LCT Antibody
-
中文名稱:LCT兔多克隆抗體
-
貨號:CSB-PA012827LA01HU
-
規格:¥440
-
圖片:
-
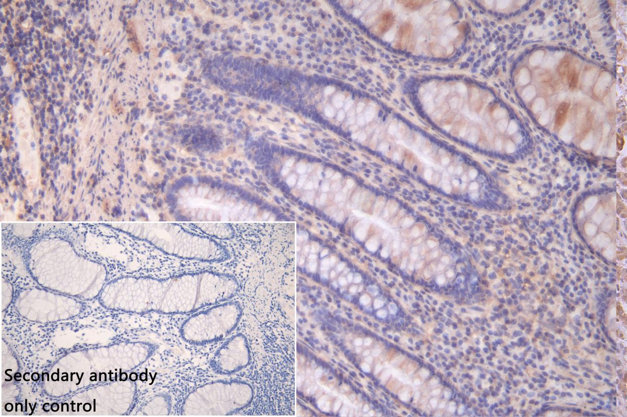
IHC image of CSB-PA012827LA01HU diluted at 1:100 and staining in paraffin-embedded human colorectal cancer performed on a Leica BondTM system. After dewaxing and hydration, antigen retrieval was mediated by high pressure in a citrate buffer (pH 6.0). Section was blocked with 10% normal goat serum 30min at RT. Then primary antibody (1% BSA) was incubated at 4°C overnight. The primary is detected by a Goat anti-rabbit polymer IgG labeled by HRP and visualized using 0.05% DAB. Secondary antibody only control: uses 1% BSA instead of primary antibody
-
-
其他:
產品詳情
-
產品描述:
The LCT antibody can be used to recognize the human LCT protein. A rabbit got immunization with the recombinant human LCT protein (983-1252aa). After that, an immune response occurred in the rabbit producing large amounts of antibodies against the LCT protein. The rabbit's blood was collected and isolated to get the anti-serum, which was protein G-purified to obtain the LCT polyclonal antibody (purity 95%+). This LCT antibody has accessed its specificity in ELISA and IHC applications.
The LCT is an enzyme that breaks down lactose into glucose and galactose in the small intestine. Therefore, the main function of LCT protein is the digestion of lactose, a sugar found in milk and dairy products, in order to provide a source of energy and nutrients to the body. Deficiency in lactase activity can result in lactose intolerance, which can cause digestive symptoms such as bloating, gas, and diarrhea.
-
產品名稱:Rabbit anti-Homo sapiens (Human) LCT Polyclonal antibody
-
Uniprot No.:
-
基因名:LCT
-
別名:LAC antibody; Lactase antibody; Lactase phlorizin hydrolase 1 antibody; Lactase phlorizin hydrolase antibody; Lactase-glycosylceramidase antibody; Lct antibody; LPH antibody; LPH_HUMAN antibody; LPH1 antibody; Phlorizin hydrolase antibody
-
宿主:Rabbit
-
反應種屬:Human
-
免疫原:Recombinant Human Lactase-phlorizin hydrolase protein (983-1252AA)
-
免疫原種屬:Homo sapiens (Human)
-
標記方式:Non-conjugated
本頁面中的產品,LCT Antibody (CSB-PA012827LA01HU),的標記方式是Non-conjugated。對于LCT Antibody,我們還提供其他標記。見下表:
-
克隆類型:Polyclonal
-
抗體亞型:IgG
-
純化方式:Antigen?affinity?purification
-
濃度:It differs from different batches. Please contact us to confirm it.
-
保存緩沖液:Preservative: 0.03% Proclin 300
Constituents: 50% Glycerol, 0.01M PBS, pH 7.4 -
產品提供形式:Liquid
-
應用范圍:ELISA, IHC
-
推薦稀釋比:
Application Recommended Dilution IHC 1:20-1:200 -
Protocols:
-
儲存條件:Upon receipt, store at -20°C or -80°C. Avoid repeated freeze.
-
貨期:Basically, we can dispatch the products out in 1-3 working days after receiving your orders. Delivery time maybe differs from different purchasing way or location, please kindly consult your local distributors for specific delivery time.
-
用途:For Research Use Only. Not for use in diagnostic or therapeutic procedures.
相關產品
靶點詳情
-
功能:LPH splits lactose in the small intestine.
-
基因功能參考文獻:
- Did not find any observational or genetic association between milk intake and acne using the lactase persistent/non-persistent LCT-13910 C/T genotype in a Mendelian randomization design. PMID: 30096803
- Large-scale studies with different ethnic populations will be needed to further investigate the possible race-specific effect of LCT 13910 C/T polymorphism on bone mineral density and fracture risk PMID: 29321359
- Novel genetic variants have been identified in the mutational hotspot region 14 kb upstream of the lactase gene in a rural Mexican population. PMID: 28452238
- In the Portuguese sample of young adults, the lactase -13910C>T polymorphism revealed significant associations with the obesity-related anthropometric variables body mass index, fat mass and weight, and previously observed associations with the obesity risk were also confirmed. PMID: 27577176
- Lactase Persistence in Humans and its evolution is reviewed. PMID: 28426286
- In Caucasians, the CC genotype that predicts lactose intolerance is associated with a lower plasma 25(OH)D concentration, which is attributable at least in part to a lower intake of dairy, particularly skim milk. Increased risk of suboptimal concentrations of vitamin D was also observed among those with the CT genotype, suggesting an intermediate effect of the heterozygous genotype. PMID: 28446633
- Three allelic variants alter promoter function and upregulate LCT gene expression. PMID: 27714771
- Genetic factors contribute to epigenetic changes occurring with age at the regulatory elements, because lactase-persistence and lactase-nonpersistence DNA haplotypes demonstrated markedly different epigenetic aging. PMID: 27159559
- Combination of real-time PCR and sequencing was used to detect multiple clinically relevant genetic variations in the lactase gene in Danish patients with lactose intolerance. PMID: 27937006
- The frequency of -13910*T was significantly higher among the Mennonites when compared to the Euro-Brazilian cohort. Accordingly, Mennonites had a higher prevalence of the lactase persistence genotype PMID: 26334798
- Populations from two medieval sites in Central Poland, Stary Brzesc Kujawski-4 (SBK-4) and Gruczno, represented high level of lactase persistence (LP) as followed by the LCT-13910*T allele's presence (0.86 and 0.82, respectively). PMID: 25853887
- In conclusion, our data indicate that identification of a -13910C/C genotype is likely to predict the presence of lactase nonpersistence, in keeping with prior published studies. PMID: 25625576
- Diversity of lactase persistence in African milk drinkers. PMID: 26054462
- Evidence of selection around the LCT gene among Khoe-speaking groups, and the substantial frequency of the 14010C variant among the Nama is best explained by adaptation to digesting milk. PMID: 24704072
- Report reliabile of the single nucleotide polymorphism of lactase persistence LPH(-13910) C/T from saliva derived DNA. PMID: 25651731
- Genotypes of neolithic human remains indicate that natural selection models satisfy the observed increase in allele frequency in lactase persistence. PMID: 24448642
- Evolutionary history of the European lactase persistence trait and its global cultural implications. PMID: 24465990
- The findings of this study suggest that at least the ApaI and BsmI polymorphisms of the VDR gene and T-13910C of the LCT gene are associated with the risk of postmenopausal osteoporosis in our sample of the Belarusian women. PMID: 23985982
- Show new sequence data from the lactase gene for two Bedouin tribal populations, the Ajman and Mutran. Study the frequency of Lactase persistence associated alleles and discuss impact of nomadic-pastoralism on the associated genetic variation. PMID: 23913618
- The LCT enhancer sequence in a large lactose-tolerance-tested Ethiopian cohort of more than 350 individuals, was examined. PMID: 23993196
- 580 Portuguese children (age 6-12)were genotyped for the lactase persistance-13910C>T polymorphism using TaqMan probes by real-time PCR for a link with abdominal obesity, indicating the polymorphism may predispose to abdominal obesity, not confirmed PMID: 23252911
- The lactase persistence genotype was shown to be associated with a higher BMI. PMID: 23647908
- Stronger signal of recent selection around the LCT gene for lactase persistence in Maasai than in Europeans. PMID: 22948027
- An overall frequency of 0.349 for the lactase persistence (LP) - 13910*T allele was estimated in the general population, with a noticeable decrease in the South (0.269) compared with North (0.383) and Centre (0.393). Among the symptomatic group, the frequency of the - 13910*T allele (0.363) was not significantly different from the general population. PMID: 23327608
- The two SNPs were present in a strong linkage disequilibrium. lactase persistence prevalence varied in these Indian regional groups. PMID: 23030683
- C/T -13910 cis-acting regulatory variant located approximately 14 kb upstream of lactase gene (LCT) completely correlates with lactase phenotype in Indian children PMID: 21763294
- The findings show that while variation in the lactase gene is associated with milk intake in men, the lactase polymorphism does not have a large effect on prostate cancer risk. PMID: 22965418
- The study showed that though frequency of C/T-13910 and G/A-22018 lactase polymorphisms was comparable among irritable bowel syndrome (IBS) and controls; these were more common among patients with diarrhea-predominant IBS (D-IBS). PMID: 22989008
- Lactase deficiency prevalence is high among different ethnic groups in Israel and varies between ethnicities. Both SNPs (C/T-13910 and G/A-22018) showed significant correlation in Israeli Jews of various origins. PMID: 23415628
- Differences in the prevalence of primary lactase deficiency were not found between celiac disease patients and controls... hereditary lactase deficiency is frequent in Italian celiac disease children as in control population. PMID: 23211657
- The researchers found evidence of the highest frequency of LCT-13915(*)G variant allele associated with lactose persistence in the southern Arabian Peninsula. PMID: 23256641
- Single nucleotide polymorphism variants of the lactase gene in lactase persistence in the Brazilian population. PMID: 23029545
- The T-13910 of the allele LCT-13910 C>T polymorphism is positively associated with BMI. lactase persistence increases significantly the risk to develop obesity in the studied population. PMID: 22937140
- no significant difference in single nucleotide polymorphism between adolescent idiopathic scoliosis cases and controls PMID: 22278929
- We confirm that the 13910 C>T mutation seen in DNA samples from across the Indian subcontinent, is identical by descent to the European allele and is associated with the same>1 Mb extended haplotype in both European and Indian populations. PMID: 21836184
- despite not finding marked differences in dairy product consumption, this polymorphism [-13910C>T (rs4988235) upstream from the lactase (LCT) gene] was strongly associated with BMI and obesity and modulated by lactose intake... PMID: 21193851
- The -14010*C variant associated with lactase persistence is located between an Oct-1 and HNF1alpha binding site and increases lactase promoter activity. PMID: 21327791
- Report lactase persistence SNPs in African populations regulate promoter activity in Caco-2 cells. PMID: 21686221
- The aim of this study was to determine the prevalence of lactase persistent and non-persistent genotypes in current Hungarian-speaking populations and in ancient Carpathian basin human bone samples. PMID: 21365615
- The LCT-22018G>A allele is a better predictor of lactase persistence in Japanese-Brazilians than the LCT-13910C>T allele. PMID: 21340236
- Lactase gene expression showed a regional distinction between regions 1 and 4 of the small intestine but not between regions 1 and 3. PMID: 21125297
- the lactase gene C/T(-13910) polymorphism was associated with trabecular density at the distal radius and tibia in men. PMID: 21136048
- the -13915*G SNP region (associated with lactase persistence) of the lactase gene interacts with the Oct-1 transcription factor in in vitro binding reactions. PMID: 20960210
- In the Italian population the LCT-13910C>T polymorphism is not associated to the risk for colorectal cancer or polyps. PMID: 20362522
- the -13914G > A variant is the third variant of lactase persistence and seems to correlate with lactase enzyme activity PMID: 20509822
- Lactase persistence (LP) in 31 720 individuals from eight European population-based studies and one family study by genotyping or imputing the European LP variant, was analyzed. PMID: 20015952
- Data show that the regulation of the trafficking kinetics and activity of domain III and entire LPH including elevation of the enzymatic activities require the correct dimerization of LPH in the ER. PMID: 19955176
- LCT 13910 C/T polymorphism is associated with decreased serum calcium level and lower bone mineral density in postmenopausal women. PMID: 18704543
- These data clearly demonstrate that the proregion of pro-LPH is an intramolecular chaperone that is critically essential in facilitating the folding of the intermediate form LPH beta(initial) in the context of the pro-LPH polypeptide. PMID: 11751874
- demonstrate that GATA-5 and HNF-1alpha physically associate both in vivo and in vitro and that this interaction is necessary for cooperative activation of the lactase-phlorizin hydrolase promoter PMID: 12011060
顯示更多
收起更多
-
相關疾病:Congenital lactase deficiency (COLACD)
-
亞細胞定位:Apical cell membrane; Single-pass type I membrane protein. Note=Brush border.
-
蛋白家族:Glycosyl hydrolase 1 family
-
組織特異性:Intestine.
-
數據庫鏈接:
Most popular with customers
-
-
YWHAB Recombinant Monoclonal Antibody
Applications: ELISA, WB, IHC, IF, FC
Species Reactivity: Human, Mouse, Rat
-
Phospho-YAP1 (S127) Recombinant Monoclonal Antibody
Applications: ELISA, WB, IHC
Species Reactivity: Human
-
-
-
-
-















