KRT2 Antibody
-
中文名稱:KRT2兔多克隆抗體
-
貨號:CSB-PA443781
-
規格:¥1100
-
圖片:
-
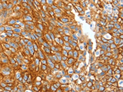
The image on the left is immunohistochemistry of paraffin-embedded Human colon cancer tissue using CSB-PA443781(KRT2 Antibody) at dilution 1/20, on the right is treated with fusion protein. (Original magnification: ×200)
-
The image on the left is immunohistochemistry of paraffin-embedded Human ovarian cancer tissue using CSB-PA443781(KRT2 Antibody) at dilution 1/20, on the right is treated with fusion protein. (Original magnification: ×200)
-
Gel: 10%SDS-PAGE, Lysate: 30 μg, Lane: Jurkat cells, Primary antibody: CSB-PA443781(KRT2 Antibody) at dilution 1/450, Secondary antibody: Goat anti rabbit IgG at 1/8000 dilution, Exposure time: 45 seconds
-
-
其他:
產品詳情
-
Uniprot No.:
-
基因名:KRT2
-
別名:KRT2 antibody; KRT2A antibody; KRT2E antibody; Keratin antibody; type II cytoskeletal 2 epidermal antibody; Cytokeratin-2e antibody; CK-2e antibody; Epithelial keratin-2e antibody; Keratin-2 epidermis antibody; Keratin-2e antibody; K2e antibody; Type-II keratin Kb2 antibody
-
宿主:Rabbit
-
反應種屬:Human,Mouse
-
免疫原:Fusion protein of Human KRT2
-
免疫原種屬:Homo sapiens (Human)
-
標記方式:Non-conjugated
-
抗體亞型:IgG
-
純化方式:Antigen affinity purification
-
濃度:It differs from different batches. Please contact us to confirm it.
-
保存緩沖液:-20°C, pH7.4 PBS, 0.05% NaN3, 40% Glycerol
-
產品提供形式:Liquid
-
應用范圍:ELISA,WB,IHC
-
推薦稀釋比:
Application Recommended Dilution ELISA 1:1000-1:2000 WB 1:200-1:1000 IHC 1:25-1:100 -
Protocols:
-
儲存條件:Upon receipt, store at -20°C or -80°C. Avoid repeated freeze.
-
貨期:Basically, we can dispatch the products out in 1-3 working days after receiving your orders. Delivery time maybe differs from different purchasing way or location, please kindly consult your local distributors for specific delivery time.
-
用途:For Research Use Only. Not for use in diagnostic or therapeutic procedures.
相關產品
靶點詳情
-
功能:Probably contributes to terminal cornification. Associated with keratinocyte activation, proliferation and keratinization. Plays a role in the establishment of the epidermal barrier on plantar skin.
-
基因功能參考文獻:
- Report genetic/clinical spectrum of KRT2 mutations in keratinopathic ichthyosis. PMID: 26581228
- We describe two children with superficial epidermolytic ichthyosis confirmed by genetic testing, including one with a novel mutation. PMID: 22612346
- influence of keratinocyte activation, proliferation, and keratinization on K2e expression in samples of cutaneous and oral lesions (keratin K2e) PMID: 12598329
- novel H1 domain mutation in a family with icthyosis bullosa Siemens PMID: 17408392
-
相關疾病:Ichthyosis bullosa of Siemens (IBS)
-
蛋白家族:Intermediate filament family
-
組織特異性:Expressed in the upper spinous and granular suprabasal layers of normal adult epidermal tissues from most body sites including thigh, breast nipple, foot sole, penile shaft and axilla. Not present in foreskin, squamous metaplasias and carcinomas. Expressi
-
數據庫鏈接:
Most popular with customers
-
-
YWHAB Recombinant Monoclonal Antibody
Applications: ELISA, WB, IHC, IF, FC
Species Reactivity: Human, Mouse, Rat
-
Phospho-YAP1 (S127) Recombinant Monoclonal Antibody
Applications: ELISA, WB, IHC
Species Reactivity: Human
-
-
-
-
-















