LETM1 Antibody
-
中文名稱:LETM1兔多克隆抗體
-
貨號:CSB-PA012877LA01HU
-
規格:¥440
-
圖片:
-
Western Blot
Positive WB detected in: Hela whole cell lysate, MCF-7 whole cell lysate, 293 whole cell lysate, HepG2 whole cell lysate, Jurkat whole cell lysate, Mouse heart tissue
All lanes: LETM1 antibody at 6.5µg/ml
Secondary
Goat polyclonal to rabbit IgG at 1/50000 dilution
Predicted band size: 84, 30, 34 kDa
Observed band size: 84 kDa -
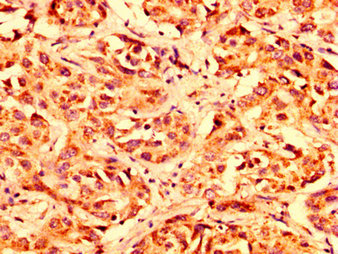
IHC image of CSB-PA012877LA01HU diluted at 1:300 and staining in paraffin-embedded human liver cancer performed on a Leica BondTM system. After dewaxing and hydration, antigen retrieval was mediated by high pressure in a citrate buffer (pH 6.0). Section was blocked with 10% normal goat serum 30min at RT. Then primary antibody (1% BSA) was incubated at 4°C overnight. The primary is detected by a biotinylated secondary antibody and visualized using an HRP conjugated SP system.
-
Immunofluorescence staining of Hela cells with CSB-PA012877LA01HU at 1:100, counter-stained with DAPI. The cells were fixed in 4% formaldehyde, permeabilized using 0.2% Triton X-100 and blocked in 10% normal Goat Serum. The cells were then incubated with the antibody overnight at 4°C. The secondary antibody was Alexa Fluor 488-congugated AffiniPure Goat Anti-Rabbit IgG(H+L).
-
-
其他:
產品詳情
-
產品名稱:Rabbit anti-Homo sapiens (Human) LETM1 Polyclonal antibody
-
Uniprot No.:
-
基因名:LETM1
-
別名:LETM1; Mitochondrial proton/calcium exchanger protein; Leucine zipper-EF-hand-containing transmembrane protein 1
-
宿主:Rabbit
-
反應種屬:Human, Mouse
-
免疫原:Recombinant Human Mitochondrial proton/calcium exchanger protein (443-543AA)
-
免疫原種屬:Homo sapiens (Human)
-
標記方式:Non-conjugated
本頁面中的產品,LETM1 Antibody (CSB-PA012877LA01HU),的標記方式是Non-conjugated。對于LETM1 Antibody,我們還提供其他標記。見下表:
-
克隆類型:Polyclonal
-
抗體亞型:IgG
-
純化方式:>95%, Protein G purified
-
濃度:It differs from different batches. Please contact us to confirm it.
-
保存緩沖液:Preservative: 0.03% Proclin 300
Constituents: 50% Glycerol, 0.01M PBS, pH 7.4 -
產品提供形式:Liquid
-
應用范圍:ELISA, WB, IHC, IF
-
推薦稀釋比:
Application Recommended Dilution WB 1:500-1:5000 IHC 1:200-1:500 IF 1:50-1:200 -
Protocols:
-
儲存條件:Upon receipt, store at -20°C or -80°C. Avoid repeated freeze.
-
貨期:Basically, we can dispatch the products out in 1-3 working days after receiving your orders. Delivery time maybe differs from different purchasing way or location, please kindly consult your local distributors for specific delivery time.
-
用途:For Research Use Only. Not for use in diagnostic or therapeutic procedures.
相關產品
靶點詳情
-
功能:Mitochondrial proton/calcium antiporter that mediates proton-dependent calcium efflux from mitochondrion. Crucial for the maintenance of mitochondrial tubular networks and for the assembly of the supercomplexes of the respiratory chain. Required for the maintenance of the tubular shape and cristae organization. In contrast to SLC8B1/NCLX, does not constitute the major factor for mitochondrial calcium extrusion.
-
基因功能參考文獻:
- these results revealed that the knockdown of LETM1 exhibited tumor suppressive effects, possibly by controlling the downstream Wnt/beta-catenin signaling pathway. PMID: 29048663
- Data indicate a positive association between LETM1 up-regulation, YAP1 nuclear localization and high PDGFB expression. PMID: 27556512
- LETM1 plays an important role in the progression of breast cancer PMID: 26722481
- LETM1 protein overexpression is associated with Triple negative breast cancer progression, and may be a potential biomarker for poor prognostic evaluation of Triple negative breast cancer. PMID: 25617527
- LETM1 plays an important role in the progression of head and neck squamous cell carcinoma. PMID: 24689060
- Letm1 expression is decreased in patients with intractable TLE and a rat model of epilepsy. Down-regulation of Letm1 leads to increases mitochondrial swelling and decreased MT-CYB expression, which is associated with susceptibility to seizures. PMID: 23645710
- Reconstitution of LETM1 or antioxidant overexpression rescued mitochondrial Ca(2+) transport and bioenergetics PMID: 25077561
- These findings identify novel cellular phenotypes in Wolf-Hirschhorn syndrome attributable to a 50% reduction in LETM1 expression level. PMID: 24626991
- Haploinsufficiency of WHSC1 and/or LETM1 contributes to Wolf-Hirschhorn Syndrome, but that loss of distinct and/or additional genes in 4p16.3 is necessary for the expression of the core Wolf-Hirschhorn Syndrome phenotype. PMID: 23963300
- NCLX, but not LETM1, mediates Ca(2+) extrusion from mitochondria. By controlling the duration of matrix Ca(2+) elevations, NCLX contributes to the regulation of NAD(P)H production and to the conversion of Ca(2+) signals into redox changes. PMID: 24898248
- Functional properties of Letm1 described in study are remarkably similar to those of the H(+)-dependent Ca(2+) transport mechanism identified in intact mitochondria. PMID: 24344246
- Data indicate that loss of Letm1 contributes to the pathology of Wolf-Hirschhorn syndrome and may contribute to seizure phenotypes by reducing glucose oxidation and other specific metabolic alterations. PMID: 23716663
- Summarizes the current state of the art about the functions of LETM1 and its role in pathophysiology, with some emphasis on whether it is a feasible candidate for regulation of mitochondrial Ca2+ homeostasis. PMID: 22641639
- Letm1 and UCP2/3 independently contribute to two distinct, mitochondrial Ca(2+) uptake pathways in intact endothelial cells. PMID: 21613221
- we have identified a novel submicroscopic duplication involving dosage sensitive genes TACC3, FGFR3, and LETM1. PMID: 21815251
- LETM1 suppressed lung cancer cell growth in vitro and in vivo. PMID: 20824095
- LETM1 is evolutionarily conserved throughout the eukaryotic kingdom and located in the mitochondria. PMID: 14706454
- Here, we present cellular and biochemical analysis of Letm1 PMID: 17606466
- Study shows that human LETM1 is located in the inner membrane, exposed to the matrix and oligomerized in higher molecular weight complexes of unknown composition; down-regulation of LETM1 caused 'necrosis-like' death, without activation of caspases. PMID: 17925330
- the LETM1-mediated regulation of the mitochondrial volume and its interaction with the mitochondrial AAA-ATPase BCS1L that is responsible for three different human disorders PMID: 18628306
- LETM1 protein is a novel binding partner for Carboxyl-terminal modulator protein that may play an important role in mitochondrial fragmentation via optic atrophy type 1-cleavage. PMID: 19168126
- Data suggest that LETM1 serves as an anchor protein for complex formation with the mitochondrial ribosome and regulates mitochondrial biogenesis. Increased expression of LETM1 in human cancer suggests that dysregulation of LETM1 features in tumorigenesis. PMID: 19318571
- Letm1, was found to specifically mediate coupled Ca2+/H+ exchange; RNAi knockdown, overexpression, and liposome reconstitution of the purified Letm1 protein demonstrate that Letm1 is a mitochondrial Ca2+/H+ antiporter PMID: 19797662
顯示更多
收起更多
-
亞細胞定位:Mitochondrion inner membrane; Single-pass membrane protein.
-
蛋白家族:LETM1 family
-
數據庫鏈接:
Most popular with customers
-
-
YWHAB Recombinant Monoclonal Antibody
Applications: ELISA, WB, IHC, IF, FC
Species Reactivity: Human, Mouse, Rat
-
Phospho-YAP1 (S127) Recombinant Monoclonal Antibody
Applications: ELISA, WB, IHC
Species Reactivity: Human
-
-
-
-
-
VDAC1 Recombinant Monoclonal Antibody
Applications: ELISA, WB, IHC
Species Reactivity: Human, Mouse, Rat















