LARP6 Antibody
-
中文名稱:LARP6兔多克隆抗體
-
貨號:CSB-PA887112LA01HU
-
規格:¥440
-
圖片:
-
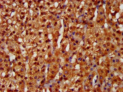
IHC image of CSB-PA887112LA01HU diluted at 1:200 and staining in paraffin-embedded human adrenal gland tissue performed on a Leica BondTM system. After dewaxing and hydration, antigen retrieval was mediated by high pressure in a citrate buffer (pH 6.0). Section was blocked with 10% normal goat serum 30min at RT. Then primary antibody (1% BSA) was incubated at 4°C overnight. The primary is detected by a biotinylated secondary antibody and visualized using an HRP conjugated SP system.
-
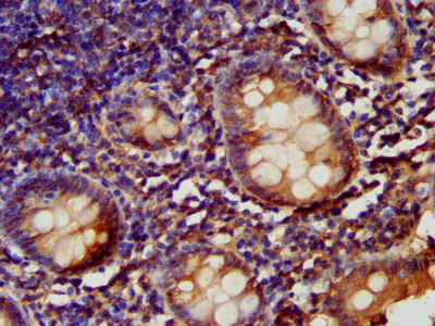
IHC image of CSB-PA887112LA01HU diluted at 1:200 and staining in paraffin-embedded human appendix tissue performed on a Leica BondTM system. After dewaxing and hydration, antigen retrieval was mediated by high pressure in a citrate buffer (pH 6.0). Section was blocked with 10% normal goat serum 30min at RT. Then primary antibody (1% BSA) was incubated at 4°C overnight. The primary is detected by a biotinylated secondary antibody and visualized using an HRP conjugated SP system.
-
-
其他:
產品詳情
-
產品名稱:Rabbit anti-Homo sapiens (Human) LARP6 Polyclonal antibody
-
Uniprot No.:
-
基因名:LARP6
-
別名:Acheron antibody; Achn antibody; FLJ11196 antibody; La ribonucleoprotein domain family member 6 antibody; La-related protein 6 antibody; LARP6 antibody; LARP6_HUMAN antibody
-
宿主:Rabbit
-
反應種屬:Human
-
免疫原:Recombinant Human La-related protein 6 protein (294-453AA)
-
免疫原種屬:Homo sapiens (Human)
-
標記方式:Non-conjugated
本頁面中的產品,LARP6 Antibody (CSB-PA887112LA01HU),的標記方式是Non-conjugated。對于LARP6 Antibody,我們還提供其他標記。見下表:
-
克隆類型:Polyclonal
-
抗體亞型:IgG
-
純化方式:>95%, Protein G purified
-
濃度:It differs from different batches. Please contact us to confirm it.
-
保存緩沖液:Preservative: 0.03% Proclin 300
Constituents: 50% Glycerol, 0.01M PBS, pH 7.4 -
產品提供形式:Liquid
-
應用范圍:ELISA, IHC
-
推薦稀釋比:
Application Recommended Dilution IHC 1:200-1:500 -
Protocols:
-
儲存條件:Upon receipt, store at -20°C or -80°C. Avoid repeated freeze.
-
貨期:Basically, we can dispatch the products out in 1-3 working days after receiving your orders. Delivery time maybe differs from different purchasing way or location, please kindly consult your local distributors for specific delivery time.
-
用途:For Research Use Only. Not for use in diagnostic or therapeutic procedures.
相關產品
靶點詳情
-
功能:Regulates the coordinated translation of type I collagen alpha-1 and alpha-2 mRNAs, CO1A1 and CO1A2. Stabilizes mRNAs through high-affinity binding of a stem-loop structure in their 5' UTR. This regulation requires VIM and MYH10 filaments, and the helicase DHX9.
-
基因功能參考文獻:
- Study shows that mTORC1 phosphorylates La ribonucleoprotein domain family, member 6 to stimulate type I collagen expression. PMID: 28112218
- A cytoplasmic isoform of La protein as well as LARPs 6, 4, and 1 function in mRNA metabolism and translation in distinct but similar ways, sometimes with the poly(A)-binding protein, and in some cases by direct binding to poly(A)-RNA. PMID: 28782243
- Akt mediated phosphorylation of LARP6; critical step in biosynthesis of type I collagen PMID: 26932461
- We postulate that collagen mRNAs directly partition to the endoplasmic reticulum membrane prior to synthesis of the signal peptide and that LARP6 and nonmuscle myosin filaments mediate this process. PMID: 25271881
- Data indicate that LA motif protein LARP6 binding to spliced leader RNA (5'SL) of collagen alpha2(I) mRNA is more stable than the binding to 5'SL of alpha1(I) mRNA. PMID: 25692237
- The study presents the structure of the La motif and RRM1 of human LARP6 uncovering in both cases considerable structural variation in comparison to the equivalent domains in La and revealing an unprecedented fold for the RRM1. PMID: 25488812
- LARP6 is a critical mediator by which IGF-1 augments synthesis of collagen type I in vascular smooth muscle PMID: 24469459
- The results demonstrate that the La modules of the human LARP6 is also active in tRNA-mediated suppression, even in the absence of stable UUU-3'OH trailer protection. PMID: 23887937
- Acheron regulates vascular endothelial proliferation and angiogenesis together with Id1 during wound healing. PMID: 22139627
- Achn enhances human breast tumor growth and vascularization and that this activity is dependent on nuclear localization. PMID: 21387291
- LARP6 has a distinctive bipartite RNA binding domain not found in other members of the La superfamily. LARP6 interacts with the two single-stranded regions of the 5' stem-loop. PMID: 19917293
- Acheron may influence differentiation in part via its control of cell adhesion dynamics. PMID: 19889961
- These data define Achn as a newly discovered regulatory molecule that presumably mediates a variety of developmental and homeostatic processes in animals. PMID: 17383118
顯示更多
收起更多
-
亞細胞定位:Cytoplasm. Nucleus. Note=Shuttles between the nucleus and the cytoplasm.
-
組織特異性:Expressed in numerous tissues.
-
數據庫鏈接:
Most popular with customers
-
-
YWHAB Recombinant Monoclonal Antibody
Applications: ELISA, WB, IHC, IF, FC
Species Reactivity: Human, Mouse, Rat
-
Phospho-YAP1 (S127) Recombinant Monoclonal Antibody
Applications: ELISA, WB, IHC
Species Reactivity: Human
-
-
-
-
-















