KRT13 Antibody
-
中文名稱:KRT13兔多克隆抗體
-
貨號:CSB-PA441632
-
規格:¥1100
-
圖片:
-
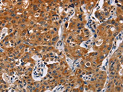
The image on the left is immunohistochemistry of paraffin-embedded Human thyroid cancer tissue using CSB-PA441632(KRT13 Antibody) at dilution 1/50, on the right is treated with fusion protein. (Original magnification: ×200)
-
The image on the left is immunohistochemistry of paraffin-embedded Human lung cancer tissue using CSB-PA441632(KRT13 Antibody) at dilution 1/50, on the right is treated with fusion protein. (Original magnification: ×200)
-
-
其他:
產品詳情
-
Uniprot No.:
-
基因名:
-
別名:47 kDa cytokeratin antibody; CK-13 antibody; CK13 antibody; Cytokeratin 13 antibody; Cytokeratin-13 antibody; K13 antibody; K1C13_HUMAN antibody; Ka13 antibody; Keratin 13 antibody; Keratin antibody; keratin type I cytoskeletal 13 antibody; Keratin-13 antibody; Krt-1.13 antibody; Krt1-13 antibody; KRT13 antibody; MGC161462 antibody; MGC3781 antibody; type I cytoskeletal 13 antibody; Type I keratin Ka13 antibody; WSN2 antibody
-
宿主:Rabbit
-
反應種屬:Human,Mouse,Rat
-
免疫原:Fusion protein of Human KRT13
-
免疫原種屬:Homo sapiens (Human)
-
標記方式:Non-conjugated
-
抗體亞型:IgG
-
純化方式:Antigen affinity purification
-
濃度:It differs from different batches. Please contact us to confirm it.
-
保存緩沖液:-20°C, pH7.4 PBS, 0.05% NaN3, 40% Glycerol
-
產品提供形式:Liquid
-
應用范圍:ELISA,IHC
-
推薦稀釋比:
Application Recommended Dilution ELISA 1:2000-1:5000 IHC 1:5-1:20 -
Protocols:
-
儲存條件:Upon receipt, store at -20°C or -80°C. Avoid repeated freeze.
-
貨期:Basically, we can dispatch the products out in 1-3 working days after receiving your orders. Delivery time maybe differs from different purchasing way or location, please kindly consult your local distributors for specific delivery time.
-
用途:For Research Use Only. Not for use in diagnostic or therapeutic procedures.
相關產品
靶點詳情
-
基因功能參考文獻:
- Oral white sponge nevus may manifest variable clinical features. The novel mutation found in the KRT13 gene is believed to add evidence for a mutational hotspot in the mucosal keratins PMID: 29476668
- this study reports that KRT13 plays a directive role in prostate cancer bone, brain, and soft tissue metastases PMID: 27835867
- Keratin 13 gene is epigenetically suppressed during TGFB1-induced epithelial-mesenchymal transition in a human keratinocyte cell line. PMID: 29326042
- Four rare missense variants were identified (ACTBL2 rs73757391 (5q11.2), BTD rs200337373 (3p25.1), KRT13 rs150321809 (17q21.2) and MC2R rs104894658 (18p11.21)), but only MC2R rs104894668 had a large effect size (OR = 9.66). PMID: 27378695
- KRT13 expression is associated with poor prognosis at multiple stages of disease progression PMID: 27711225
- Loss of CK13 expression is associated with invasive oral squamous cell carcinoma. PMID: 26225699
- Low KRT13 mRNA expression is associated with oral squamous cell carcinoma. PMID: 25735388
- Decreased KRT13 was associated with Esophageal Squamous Cell Carcinoma. PMID: 25851906
- Our data provide mechanistic insights into the epigenetic silencing of KRT13 genes in OSCC cells and might be useful for the development of diagnostic markers and novel therapeutic approaches against OSCCs. PMID: 25527207
- keratin14 expression can be used to detect early epithelial dysplasia, and that keratin13 and keratin17 expression are useful for detecting neoplastic changes PMID: 24471966
- Immunoexpression of CK13 and CK17 in light green-stained superficial cells was associated with more severe morphological atypia in tongue squamous cell carcinoma PMID: 24247036
- Fluorescent keratin 13 integrates into the endogenous keratin cytoskeleton in human vulva carcinoma-derived A431 cells, thereby serving as a reliable marker of keratin dynamics. PMID: 23757496
- Loss of K13 in oral carcinoma in situ is partly due to its gene repression, but may also be due to some unknown post-translational events. PMID: 22301701
- Keratin 13 is a more specific marker of conjunctival epithelium than keratin 19. PMID: 21738394
- CK13 expression is elevated in KB cells treated with all-trans retinoic acid or arsenic trioxide. PMID: 19489262
- exhibits a regular expression pattern in luminal epithelial cells of secretory phase human endometrium PMID: 11906920
- Metaplastic squamous cells differentiate with a decrease of CK18 and an increase of CK13 expression. PMID: 16836912
- CK13 positive staining occurs in cervical squamous tumors and in mucinous cervical type adenocarcinomas, while there was no positive staining in non-neoplastic cervical glandular elements PMID: 16949723
- The different ligand regulations of KRT13 are due to ligand-differential recruitment of ER and coactivators. PMID: 18951949
顯示更多
收起更多
-
相關疾病:White sponge nevus 2 (WSN2)
-
蛋白家族:Intermediate filament family
-
組織特異性:Expressed in some epidermal sweat gland ducts (at protein level) and in exocervix, esophagus and placenta.
-
數據庫鏈接:
Most popular with customers
-
-
YWHAB Recombinant Monoclonal Antibody
Applications: ELISA, WB, IHC, IF, FC
Species Reactivity: Human, Mouse, Rat
-
Phospho-YAP1 (S127) Recombinant Monoclonal Antibody
Applications: ELISA, WB, IHC
Species Reactivity: Human
-
-
-
-
-















