LAPTM4B Antibody
-
中文名稱:LAPTM4B兔多克隆抗體
-
貨號:CSB-PA774814LA01HU
-
規格:¥440
-
圖片:
-
Western Blot
Positive WB detected in: MCF-7 whole cell lysate
All lanes: LAPTM4B antibody at 4.8μg/ml
Secondary
Goat polyclonal to rabbit IgG at 1/50000 dilution
Predicted band size: 42, 26, 36 kDa
Observed band size: 42 kDa -
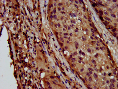
IHC image of CSB-PA774814LA01HU diluted at 1:600 and staining in paraffin-embedded human lung cancer performed on a Leica BondTM system. After dewaxing and hydration, antigen retrieval was mediated by high pressure in a citrate buffer (pH 6.0). Section was blocked with 10% normal goat serum 30min at RT. Then primary antibody (1% BSA) was incubated at 4°C overnight. The primary is detected by a biotinylated secondary antibody and visualized using an HRP conjugated SP system.
-
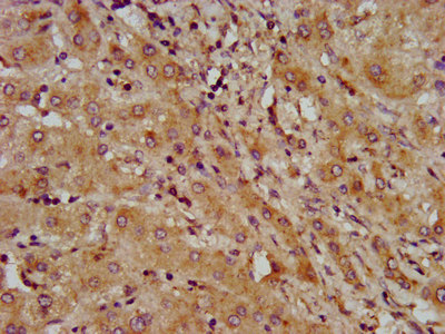
IHC image of CSB-PA774814LA01HU diluted at 1:600 and staining in paraffin-embedded human liver cancer performed on a Leica BondTM system. After dewaxing and hydration, antigen retrieval was mediated by high pressure in a citrate buffer (pH 6.0). Section was blocked with 10% normal goat serum 30min at RT. Then primary antibody (1% BSA) was incubated at 4°C overnight. The primary is detected by a biotinylated secondary antibody and visualized using an HRP conjugated SP system.
-
Immunofluorescence staining of SH-SY5Y cells with CSB-PA774814LA01HU at 1:200, counter-stained with DAPI. The cells were fixed in 4% formaldehyde, permeabilized using 0.2% Triton X-100 and blocked in 10% normal Goat Serum. The cells were then incubated with the antibody overnight at 4°C. The secondary antibody was Alexa Fluor 488-congugated AffiniPure Goat Anti-Rabbit IgG(H+L).
-
-
其他:
產品詳情
-
產品名稱:Rabbit anti-Homo sapiens (Human) LAPTM4B Polyclonal antibody
-
Uniprot No.:
-
基因名:LAPTM4B
-
別名:LAPTM4B; PSEC0001; Lysosomal-associated transmembrane protein 4B; Lysosome-associated transmembrane protein 4-beta
-
宿主:Rabbit
-
反應種屬:Human
-
免疫原:Recombinant Human Lysosomal-associated transmembrane protein 4B protein (174-226AA)
-
免疫原種屬:Homo sapiens (Human)
-
標記方式:Non-conjugated
本頁面中的產品,LAPTM4B Antibody (CSB-PA774814LA01HU),的標記方式是Non-conjugated。對于LAPTM4B Antibody,我們還提供其他標記。見下表:
-
克隆類型:Polyclonal
-
抗體亞型:IgG
-
純化方式:>95%, Protein G purified
-
濃度:It differs from different batches. Please contact us to confirm it.
-
保存緩沖液:Preservative: 0.03% Proclin 300
Constituents: 50% Glycerol, 0.01M PBS, pH 7.4 -
產品提供形式:Liquid
-
應用范圍:ELISA, WB, IHC, IF
-
推薦稀釋比:
Application Recommended Dilution WB 1:500-1:5000 IHC 1:500-1:1000 IF 1:50-1:200 -
Protocols:
-
儲存條件:Upon receipt, store at -20°C or -80°C. Avoid repeated freeze.
-
貨期:Basically, we can dispatch the products out in 1-3 working days after receiving your orders. Delivery time maybe differs from different purchasing way or location, please kindly consult your local distributors for specific delivery time.
-
用途:For Research Use Only. Not for use in diagnostic or therapeutic procedures.
相關產品
靶點詳情
-
功能:Required for optimal lysosomal function. Blocks EGF-stimulated EGFR intraluminal sorting and degradation. Conversely by binding with the phosphatidylinositol 4,5-bisphosphate, regulates its PIP5K1C interaction, inhibits HGS ubiquitination and relieves LAPTM4B inhibition of EGFR degradation. Recruits SLC3A2 and SLC7A5 (the Leu transporter) to the lysosome, promoting entry of leucine and other essential amino acid (EAA) into the lysosome, stimulating activation of proton-transporting vacuolar (V)-ATPase protein pump (V-ATPase) and hence mTORC1 activation. Plays a role as negative regulator of TGFB1 production in regulatory T cells. Binds ceramide and facilitates its exit from late endosome in order to control cell death pathways.
-
基因功能參考文獻:
- our results illustrate the LAPTM4B gene as a diagnostic biomarker in patients with hepatocellular carcinoma having documented evidence of chronic hepatitis C virus infection PMID: 29882487
- that LAPTM4B plays an important role in the promotion of hepatocarcinogenesis and cancer progression and may serve as a biomarker for the diagnosis and monitoring of hepatocellular carcinoma PMID: 29108920
- Findings suggest that lysosome-associated transmembrane protein 4B (LAPTM4B), vascular endothelial growth factor (VEGF), and nuclear survivin expression are significantly correlated in breast cancer, which may be predictive of prognosis as well as effective therapeutic targets for anticancer therapies. PMID: 28476037
- LAPTM4B-35 is a novel cancer-driving protein that can be inhibited by ethylglyoxal bisthiosemicarbazon PMID: 27542271
- The overexpressed LAPTM4B-35 was an independent prognostic biomarker for non-small-cell lung cancer, which could predict cancer recurrence and poor over survival. PMID: 27486880
- The findings of this study showed LAPTM4B-35 to be strongly associated with tumor proliferation, tumor angiogenesis and poor outcomes of GBM patients. PMID: 28097442
- Findings suggested that LAPTM4B allele *1 was a risk factor associated with poor prognosis in patients with colon cancer, but not in patients with rectal or esophageal cancers. LAPTM4B genotype status might be a useful prognostic indicator for patients that need surgical operation in colon cancer. PMID: 27391361
- These findings indicate that the LAPTM4B*2 allele is associated with the high risk of pancreatic carcinoma and carrying LAPTM4B*2 may be a susceptible factor to Chinese pancreatic carcinoma patients PMID: 28618967
- High expression level of LAPTM4B predicts tumor metastatic potential in patients with breast cancer. PMID: 28245476
- Cox analysis demonstrated that combined LAPTM4B-35 and VEGF expression was an independent factor for both OS and DFS (P = 0.015 and P = 0.016, respectively). Overexpression of LAPTM4B-35combined with positive VEGF expression may serve as a new biological marker to predict the prognosis of cervical carcinoma patients. PMID: 26526574
- Compared with the control cells, the LAPTM4B-miRNA-transfected NIH:OVCAR3 cells exhibited significant decreases in cell motility and invasion. Furthermore, LAPTM4B depletion resulted in a significant decrease in proliferating cell nuclear antigen, vascular endothelial growth factor, MMP2, MMP9, and CDK12 expression PMID: 26247403
- Findings provide evidence that LAPTM4B plays an important role in promoting tumor angiogenesis. PMID: 26383850
- Our study points to the relevance of LAPTM4B expression to NSCLC pathogenesis as well as to the probable role of LAPTM4B/NRF2 signaling in promoting lung cancer cell survival. PMID: 26343532
- LAPTM4b recruits LAT1-4F2hc to lysosomes, leading to uptake of leucine into lysosomes. PMID: 25998567
- These findings indicate that LAPTM4B-35 overexpression may be related to GC progression and poor prognosis, and thus may serve as a new prediction marker of prognosis in GC patients. PMID: 25849595
- Authors found that restoration of miR-188-5p can inhibit the PI3K/AKT signaling pathway via the suppression of LAPTM4B. PMID: 25714029
- LAPTM4B-35 overexpression is associated with small cell lung cancer. PMID: 25910706
- LAPTM4B-35 over-expression was an independent factor in gastric carcinoma prognosis PMID: 25689860
- By compartmentalizing ceramide, LAPTM4B controls key sphingolipid-mediated cell death mechanisms and emerges as a candidate for sphingolipid-targeting cancer therapies. PMID: 26280656
- LAPTM4B binds to GARP and is a negative regulator of TGF-beta1 production in human Tregs PMID: 26126825
- no association between LAPTM4B polymorphism and the risk of breast cancer in a sample of Iranian population PMID: 25001088
- Overexpression of LAPTM4B protein is correlated with tumor angiogenesis and poor prognosis in non-small cell lung cancer. PMID: 24816841
- The results reveal an essential layer of EGFR trafficking regulated by LAPTM4B, PtdIns(4,5)P2 signaling, and the ESCRT complex and define a mechanism by which the oncoprotein LAPTM4B can transform cells and promote tumor progression. PMID: 25588945
- LAPTM4B-35 is consistently expressed in gastric cancer and is associated with specific clinicopathological and immunohistochemical characteristics. PMID: 25416438
- The results suggest that LAPTM4B polymorphisms may be a prospective marker for evaluating the risk and prognosis of non-small cell lung cancer. PMID: 24676601
- Overexpression of LAPTM4B-35 may be associated with tumor progression and poor prognosis in prostate cancer. PMID: 24651764
- The LAPTM4B *2 allele was associated with increasing risk of multiple cancers, tumor initiation and development in Chinese populations. [meta-analysis] PMID: 24746178
- LAPTM4B, with increased expression in airways at shorter distance from tumors, was upregulated in human immortalized cells compared with normal bronchial epithelial cells and promoted anchorage-dependent and independent lung cancer cell growth. PMID: 24563515
- LAPTM4B was found to not exhibit any expression changes between different classes of pituitary adenomas. PMID: 23023342
- SNPs in lysosomal-associated transmembrane protein 4 beta (LAPTM4B) and insulin-like growth factor 1 (IGF1) were associated with both susceptibility to and curve severity in adolescent idiopathic scoliosis in Korea. PMID: 23364988
- study identified the core promoter region responsible for constitutive expression of LAPTM4B and clarified that CREB1 played an important role in LAPTM4B transcriptional regulation in human breast cancer cells PMID: 23469012
- LAPTM4B allele *2 may be a risk factor associated with genetic susceptibility to GBC. PMID: 22302286
- Endometrial carcinoma patients with LAPTM4B *2 variant had both significantly shorter overall survival and disease-free survival. PMID: 23312008
- The results of our study indicated that the polymorphism of LAPTM4B gene did not influence the susceptibility of nasopharyngeal carcinoma in the Chinese population PMID: 23345117
- allele *2 of LAPTM4B appears to be associated with genetic susceptibility of HCC and may therefore be considered as a risk factor. PMID: 22207410
- High LAPTM4B expression is associated with lymph node metastasis, and recurrence in breast cancer. PMID: 23292099
- LAPTM4B*2 is a risk factor associated with breast cancer susceptibility and poor prognosis PMID: 22984585
- Data suggest that lysosomal protein transmembrane 4 beta (LAPTM4B) status may be useful in preoperative evaluation of the operability of gallbladder carcinoma (GBC). PMID: 22984631
- LAPTM4B-35 was found to be present at high levels in a large proportion of patients with pancreatic carcinoma, and was closely related to disease progression and poor prognosis. PMID: 22971479
- LAPTM4B overexpression is an independent factor in poor colorectal cancer prognosis, and it may be an important potential biomarker. PMID: 22578410
- LAPTM4B allelic variation was significantly associated with breast cancer occurrence, with adjusted odds ratios of 1.387 (95%CI = 1.111-1.730) for LAPTM4B*1/2 and 1.592 (95% CI = 1.043-2.430) for LAPTM4B*2/2 genotype. PMID: 22270081
- gene polymorphism of LAPTM4B may influence the individuals' susceptibility to primary liver cancer. PMID: 22156622
- LAPTM4B expression was found to have a significant inverse correlation on prognosis in patients with metastatic ovarian tumors and may be an independent prognostic marker for metastatic ovarian tumors. PMID: 22193644
- LAPTM4B is a risk factor associated with poor prognosis in patients with resected HCC. LAPTM4B status may be useful preoperatively as an adjunct in evaluation of the operability of HCC. PMID: 22509374
- Findings indicate that the LAPTM4B 2 allele may be a risk factor for ovarian cancer and may play an important role in genetic susceptibility to ovarian cancer. PMID: 22412199
- Data show that LAPTM4B protein was localized in lysosomes where its depletion increased membrane permeability, pH, cathepsin release, and cellular apoptosis. PMID: 22037872
- Upregulation of LAPTM4B-35 promotes malignant transformation and liver tumorigenesis. PMID: 21618708
- overexpression of LAPTM4B-35 attenuated epirubicin-induced apoptosis of gallbladder carcinoma GBC-SD cells through a mitochondria-dependent pathway PMID: 21429547
- the LAPTM4B*2 allele might be a cervical cancer risk factor and may play an important role in genetic susceptibility to cervical cancer in the Chinese population. PMID: 21656743
- Over-expression of LAPTM4B is associated with chemotherapy resistance and stages III and IV epithelial ovarian cancer PMID: 21416470
顯示更多
收起更多
-
亞細胞定位:Endomembrane system; Multi-pass membrane protein. Late endosome membrane. Cell membrane. Cell projection. Lysosome membrane. Endosome membrane. Endosome, multivesicular body membrane. Endosome, multivesicular body lumen.
-
蛋白家族:LAPTM4/LAPTM5 transporter family
-
數據庫鏈接:
Most popular with customers
-
-
YWHAB Recombinant Monoclonal Antibody
Applications: ELISA, WB, IHC, IF, FC
Species Reactivity: Human, Mouse, Rat
-
Phospho-YAP1 (S127) Recombinant Monoclonal Antibody
Applications: ELISA, WB, IHC
Species Reactivity: Human
-
-
-
-
-















