LEMD2 Antibody
-
中文名稱:LEMD2兔多克隆抗體
-
貨號:CSB-PA854097LA01HU
-
規格:¥440
-
圖片:
-
Western Blot
Positive WB detected in: A549 whole cell lysate
All lanes: LEMD2 antibody at 6.95µg/ml
Secondary
Goat polyclonal to rabbit IgG at 1/50000 dilution
Predicted band size: 57, 24 kDa
Observed band size: 57 kDa -
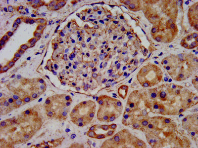
IHC image of CSB-PA854097LA01HU diluted at 1:300 and staining in paraffin-embedded human kidney tissue performed on a Leica BondTM system. After dewaxing and hydration, antigen retrieval was mediated by high pressure in a citrate buffer (pH 6.0). Section was blocked with 10% normal goat serum 30min at RT. Then primary antibody (1% BSA) was incubated at 4°C overnight. The primary is detected by a biotinylated secondary antibody and visualized using an HRP conjugated SP system.
-
-
其他:
產品詳情
-
產品名稱:Rabbit anti-Homo sapiens (Human) LEMD2 Polyclonal antibody
-
Uniprot No.:
-
基因名:LEMD2
-
別名:LEMD2; LEM domain-containing protein 2; hLEM2
-
宿主:Rabbit
-
反應種屬:Human
-
免疫原:Recombinant Human LEM domain-containing protein 2 protein (17-204AA)
-
免疫原種屬:Homo sapiens (Human)
-
標記方式:Non-conjugated
本頁面中的產品,LEMD2 Antibody (CSB-PA854097LA01HU),的標記方式是Non-conjugated。對于LEMD2 Antibody,我們還提供其他標記。見下表:
-
克隆類型:Polyclonal
-
抗體亞型:IgG
-
純化方式:>95%, Protein G purified
-
濃度:It differs from different batches. Please contact us to confirm it.
-
保存緩沖液:Preservative: 0.03% Proclin 300
Constituents: 50% Glycerol, 0.01M PBS, pH 7.4 -
產品提供形式:Liquid
-
應用范圍:ELISA, WB, IHC
-
推薦稀釋比:
Application Recommended Dilution WB 1:500-1:5000 IHC 1:200-1:500 -
Protocols:
-
儲存條件:Upon receipt, store at -20°C or -80°C. Avoid repeated freeze.
-
貨期:Basically, we can dispatch the products out in 1-3 working days after receiving your orders. Delivery time maybe differs from different purchasing way or location, please kindly consult your local distributors for specific delivery time.
-
用途:For Research Use Only. Not for use in diagnostic or therapeutic procedures.
相關產品
靶點詳情
-
功能:Involved in nuclear structure organization. Required for maintaining the integrity of the nuclear envelope.; Required for embryonic development and is involved in regulation of several signaling pathways such as MAPK and AKT. Required for myoblast differentiation involving regulation of ERK signaling.
-
基因功能參考文獻:
- We conclude that Lem2p/LEM2 is a conserved nuclear site-specific adaptor that recruits Cmp7p/CHMP7 and downstream ESCRT factors to the nuclear envelope. PMID: 28242692
- Observational study of gene-disease association. (HuGE Navigator) PMID: 19851445
-
相關疾病:Cataract 46, juvenile-onset (CTRCT46)
-
亞細胞定位:Nucleus inner membrane; Multi-pass membrane protein. Note=Lamina-associated protein residing in the inner nuclear membrane (INM). Localized exclusively to the nuclear envelope, giving rise to a typical rim-like staining of the nuclear periphery.
-
組織特異性:Ubiquitously expressed.
-
數據庫鏈接:
Most popular with customers
-
-
YWHAB Recombinant Monoclonal Antibody
Applications: ELISA, WB, IHC, IF, FC
Species Reactivity: Human, Mouse, Rat
-
Phospho-YAP1 (S127) Recombinant Monoclonal Antibody
Applications: ELISA, WB, IHC
Species Reactivity: Human
-
-
-
-
-















