KRT6C Antibody
-
中文名稱:KRT6C兔多克隆抗體
-
貨號:CSB-PA216033
-
規格:¥2024
-
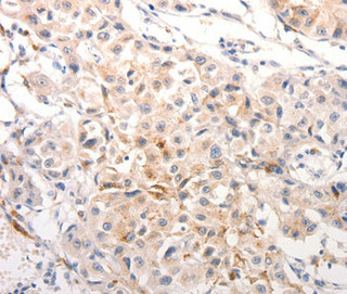
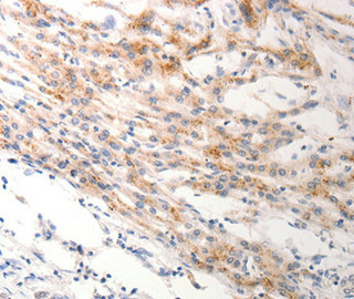
圖片:
-
其他:
產品詳情
-
產品名稱:Rabbit anti-Homo sapiens (Human) KRT6C Polyclonal antibody
-
Uniprot No.:
-
基因名:KRT6C
-
宿主:Rabbit
-
反應種屬:Human,Mouse,Rat
-
免疫原:Synthetic peptide corresponding to a region derived from internal residues of Human keratin 6C
-
免疫原種屬:Homo sapiens (Human)
-
克隆類型:Polyclonal
-
純化方式:Antigen Affinity Purified
-
濃度:It differs from different batches. Please contact us to confirm it.
-
產品提供形式:Liquid
-
應用范圍:ELISA,IHC
-
推薦稀釋比:
Application Recommended Dilution IHC 1:50-1:100 -
Protocols:
-
儲存條件:Upon receipt, store at -20°C or -80°C. Avoid repeated freeze.
-
貨期:Basically, we can dispatch the products out in 1-3 working days after receiving your orders. Delivery time maybe differs from different purchasing way or location, please kindly consult your local distributors for specific delivery time.
-
用途:For Research Use Only. Not for use in diagnostic or therapeutic procedures.
相關產品
靶點詳情
-
基因功能參考文獻:
- Several missense polymorphisms in KRT6A, KRT6B and KRT6C that lead to a higher risk for dental caries. PMID: 29357356
- report on a novel mutation of KRT6C and highlight the inclusion of focal PPK secondary to KRT16 and KRT6C mutations as a milder phenotype within the spectrum of PC PMID: 26301947
- mutation c.1414G>A resulting in an p.Glu472Lys substitution associated with focal plantar keratoderma PMID: 23662636
- Keratin K6c mutations cause focal palmoplantar keratoderma PMID: 19609311
- KRT6C mutations may have a role in focal palmoplantar keratoderma [commentary] PMID: 20081885
顯示更多
收起更多
-
相關疾病:Palmoplantar keratoderma, non-epidermolytic, focal or diffuse (PPKNEFD)
-
蛋白家族:Intermediate filament family
-
組織特異性:Constitutively expressed in distinct types of epithelia such as those in oral mucosa, esophagus, papillae of tongue and hair follicle outer root sheath.
-
數據庫鏈接:
Most popular with customers
-
-
YWHAB Recombinant Monoclonal Antibody
Applications: ELISA, WB, IHC, IF, FC
Species Reactivity: Human, Mouse, Rat
-
Phospho-YAP1 (S127) Recombinant Monoclonal Antibody
Applications: ELISA, WB, IHC
Species Reactivity: Human
-
-
-
-
-















