LEPREL2 Antibody
-
中文名稱:LEPREL2兔多克隆抗體
-
貨號:CSB-PA075987
-
規格:¥1100
-
圖片:
-
The image on the left is immunohistochemistry of paraffin-embedded Human rectal cancer tissue using CSB-PA075987(LEPREL2 Antibody) at dilution 1/50, on the right is treated with fusion protein. (Original magnification: ×200)
-
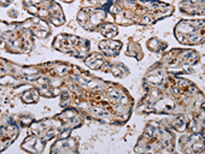
The image on the left is immunohistochemistry of paraffin-embedded Human placenta tissue using CSB-PA075987(LEPREL2 Antibody) at dilution 1/50, on the right is treated with fusion protein. (Original magnification: ×200)
-
Gel: 6%SDS-PAGE, Lysate: 40 μg, Lane 1-3: A549 cells, mouse heart tissue, Hela cells, Primary antibody: CSB-PA075987(LEPREL2 Antibody) at dilution 1/300, Secondary antibody: Goat anti rabbit IgG at 1/8000 dilution, Exposure time: 20 seconds
-
-
其他:
產品詳情
-
Uniprot No.:
-
基因名:P3H3
-
別名:P3H3 antibody; LEPREL2 antibody; Prolyl 3-hydroxylase 3 antibody; EC 1.14.11.7 antibody; Leprecan-like protein 2 antibody; Protein B antibody
-
宿主:Rabbit
-
反應種屬:Human,Mouse
-
免疫原:Fusion protein of Human LEPREL2
-
免疫原種屬:Homo sapiens (Human)
-
標記方式:Non-conjugated
-
抗體亞型:IgG
-
純化方式:Antigen affinity purification
-
濃度:It differs from different batches. Please contact us to confirm it.
-
保存緩沖液:-20°C, pH7.4 PBS, 0.05% NaN3, 40% Glycerol
-
產品提供形式:Liquid
-
應用范圍:ELISA,WB,IHC
-
推薦稀釋比:
Application Recommended Dilution ELISA 1:2000-1:5000 WB 1:500-1:2000 IHC 1:50-1:200 -
Protocols:
-
儲存條件:Upon receipt, store at -20°C or -80°C. Avoid repeated freeze.
-
貨期:Basically, we can dispatch the products out in 1-3 working days after receiving your orders. Delivery time maybe differs from different purchasing way or location, please kindly consult your local distributors for specific delivery time.
-
用途:For Research Use Only. Not for use in diagnostic or therapeutic procedures.
相關產品
靶點詳情
-
功能:Part of a complex composed of PLOD1, P3H3 and P3H4 that catalyzes hydroxylation of lysine residues in collagen alpha chains and is required for normal assembly and cross-linkling of collagen fibrils. Required for normal hydroxylation of lysine residues in type I collagen chains in skin, bone, tendon, aorta and cornea. Required for normal skin stability via its role in hydroxylation of lysine residues in collagen alpha chains and in collagen fibril assembly. Apparently not required for normal prolyl 3-hydroxylation on collagen chains, possibly because it functions redundantly with other prolyl 3-hydroxylases.
-
亞細胞定位:Endoplasmic reticulum.
-
蛋白家族:Leprecan family
-
組織特異性:Detected in fetal cartilage (at protein level). Weak expression in heart, lung, ovary and skeletal muscle.
-
數據庫鏈接:
Most popular with customers
-
-
YWHAB Recombinant Monoclonal Antibody
Applications: ELISA, WB, IHC, IF, FC
Species Reactivity: Human, Mouse, Rat
-
Phospho-YAP1 (S127) Recombinant Monoclonal Antibody
Applications: ELISA, WB, IHC
Species Reactivity: Human
-
-
-
-
-















