KYNU Antibody
-
中文名稱:KYNU兔多克隆抗體
-
貨號:CSB-PA621970ESR2HU
-
規格:¥440
-
圖片:
-
Western blot
All lanes: KYNU antibody at 1.44μg/ml
Lane 1: A549 whole cell lysate
Lane 2: HepG2 whole cell lysate
Lane 3: Hela whole cell lysate
Secondary
Goat polyclonal to rabbit IgG at 1/10000 dilution
Predicted band size: 53, 35 kDa
Observed band size: 53 kDa -
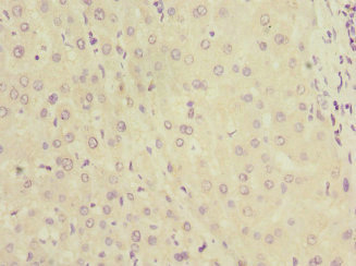
Immunohistochemistry of paraffin-embedded human liver tissue using CSB-PA621970ESR2HU at dilution of 1:100
-
Immunohistochemistry of paraffin-embedded human placenta tissue using CSB-PA621970ESR2HU at dilution of 1:100
-
Immunoprecipitating KYNU in Hela whole cell lysate
Lane 1: Rabbit control IgG instead of (1μg) instead of CSB-PA621970ESR2HU in Hela whole cell lysate. For western blotting, a HRP-conjugated anti-rabbit IgG, specific to the non-reduced form of IgG was used as the Secondary antibody (1/50000)
Lane 2: CSB-PA621970ESR2HU (4μg) + Hela whole cell lysate (500μg)
Lane 3: Hela whole cell lysate (20μg)
-
-
其他:
產品詳情
-
產品描述:KYNU polyclonal antibody CSB-PA621970ESR2HU was produced in the rabbit immunized by using the Recombinant Human Kynureninase protein (1-307AA) as the immunogen. The target protein KYNU is a pyridoxal-5'-phosphate (pyridoxal-P) dependent enzyme that catalyzes the cleavage of L-kynurenine and L-3-hydroxykynurenine into anthranilic and 3-hydroxyanthranilic acids, respectively. Kynureninase is involved in the biosynthesis of NAD cofactors from tryptophan through the kynurenine pathway. Diseases associated with KYNU include Hydroxykynureninuria and Vertebral, Cardiac, Renal, And Limb Defects Syndrome 2.
This Rabbit anti-Homo sapiens (Human) KYNU Polyclonal antibody was tested in the ELISA, WB, IHC and IP applications. The non-conjugated IgG got purified by antigen affinity. It only reacts with the KYNU proteins of human-origin and may be used to detect the endogenous levels of KYNU protein. -
產品名稱:Rabbit anti-Homo sapiens (Human) KYNU Polyclonal antibody
-
Uniprot No.:
-
基因名:KYNU
-
別名:kynU antibody; KYNU_HUMAN antibody; kynureninase (L-kynurenine hydrolase) antibody; Kynureninase antibody; L-kynurenine hydrolase antibody
-
宿主:Rabbit
-
反應種屬:Human
-
免疫原:Recombinant Human Kynureninase protein (1-307AA)
-
免疫原種屬:Homo sapiens (Human)
-
標記方式:Non-conjugated
-
克隆類型:Polyclonal
-
抗體亞型:IgG
-
純化方式:Antigen Affinity Purified
-
濃度:It differs from different batches. Please contact us to confirm it.
-
保存緩沖液:PBS with 0.02% sodium azide, 50% glycerol, pH7.3.
-
產品提供形式:Liquid
-
應用范圍:ELISA, WB, IHC, IP
-
推薦稀釋比:
Application Recommended Dilution WB 1:1000-1:5000 IHC 1:20-1:200 IP 1:200-1:2000 -
Protocols:
-
儲存條件:Upon receipt, store at -20°C or -80°C. Avoid repeated freeze.
-
貨期:Basically, we can dispatch the products out in 1-3 working days after receiving your orders. Delivery time maybe differs from different purchasing way or location, please kindly consult your local distributors for specific delivery time.
-
用途:For Research Use Only. Not for use in diagnostic or therapeutic procedures.
相關產品
靶點詳情
-
功能:Catalyzes the cleavage of L-kynurenine (L-Kyn) and L-3-hydroxykynurenine (L-3OHKyn) into anthranilic acid (AA) and 3-hydroxyanthranilic acid (3-OHAA), respectively. Has a preference for the L-3-hydroxy form. Also has cysteine-conjugate-beta-lyase activity.
-
基因功能參考文獻:
- Our results suggest that tryptophan metabolism might dichotomously modulate immune responses, with KYNU as a switch between immunosuppressive versus inflammatory outcomes. PMID: 26725996
- A rare variant at the KYNU gene is associated with essential hypertension in the Han Chinese population. PMID: 22012986
- The Lys412Glu polymorphism of the KYNU gene in a hypertensive candidate chromosomal region is associated with essential hypertension in Han Chinese. PMID: 16080802
-
相關疾病:Hydroxykynureninuria (HYXKY); Vertebral, cardiac, renal, and limb defects syndrome 2 (VCRL2)
-
亞細胞定位:Cytoplasm, cytosol.
-
蛋白家族:Kynureninase family
-
組織特異性:Expressed in all tissues tested (heart, brain placenta, lung, liver, skeletal muscle, kidney and pancreas). Highest levels found in placenta, liver and lung. Expressed in all brain regions.
-
數據庫鏈接:
Most popular with customers
-
-
YWHAB Recombinant Monoclonal Antibody
Applications: ELISA, WB, IHC, IF, FC
Species Reactivity: Human, Mouse, Rat
-
Phospho-YAP1 (S127) Recombinant Monoclonal Antibody
Applications: ELISA, WB, IHC
Species Reactivity: Human
-
-
-
-
-















