LEP Antibody
-
中文名稱:LEP兔多克隆抗體
-
貨號:CSB-PA223042
-
規格:¥1100
-
圖片:
-
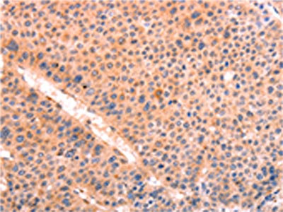
The image on the left is immunohistochemistry of paraffin-embedded Human thyroid cancer tissue using CSB-PA223042(LEP Antibody) at dilution 1/30, on the right is treated with fusion protein. (Original magnification: ×200)
-
The image on the left is immunohistochemistry of paraffin-embedded Human liver cancer tissue using CSB-PA223042(LEP Antibody) at dilution 1/30, on the right is treated with fusion protein. (Original magnification: ×200)
-
-
其他:
產品詳情
-
Uniprot No.:
-
基因名:
-
別名:FLJ94114 antibody; LEP antibody; LEP_HUMAN antibody; LEPD antibody; Leptin (murine obesity homolog) antibody; Leptin (obesity homolog, mouse) antibody; Leptin antibody; Leptin Murine Obesity Homolog antibody; Leptin Precursor Obesity Factor antibody; OB antibody; Obese protein antibody; Obese, mouse, homolog of antibody; Obesity antibody; Obesity factor antibody; Obesity homolog mouse antibody; Obesity Murine Homolog Leptin antibody; OBS antibody; OTTHUMP00000212285 antibody
-
宿主:Rabbit
-
反應種屬:Human,Mouse,Rat
-
免疫原:Fusion protein of Human LEP
-
免疫原種屬:Homo sapiens (Human)
-
標記方式:Non-conjugated
-
抗體亞型:IgG
-
純化方式:Antigen affinity purification
-
濃度:It differs from different batches. Please contact us to confirm it.
-
保存緩沖液:-20°C, pH7.4 PBS, 0.05% NaN3, 40% Glycerol
-
產品提供形式:Liquid
-
應用范圍:ELISA,IHC
-
推薦稀釋比:
Application Recommended Dilution ELISA 1:2000-1:5000 IHC 1:25-1:100 -
Protocols:
-
儲存條件:Upon receipt, store at -20°C or -80°C. Avoid repeated freeze.
-
貨期:Basically, we can dispatch the products out in 1-3 working days after receiving your orders. Delivery time maybe differs from different purchasing way or location, please kindly consult your local distributors for specific delivery time.
-
用途:For Research Use Only. Not for use in diagnostic or therapeutic procedures.
相關產品
靶點詳情
-
功能:Key player in the regulation of energy balance and body weight control. Once released into the circulation, has central and peripheral effects by binding LEPR, found in many tissues, which results in the activation of several major signaling pathways. In the hypothalamus, acts as an appetite-regulating factor that induces a decrease in food intake and an increase in energy consumption by inducing anorexinogenic factors and suppressing orexigenic neuropeptides, also regulates bone mass and secretion of hypothalamo-pituitary-adrenal hormones. In the periphery, increases basal metabolism, influences reproductive function, regulates pancreatic beta-cell function and insulin secretion, is pro-angiogenic for endothelial cell and affects innate and adaptive immunity. In the arcuate nucleus of the hypothalamus, activates by depolarization POMC neurons inducing FOS and SOCS3 expression to release anorexigenic peptides and inhibits by hyperpolarization NPY neurons inducing SOCS3 with a consequent reduction on release of orexigenic peptides. In addition to its known satiety inducing effect, has a modulatory role in nutrient absorption. In the intestine, reduces glucose absorption by enterocytes by activating PKC and leading to a sequential activation of p38, PI3K and ERK signaling pathways which exerts an inhibitory effect on glucose absorption. Acts as a growth factor on certain tissues, through the activation of different signaling pathways increases expression of genes involved in cell cycle regulation such as CCND1, via JAK2-STAT3 pathway, or VEGFA, via MAPK1/3 and PI3K-AKT1 pathways. May also play an apoptotic role via JAK2-STAT3 pathway and up-regulation of BIRC5 expression. Pro-angiogenic, has mitogenic activity on vascular endothelial cells and plays a role in matrix remodeling by regulating the expression of matrix metalloproteinases (MMPs) and tissue inhibitors of metalloproteinases (TIMPs). In innate immunity, modulates the activity and function of neutrophils by increasing chemotaxis and the secretion of oxygen radicals. Increases phagocytosis by macrophages and enhances secretion of pro-inflammatory mediators. Increases cytotoxic ability of NK cells. Plays a pro-inflammatory role, in synergy with IL1B, by inducing NOS2 wich promotes the production of IL6, IL8 and Prostaglandin E2, through a signaling pathway that involves JAK2, PI3K, MAP2K1/MEK1 and MAPK14/p38. In adaptive immunity, promotes the switch of memory T-cells towards T helper-1 cell immune responses. Increases CD4(+)CD25(-) T-cell proliferation and reduces autophagy during TCR (T-cell receptor) stimulation, through MTOR signaling pathway activation and BCL2 up-regulation.
-
基因功能參考文獻:
- chemerin and leptin are elevated and omentin-1 and visfatin levels are decreased in Gestational diabetes mellitus women complicated by obesity. PMID: 29337272
- study demonstrated novel molecular events for leptin-induced inflammation in ligamentum flavum (LF) tissue by promoting IL-6 expression and thus might have potential implications for clarifying the mechanism underlying LF fibrosis and hypertrophy. PMID: 29436483
- Leptin protein was significantly elevated in pre-liver transplantation alcoholics and was lowered post-transplantation. PMID: 29912265
- The AA genotype of leptin rs7799039 is associated with metabolic syndrome and higher serum leptin levels in Egyptian women PMID: 27966294
- In critically ill heart failure patients, the circadian rhythm of plasma leptin concentration seems to be preserved during the first but not during the third day after admission. PMID: 29527917
- a potential link between gastric leptin and microbial-derived metabolites in the context of obesity and diabetes PMID: 29851973
- Results show that LEP rs7799039 allele A was slightly associated with reduced total and LDL cholesterol suggesting that LEP genetic variant may be useful biomarker of cardiometabolic risk in obese patients. PMID: 28975585
- The aim of this study was to determine serum ghrelin and leptin levels in obese and lean Saudi women with Polycystic ovary syndrome and to investigate their relationship to the metabolic profiles in these women. PMID: 30131073
- The serum leptin level does not differ significantly between non-obese OSA patients with moderate/severe and snoring/mild OSA. PMID: 29174427
- Leptin concentrations are higher in the obese group irrespective of their glucose tolerance PMID: 29108900
- Leptin-to-adiponectin ratio and IL-6 were elevated in men with prostate cancer. Leptin, chemerin and IL-6 were associated with Gleason score. The relationships between leptin, chemerin and IL-6 were dependent on each other. PMID: 29465157
- Results provide new evidences for a modulatory effect of leptin in regulation of ovarian cancer cell invasion by stimulating MMP7 expression via ERK and JNK pathways. PMID: 28885729
- this study shows that leptin regulates the pro-inflammatory response in human epidermal keratinocytes PMID: 29468452
- AMH, IGF1 and leptin levels in follicular fluid have no relation to the fertility disorders caused by endometriosis or fallopian tube damage, though they are biomarkers for anovulatory fertility disorders. PMID: 29595066
- Our data provide evidence that leptin-mediated OPN upregulation promote TH2 inflammation in AR and this process is achieved through the alpha4 integrin and PI3K/AKT signaling pathways. PMID: 29885866
- By functional analysis based on a set of 1129 proteins from 494 obese subjects study identified and validated FAM46A as a trans regulator for leptin. PMID: 29234017
- Cord blood klotho levels were inversely correlated with leptin and insulin levels at birth PMID: 29648999
- Estradiol and physical activity were stronger predictors of leptin at menses, while sexual activity was a stronger predictor of leptin at ovulation. These findings suggest that predictors of serum leptin, and possibly energy storage and expenditure, vary across the menstrual cycle. PMID: 29454804
- leptin, leptin receptor and apelin receptor genes are associated with susceptibility to coronary artery disease and hypertension PMID: 29883719
- Serum levels of leptin (and adiponectin) were significantly and negatively associated with bone mineral density in patients with knee osteoarthritis. PMID: 29343264
- This study provides evidence that polymorphisms in the LEP and LEPR genes are associated with the magnitude of the effects of regular physical activity on glucose and LDL-C levels, respectively. In addition, we found the association of the G allele of the LEPR polymorphism with body mass and BMI PMID: 29373433
- Increased levels of mucosal leptin may interact with mast cells and the nervous system to contribute to the pathogenesis of diarrhea-predominant irritable bowel syndrome. PMID: 29358881
- Data suggest that expression of aquaporin-9 in term placenta is up-regulated by leptin. These studies used placental explants following term birth via cesarean section. PMID: 28942694
- by analyzing different estrogen receptor-alpha(ER-a)-positive and ER-a-negative breast cancer cell lines, we defined the role of CCN5 in the leptin-mediated regulation of growth and invasive capacity. PMID: 29370782
- LEP-rs7799039 was significantly associated with an increased risk for excessive gestational weight gain. PMID: 29241578
- Higher serum leptin levels can be used as a risk factor for childhood obesity. PMID: 29412799
- H. pylori infection decreased serum concentrations of leptin and obestatin in Mexican schoolchildren, suggesting alterations in regulating appetite and energy homeostasis. PMID: 28422951
- Data suggest that the stimulatory effects of leptin on proliferative activity of human normal prostate and prostate cancer cell lines require the expression of leptin receptor variant 1 in the affected cells. PMID: 29115533
- The findings suggest that the LEP G2548A genetic polymorphism may increase the susceptibility of cancers in non-Hodgkin's lymphoma (meta-analysis). PMID: 25536622
- Features of poor prognosis such as tumor invasion, lymph node involvement and distant metastasis have been recorded in several cancer types with higher levels of leptin and/or Ob-R. This review will describe the current scenario in a precise manner. In general, obesity indicates poor prognosis in cancer patients. [Review] PMID: 29158066
- Clinical data on secondary hyperparathyroidism, mainly derived from patients with chronic kidney disease, indicate a potential inverse association between leptin (LEP) and parathyroid hormone (PTH) in some, but not all studies. [REVIEW] PMID: 28730419
- Data suggest that transient increases in plasma adiponectin levels and transient decreases in plasma leptin levels occur following high-intensity interval exercise in overweight and obese young women. These studies were conducted in Turkey in formerly sedentary women ages 20-30 years. PMID: 28857629
- There was no simple, linear association of leptin and physical activity in adults with anorexia nervosa. PMID: 29099750
- Neoplastic cells appeared unable to downregulate NOX5 mRNA expression under leptin. Leptin emerged as a potential activator of ROS production in human epithelial mammary cells, where the ROS production was apparently linked to NOX5 activation. This novel finding could shed light on the potential role of obesity-associated hyperleptinemia in mammary cells via the activation of NOX enzymes PMID: 29048637
- Data suggest that serum leptin may be a potential biomarker for predicting sarcopenic obesity and physical performance in knee osteoarthritis. PMID: 28374624
- Leptin synergizes with IL-1beta in inducing ELF3 expression in chondrocytes. PMID: 29550824
- The nitrogen stable isotopic ratio in hair is positively associated with serum leptin levels. PMID: 29081462
- Heterozygous genotype AG of Single Nucleotide Polymorphism -2548 G/A of leptin gene (LEP) may reduce the risk of endometrial cancer independently of overall adiposity of an individual. Allele A alone of the studied polymorphism may be a risk factor of this malignancy in obese women, whereas allele G may decrease the hazard in these patients. PMID: 28964972
- Pregnant adolescents with leptin concentration over 20 ng/mL showed a greater gestational weight gain. Leptin concentration correlated with length and weight of the newborn. PMID: 28953229
- LEP and LEPR single-nucleotide polymorphisms are not associated with genetic susceptibility to systemic lupus erythematosus. PMID: 28244652
- The upregulation of miR27 inhibits the pathogenesis of osteoarthritis by targeting leptin and inhibiting the NF-kappaB signaling pathway. PMID: 28627582
- There was a direct association between the polymorphisms in LEP rs7799039 and ADIPOQ rs1501299 with overweight/obesity, and these genotypes affected the response to breast cancer chemotherapeutic treatment in Mexican women PMID: 28416193
- Habitual intake of SFA, MUFA, and n-3 fatty acids were associated with leptin gene expression in visceral and subcutaneous adipose tissues, suggesting an important role of quality and quantity of fatty acids intake in adipose tissue to regulate leptin expression. PMID: 29031395
- The studies established a potential link between leptin and adipocyte insulin responsiveness in an NOS2 dependent manner. PMID: 28739528
- Leptin serum levels drop following bariatric surgery and is predictive of disease remission in type 2 diabetes mellitus patients. PMID: 28734574
- alterations in leptin and SCD-1 in HCU patients PMID: 28801090
- leptin may have a role in androgenetic alopecia in men PMID: 28423238
- study is the first to describe the mechanism of leptin-promoted lymphangiogenesis by upregulating VEGF-C expression in chondrosarcomas. PMID: 27345723
- The study suggested that leptin accelerated the epithelial mesenchymal transition of A549cells through inhibiting autophagy via PI3K/Akt/mTOR pathway. PMID: 29524411
- Studied adiponectin (ADIPOQ), leptin (LEP), leptin receptor (LEPR), and resistin (RETN) single nucleotide polymorphisms and their association in obesity. Results showed that ADIPOQ 4522C
PMID: 28195351
顯示更多
收起更多
-
相關疾病:Leptin deficiency (LEPD)
-
亞細胞定位:Secreted.
-
蛋白家族:Leptin family
-
組織特異性:Adipose tissue is the main source of leptin. It is also produced by other peripheral tissues such as the skeletal muscle. Expressed by intercalated and striated tracts of submandibular and parotid salivary gland intralobular ducts. Detected by fundic epit
-
數據庫鏈接:
Most popular with customers
-
-
YWHAB Recombinant Monoclonal Antibody
Applications: ELISA, WB, IHC, IF, FC
Species Reactivity: Human, Mouse, Rat
-
Phospho-YAP1 (S127) Recombinant Monoclonal Antibody
Applications: ELISA, WB, IHC
Species Reactivity: Human
-
-
-
-
-















