KTN1 Antibody
-
中文名稱:KTN1兔多克隆抗體
-
貨號:CSB-PA773030LA01HU
-
規格:¥440
-
圖片:
-
Western Blot
Positive WB detected in: MCF-7 whole cell lysate, Jurkat whole cell lysate
All lanes: KTN1 antibody at 3.4μg/ml
Secondary
Goat polyclonal to rabbit IgG at 1/50000 dilution
Predicted band size: 157, 150, 151, 153 kDa
Observed band size: 157 kDa -
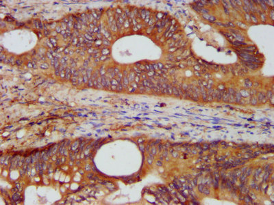
IHC image of CSB-PA773030LA01HU diluted at 1:400 and staining in paraffin-embedded human colon cancer performed on a Leica BondTM system. After dewaxing and hydration, antigen retrieval was mediated by high pressure in a citrate buffer (pH 6.0). Section was blocked with 10% normal goat serum 30min at RT. Then primary antibody (1% BSA) was incubated at 4°C overnight. The primary is detected by a biotinylated secondary antibody and visualized using an HRP conjugated SP system.
-
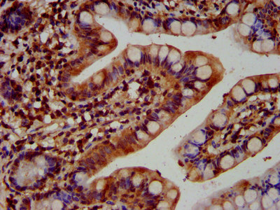
IHC image of CSB-PA773030LA01HU diluted at 1:400 and staining in paraffin-embedded human small intestine tissue performed on a Leica BondTM system. After dewaxing and hydration, antigen retrieval was mediated by high pressure in a citrate buffer (pH 6.0). Section was blocked with 10% normal goat serum 30min at RT. Then primary antibody (1% BSA) was incubated at 4°C overnight. The primary is detected by a biotinylated secondary antibody and visualized using an HRP conjugated SP system.
-
Immunoprecipitating KTN1 in A549 whole cell lysate
Lane 1: Rabbit control IgG instead of CSB-PA773030LA01HU in A549 whole cell lysate. For western blotting, a HRP-conjugated Protein G antibody was used as the secondary antibody (1/2000)
Lane 2: CSB-PA773030LA01HU (6μg) + A549 whole cell lysate (1mg)
Lane 3: A549 whole cell lysate (20μg)
-
-
其他:
產品詳情
-
產品名稱:Rabbit anti-Homo sapiens (Human) KTN1 Polyclonal antibody
-
Uniprot No.:
-
基因名:KTN1
-
別名:CG-1 antigen antibody; CG1 antibody; CG1 antigen antibody; KIAA0004 antibody; Kinectin antibody; Kinesin receptor antibody; Ktn1 antibody; KTN1_HUMAN antibody; MU-RMS-40.19 antibody
-
宿主:Rabbit
-
反應種屬:Human
-
免疫原:Recombinant Human Kinectin protein (978-1116AA)
-
免疫原種屬:Homo sapiens (Human)
-
標記方式:Non-conjugated
本頁面中的產品,KTN1 Antibody (CSB-PA773030LA01HU),的標記方式是Non-conjugated。對于KTN1 Antibody,我們還提供其他標記。見下表:
-
克隆類型:Polyclonal
-
抗體亞型:IgG
-
純化方式:>95%, Protein G purified
-
濃度:It differs from different batches. Please contact us to confirm it.
-
保存緩沖液:Preservative: 0.03% Proclin 300
Constituents: 50% Glycerol, 0.01M PBS, pH 7.4 -
產品提供形式:Liquid
-
應用范圍:ELISA, WB, IHC, IP
-
推薦稀釋比:
Application Recommended Dilution WB 1:500-1:5000 IHC 1:200-1:500 IP 1:200-1:2000 -
Protocols:
-
儲存條件:Upon receipt, store at -20°C or -80°C. Avoid repeated freeze.
-
貨期:Basically, we can dispatch the products out in 1-3 working days after receiving your orders. Delivery time maybe differs from different purchasing way or location, please kindly consult your local distributors for specific delivery time.
-
用途:For Research Use Only. Not for use in diagnostic or therapeutic procedures.
相關產品
靶點詳情
-
功能:Receptor for kinesin thus involved in kinesin-driven vesicle motility. Accumulates in integrin-based adhesion complexes (IAC) upon integrin aggregation by fibronectin.
-
基因功能參考文獻:
- Significant association between rs12895072 and rs12434554 within the KTN1 gene and accelerated decline in Cognition performance in Chinese elderly male Gout population. PMID: 28953682
- Our results show that kinectin-dependent ER distribution can be localized by chemoattractants and provide a mechanism for biased protrusion choices during chemotaxis in shallow gradients of chemoattractants. PMID: 27221621
- Kinectin is concentrated in the perinuclear sheets of the endoplasmic reticulum by interacting with polysomes. Kinectin may play a role in determinining the morphology of the endoplasmic reticulum. PMID: 21111237
- Kinectin may have the ability to anchor mRNAs to the surface of the endoplasmic reticulum. PMID: 22679391
- The kinesin-1 deficiency weakened intercellular adhesion, despite the maintenance of adherens junctions and other desmosome components at the plasma membrane. PMID: 22184201
- The genes identified KTN1, ROCK1, and ZAK may be responsible for loss of cellular homeostasis in giant cells tumors of bone PMID: 21305317
- kinectin is markedly enriched at integrin-based adhesion complexes, induced by clustering integrins with fibronectin-coated beads PMID: 11973345
- The data suggests that both KNT and KNTvd4(-) participate in microtubule-dependent secretion of amylin in islet beta-cells. PMID: 16890462
- anchoring the elongation factor-1 complex onto endoplasmic reticulum via EF-1delta/kinectin interaction is important for regulating protein synthesis in eukaryotic cells PMID: 16950774
- When kinesin binds with both heads to the microtubule, the neck linkers in the rear and forward heads extend forward and backward. This supports the notion that neck linker movements accompany the 'hand-over-hand' motion of the two motor domains. PMID: 17013387
- A large number of variations were found in many of the genes (myozenin 1, gamma-filamin, kinectin-1) in patients with limb-girdle muscular dystrophies and controls. PMID: 19472918
- The presence of coiled-coil domains in the ktn1/ret fusion protein (PTC8) suggests ligand-independent dimerization and thus constitutive activation of the ret tyrosine kinase domain. PMID: 10850414
顯示更多
收起更多
-
亞細胞定位:Endoplasmic reticulum membrane; Single-pass type II membrane protein. Note=Vesicle membrane protein anchored to the endoplasmic reticulum.
-
蛋白家族:Kinectin family
-
組織特異性:High levels in peripheral blood lymphocytes, testis and ovary, lower levels in spleen, thymus, prostate, small intestine and colon.
-
數據庫鏈接:
Most popular with customers
-
-
YWHAB Recombinant Monoclonal Antibody
Applications: ELISA, WB, IHC, IF, FC
Species Reactivity: Human, Mouse, Rat
-
Phospho-YAP1 (S127) Recombinant Monoclonal Antibody
Applications: ELISA, WB, IHC
Species Reactivity: Human
-
-
-
-
-















