-2 to physiological binding sites PMID: 23581621
- results identify galectin-2 as a novel inhibitor of arteriogenesis and its modulation may constitute a new therapeutic strategy for the stimulation of arteriogenesis in patients with coronary artery disease. PMID: 21831908
- LTA and LGALS2 polymorphisms affect the subclinical phenotype of the coronary artery, which predisposes to the incidence of myocardial infarction. PMID: 22310064
- low expression of galectin-2 was significantly associated with lymph node metastasis and advanced clinical stage in patients with gastric cancer PMID: 22015694
- These results suggested differences in the inflammatory response to malaria in children and adults with polymorphisms of the galectin-2 gene. PMID: 20500087
- the LTA gene and LGALS2-C3279T are not associated with coronary artery disease PMID: 19726041
- Our case-control association study in a Japanese population showed that a single nucleotide polymorphism in LGALS2 encoding galectin-2 is significantly associated with susceptibility to myocardial infarction PMID: 15129282
- This study classifies galectin-2 as proapoptotic effector for activated T cells, raising a therapeutic perspective. PMID: 15356130
- Fasting plasma glucose and serum insulin were statistically significantly associated with LGALS2 PMID: 16468038
- Galectin 2 induces surface phosphatidylserine exposure in a carbohydrate-dependent fashion in activated, but not resting, human neutrophils and in several leukocyte cell lines. PMID: 16940423
- no significant association of allele frequency with risk of myocardial infarction PMID: 17098239
- polymorphism of LGALS2 was not associated with the severity of coronary atherosclerosis in Japanese and Korean populations PMID: 17493152
- Data show that galectin-2 SNPs are not associated with myocardial infarction in two different German populations. PMID: 17497114
- Galectin-2 was present in nuclei of Geneti-cally engineered human colon carcinoma cells with stable ectopic expression. PMID: 17999373
- Data show that genotypes for the 3279C-->T polymorphism (rs7291467) of LGALS2 was associated (P<0.05) with the prevalence of atherothrombotic cerebral infarction. PMID: 18506375
- Galectin-2 (LGALS2) 3279C/T polymorphism may be independently associated with diastolic blood pressure in patients with rheumatoid arthritis. PMID: 19330599
- Galectin-2 is strongly expressed in inflammatory skin of autoimmune-prone transgenic mice, indicating that galectin-2 is up-regulated upon experimental cutaneous inflammation. PMID: 19380789
顯示更多
收起更多
-
數據庫鏈接:
Most popular with customers
-
-
YWHAB Recombinant Monoclonal Antibody
Applications: ELISA, WB, IHC, IF, FC
Species Reactivity: Human, Mouse, Rat
-
Phospho-YAP1 (S127) Recombinant Monoclonal Antibody
Applications: ELISA, WB, IHC
Species Reactivity: Human
-
-
-
-
-















