LAMC2 Antibody
-
中文名稱:LAMC2兔多克隆抗體
-
貨號:CSB-PA618803LA01HU
-
規格:¥440
-
圖片:
-
Western Blot
Positive WB detected in: Hela whole cell lysate
All lanes: LAMC2 antibody at 5μg/ml
Secondary
Goat polyclonal to rabbit IgG at 1/50000 dilution
Predicted band size: 131, 122 kDa
Observed band size: 140 kDa -
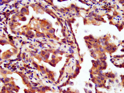
IHC image of CSB-PA618803LA01HU diluted at 1:200 and staining in paraffin-embedded human lung cancer performed on a Leica BondTM system. After dewaxing and hydration, antigen retrieval was mediated by high pressure in a citrate buffer (pH 6.0). Section was blocked with 10% normal goat serum 30min at RT. Then primary antibody (1% BSA) was incubated at 4°C overnight. The primary is detected by a biotinylated secondary antibody and visualized using an HRP conjugated SP system.
-
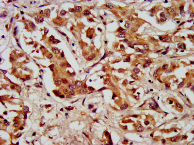
IHC image of CSB-PA618803LA01HU diluted at 1:200 and staining in paraffin-embedded human liver cancer performed on a Leica BondTM system. After dewaxing and hydration, antigen retrieval was mediated by high pressure in a citrate buffer (pH 6.0). Section was blocked with 10% normal goat serum 30min at RT. Then primary antibody (1% BSA) was incubated at 4°C overnight. The primary is detected by a biotinylated secondary antibody and visualized using an HRP conjugated SP system.
-
-
其他:
產品詳情
-
產品名稱:Rabbit anti-Homo sapiens (Human) LAMC2 Polyclonal antibody
-
Uniprot No.:
-
基因名:
-
別名:3918 antibody; B2T antibody; BM600 antibody; Cell-scattering factor 140 kDa subunit antibody; CSF 140 kDa subunit antibody; CSF antibody; EBR2 antibody; EBR2A antibody; Epiligrin subunit gamma antibody; Kalinin subunit gamma antibody; Kalinin/nicein/epiligrin 100 kDa subunit antibody; Ladsin 140 kDa subunit antibody; LAMB2T antibody; LAMC2 antibody; LAMC2_HUMAN antibody; Laminin 5 gamma 2 subunit antibody; Laminin B2t chain antibody; Laminin gamma 2 antibody; laminin gamma 2 chain antibody; Laminin subunit gamma-2 antibody; Laminin-5 subunit gamma antibody; LAMNB2 antibody; Large adhesive scatter factor 140 kDa subunit antibody; MGC138491 antibody; MGC141938 antibody; Nicein subunit gamma antibody; NICEIN-100KDA antibody
-
宿主:Rabbit
-
反應種屬:Human
-
免疫原:Recombinant Human Laminin subunit gamma-2 protein (417-588AA)
-
免疫原種屬:Homo sapiens (Human)
-
標記方式:Non-conjugated
本頁面中的產品,LAMC2 Antibody (CSB-PA618803LA01HU),的標記方式是Non-conjugated。對于LAMC2 Antibody,我們還提供其他標記。見下表:
-
克隆類型:Polyclonal
-
抗體亞型:IgG
-
純化方式:>95%, Protein G purified
-
濃度:It differs from different batches. Please contact us to confirm it.
-
保存緩沖液:Preservative: 0.03% Proclin 300
Constituents: 50% Glycerol, 0.01M PBS, pH 7.4 -
產品提供形式:Liquid
-
應用范圍:ELISA, WB, IHC
-
推薦稀釋比:
Application Recommended Dilution WB 1:500-1:5000 IHC 1:200-1:500 -
Protocols:
-
儲存條件:Upon receipt, store at -20°C or -80°C. Avoid repeated freeze.
-
貨期:Basically, we can dispatch the products out in 1-3 working days after receiving your orders. Delivery time maybe differs from different purchasing way or location, please kindly consult your local distributors for specific delivery time.
-
用途:For Research Use Only. Not for use in diagnostic or therapeutic procedures.
相關產品
靶點詳情
-
功能:Binding to cells via a high affinity receptor, laminin is thought to mediate the attachment, migration and organization of cells into tissues during embryonic development by interacting with other extracellular matrix components. Ladsin exerts cell-scattering activity toward a wide variety of cells, including epithelial, endothelial, and fibroblastic cells.
-
基因功能參考文獻:
- It regulates tumor development of tongue squamous cell carcinoma together with LINC00511 and miR-765. PMID: 29315846
- Laminin 332 was expressed specifically within papillary thyroid carcinoma (PTC) tissue. The frequency of laminin 332 gamma2 chain expression was significantly correlated with cervical lymph node metastasis. Invasiveness increased as the expression of laminin 332 gamma2 increased in the tested PTC cell lines. PMID: 28238469
- Study found that high expression of LAMC2 was significantly associated with shorter disease-free survival in GC and, that expression of LAMC2 was significantly upregulated when PCDH8 was overexpressed. PMID: 29325230
- The results of this study highlight the value of LAMC2 as a marker of cancer invasion. LAMC2-positive foci in leukoplakia suggest an imminent risk of cancer. PMID: 27529842
- Results indicate that LAMC2-Dox mice expressing the human protein are unable to sustain structuring of a proper basement membrane (BM) at the interface between ameloblasts and maturing enamel. This failure may be related to the atypical composition of the BM in the maturation stage and reaffirms that the atypical BM is essential for enamel maturation. PMID: 26956061
- The data presented provide a novel insight into how CDX2 is implicated in the transcriptional regulation of LAMC2 in intestinal epithelial cells, a function that is impaired during mucosal inflammation where a high level of TNF-alpha is present. PMID: 27333824
- our results strongly suggest that laminin g2 may be a potential prognostic biomarker and therapeutic target in colorectal cancer. PMID: 28653882
- Laminin expression depends on Ecad loss and allows Ecad-defective gastric cancer cells to survive and invade. PMID: 26246502
- findings strongly indicate that Ln-gamma2 is an attractive biomarker for detecting early stages of UC and for monitoring recurrence PMID: 26450632
- Data suggest that LAMC2 promotes metastasis in lung adenocarcinoma via EMT and may be a potential therapeutic target. PMID: 25591736
- The positive expression of laminingamma2 and the tumor differentiation were independent risk factors influencing the prognosis of EHCC patients. PMID: 25773857
- LAMC2 is a novel non-small cell lung cancer prognostic factor. PMID: 26180921
- Diagnostic value of p40 and LN332 in metaplastic spindle cell carcinoma of the breast was found to be less than that of routinely used markers (p63 and cytokeratins). LN332 showed staining in a significant proportion of phyllodes tumours and sarcomas. PMID: 25795733
- The elevated expression of LAMC2 on cancer cells appears to drive tumorigenesis through its interactions with several cell-surface receptors PMID: 24976367
- Molecular expression of MMP-7, laminin c2 or EGFR, and their combinations, may be associated with gastric cancer tumor aggressiveness PMID: 24048760
- Through an unbiased genetic approach involving a combination of QTL mapping and positional cloning, we demonstrate that Col17a1 is a strong genetic modifier of the non-Herlitz JEB that develops in Lamc2(jeb) mice PMID: 24550734
- LAMC2 is expressed at a higher level in ectopic endometrium (Ec) from women with endometriosis compared with eutopic endometrium (Eu) from women with endometriosis. PMID: 24070183
- The active site of gamma2pf to the N-terminal epidermal growth factor-like repeat. PMID: 24238220
- LAMC2 is a promising new putative pancreatic cancer biomarker identified by proteomic analysis of pancreatic adenocarcinoma tissues. PMID: 23798558
- LAMC2 may be a potential therapeutic target for the treatment of anaplastic thyroid carcinoma. PMID: 24170107
- Both stromal and cytoplasmic laminin gamma2 expressions correlated with lymph node metastasis PMID: 24124977
- Lamininn-5 gamma 2 EPHA2 signaling contributed to tumor growth and vasculogenic mimicry of gallbladder carcinomas. PMID: 23588386
- both laminin- 5gamma2 chain staining and tumor budding are associated with tumor cell invasiveness and are independent predictors of mortality in lung SqCC patients. PMID: 23124251
- Expression of Ln-5gamma2 in the invasive front of lip squamous cell carcinoma and its correlation with tumor progression suggest it mediates the acquisition of the migrating and invading epithelial cell phenotype. PMID: 22917688
- In colorectal cancer progression, vascular endothelial growth factor overexpression seems to play a role in the tumor center, whereas Laminin5gamma2-positivity combined with Raf-1 kinase inhibitor protein loss is associated with tumor invasion at the front. PMID: 21664646
- Data suggest that an anti-Wnt5a antibody was capable of suppressing Wnt5a-dependent internalization of Fz2 receptor, resulting in the prevention of metastasis of gastric cancer cells by inhibiting the activation of Rac1 and the expression of laminin gamma2. PMID: 22101459
- Compared with conventional carcinomas, serrated adenocarcinomas showed significantly increased cytoplasmic expression of laminin-5gamma2 at the invasive front that was particularly pronounced in the tumor buds. PMID: 22209340
- Cytoplasmic laminin-5 expression should not be used as a criterion of malignancy and is not useful in distinguishing pseudocarcinomatous hyperplasia from microinvasive and well-differentiated SCC. PMID: 21955313
- Immunohistochemical analysis of laminin 5-gamma2 chain expression for differentiation of basal cell carcinoma from trichoblastoma. PMID: 21771037
- The infiltrative invasion of GI-type ovarian mucinous neoplasms may be promoted by cytoplasmic and/or stromal expression of laminin gamma 2 chain. PMID: 21042753
- Increased expression of laminin5-[gamma]2 is associated with bronchioloalveolar carcinoma. PMID: 20631633
- These findings imply that the gamma2 monomer is induced in human cancers by inflammatory and stromal cytokines and promotes their invasive growth in vivo. PMID: 20143393
- Results show the uncoupled induction of laminin-332 chains in Smad4-negative cells is followed by the release of gamma2 into the medium, either in a monomeric form or in complexes with unknown proteins. Soluble gamma2 is assoc'd with inc'd cell migration. PMID: 20307265
- These results show that LN-332, known to have some beneficial effect on beta cells in vitro, is produced and secreted by endocrine islet cells and is up-regulated by stressing conditions. PMID: 19667121
- cytoplasmic expression represents high invasive potential of pancreatic ductal adenocarcinoma and is correlated with distant metastasis and poorer prognosis PMID: 11920553
- laminin-gamma2 is frequently overexpressed in HNSCCs and derivative cell lines PMID: 11992550
- level of circulating LN gamma2 NH(2)-terminal fragment (G2F) is a new, prognostic, tumor-characterizing marker for estimating the invasiveness and malignancy of epithelial carcinomas PMID: 12517801
- Thus the synergistic activation of the LAMC2 gene is mediated via different cis-elements and results in an overproduction of the laminin gamma 2 chain relative to the other laminin-5 constituent chains. PMID: 12519076
- Laminin-5 gamma2 chain expression may contribute to formation of budding tumor cells at the invasive front, and immunostaining of this adhesion molecule may be useful in identifying high-risk patients for locoregional failure in T1 colorectal carcinomas. PMID: 12643602
- epidermis of the Lamc2-/- mice revealed induced apoptosis in the basal cells of the blistered skin PMID: 14632187
- Laminin gamma 2 chain exhibits aberrant expression in a stepwise manner through different aggressive stages of tumor progression. PMID: 15105812
- In squamous cell carcinoma of the tongue and colorectal carcinoma, laminin 5 gamma2 chain is important in the invasiveness of cancer cells. PMID: 15363037
- Data show that the expression of laminin gamma2 chain and collagen type XVII is altered in endometrial adenocarcinomas. PMID: 15609083
- up-regulation of Ang2, MMP-2, MT1-MMP, and LN 5 gamma 2 is associated with the invasiveness displayed by human gliomas PMID: 15743799
- Ln-5 gamma2 chain regulates the secretion of the alpha3 and beta3 subunits. More importantly, suppression of Ln-5 results in a phenotype that is representative of invasive tumor cells PMID: 15963983
- This study suggests that coexpression of LN-5 gamma2 and EGFR is closely related to the progression and poor prognosis of esophageal SCC. PMID: 16103736
- Ln-5 and TGF-beta1 cooperatively induce epithelial to mesenchymal transition in hepatocellular carcinoma PMID: 16285938
- Our results suggest that PAI-1 is a novel potential marker of initial invasion in oral SCC, and that the coordinated expression of PAI-1 with uPAR and lam-gamma2 sustain the features of the early invasive cancer cells. PMID: 16395714
- findings suggest that mesenchymal cells contribute to the promotion of tumour cell migration as well as vessel formation in oral squamous cell carcinoma by providing and organising promigratory Ln-5 fragments PMID: 17390227
- Overexpression of Laminin-5 gamma2 is associated with oral squamous cell carcinomas PMID: 17786338
顯示更多
收起更多
-
相關疾病:Epidermolysis bullosa, junctional, Herlitz type (H-JEB)
-
亞細胞定位:Secreted, extracellular space, extracellular matrix, basement membrane. Note=Major component.
-
組織特異性:The large variant is expressed only in specific epithelial cells of embryonic and neonatal tissues. In 17-week old embryo the small variant is found in cerebral cortex, lung, and distal tubes of kidney, but not in epithelia except for distal tubuli.
-
數據庫鏈接:
Most popular with customers
-
-
YWHAB Recombinant Monoclonal Antibody
Applications: ELISA, WB, IHC, IF, FC
Species Reactivity: Human, Mouse, Rat
-
Phospho-YAP1 (S127) Recombinant Monoclonal Antibody
Applications: ELISA, WB, IHC
Species Reactivity: Human
-
-
-
-
-















