KNG1 Antibody
-
中文名稱:KNG1兔多克隆抗體
-
貨號:CSB-PA14647A0Rb
-
規格:¥440
-
圖片:
-
Western blot
All lanes: KNG1 antibody at 2µg/ml
Lane 1: HepG2 whole cell lysate
Lane 2: 293T whole cell lysate
Secondary
Goat polyclonal to rabbit IgG at 1/10000 dilution
Predicted band size: 72, 48, 44 kDa
Observed band size: 72 kDa -
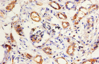
Immunohistochemistry of paraffin-embedded human kidney tissue using CSB-PA14647A0Rb at dilution of 1:50
-
Immunofluorescent analysis of HepG2 cells using CSB-PA14647A0Rb at dilution of 1:100 and Alexa Fluor 488-congugated AffiniPure Goat Anti-Rabbit IgG(H+L)
-
-
其他:
產品詳情
-
產品名稱:Rabbit anti-Homo sapiens (Human) KNG1 Polyclonal antibody
-
Uniprot No.:
-
基因名:
-
別名:Alpha-2-thiol proteinase inhibitor antibody; BDK antibody; BK antibody; Bradykinin antibody; Bradykinin included antibody; Fitzgerald factor antibody; FLAUJEAC FACTOR antibody; High molecular weight kininogen antibody; HMWK antibody; Ile-Ser-Bradykinin antibody; Kallidin I antibody; Kallidin II antibody; KNG antibody; KNG1 antibody; KNG1_HUMAN antibody; Low molecular weight growth-promoting factor antibody; WILLIAMS FACTOR antibody; Williams-Fitzgerald-Flaujeac factor antibody
-
宿主:Rabbit
-
反應種屬:Human
-
免疫原:Recombinant Human Kininogen-1 protein (390-644AA)
-
免疫原種屬:Homo sapiens (Human)
-
標記方式:Non-conjugated
本頁面中的產品,KNG1 Antibody (CSB-PA14647A0Rb),的標記方式是Non-conjugated。對于KNG1 Antibody,我們還提供其他標記。見下表:
-
克隆類型:Polyclonal
-
抗體亞型:IgG
-
純化方式:>95%, Protein G purified
-
濃度:It differs from different batches. Please contact us to confirm it.
-
保存緩沖液:Preservative: 0.03% Proclin 300
Constituents: 50% Glycerol, 0.01M PBS, PH 7.4 -
產品提供形式:Liquid
-
應用范圍:ELISA, WB, IHC, IF
-
推薦稀釋比:
Application Recommended Dilution WB 1:500-1:2000 IHC 1:20-1:200 IF 1:50-1:200 -
Protocols:
-
儲存條件:Upon receipt, store at -20°C or -80°C. Avoid repeated freeze.
-
貨期:Basically, we can dispatch the products out in 1-3 working days after receiving your orders. Delivery time maybe differs from different purchasing way or location, please kindly consult your local distributors for specific delivery time.
-
用途:For Research Use Only. Not for use in diagnostic or therapeutic procedures.
相關產品
靶點詳情
-
功能:(1) Kininogens are inhibitors of thiol proteases; (2) HMW-kininogen plays an important role in blood coagulation by helping to position optimally prekallikrein and factor XI next to factor XII; (3) HMW-kininogen inhibits the thrombin- and plasmin-induced aggregation of thrombocytes; (4) the active peptide bradykinin that is released from HMW-kininogen shows a variety of physiological effects: (4A) influence in smooth muscle contraction, (4B) induction of hypotension, (4C) natriuresis and diuresis, (4D) decrease in blood glucose level, (4E) it is a mediator of inflammation and causes (4E1) increase in vascular permeability, (4E2) stimulation of nociceptors (4E3) release of other mediators of inflammation (e.g. prostaglandins), (4F) it has a cardioprotective effect (directly via bradykinin action, indirectly via endothelium-derived relaxing factor action); (5) LMW-kininogen inhibits the aggregation of thrombocytes; (6) LMW-kininogen is in contrast to HMW-kininogen not involved in blood clotting.
-
基因功能參考文獻:
- Kininogen binds to the cell surface-exposed proteins of Candida parapsilosis. PMID: 28651026
- Three loci showed robust, replicating association with circulating FXI levels: KNG1 (rs710446, P-value = 2.07 x 10-302), F11 (rs4253417, P-value = 2.86 x 10-193), and a novel association in GCKR (rs780094, P-value = 3.56 x10-09), here for the first time implicated in FXI regulation. The two first SNPs (rs710446 and rs4253417) also associated with partial thromboplastin time PMID: 28053049
- findings show that the KNG1 locus plays a central role as a genetic determinant of the entire coagulation pathway and thrombus/clot formation PMID: 28005926
- Urinary KNG1 and RBP4 clearly respond to AKI. Additionally, RBP4 could predict recovery by monitoring this protein levels over time after AKI, as RBP4 reflects patient's normalization earlier than sCr values do. PMID: 26792617
- KNG1 rs710446/ rs2304456 SNPs are not related to the incidence of Alzheimer's disease in a Hunan Han Chinese population. PMID: 26884824
- Low urine KNG1 expression is associated with clear cell renal cell carcinoma. PMID: 26420021
- The results of this study supported the association of the epistatic interactions of ALOX5AP, THBD, and KNG1 and present novel evidence for the main effect of KNG1 gene on IS susceptibility. PMID: 26159646
- Bradykinin stimulates pro-contractile signalling mechanisms in human myometrial cells and arrestin proteins play key roles in their regulation. PMID: 25766502
- Measuring plasma levels of cleaved HK may be a sensitive mean of assessing disease severity in HAE-C1-INH patients. PMID: 24552232
- The antimicrobial protein kininogen evolved adaptively in mammals and human populations. PMID: 23505046
- results demonstrate that HKa accelerates the onset of EPC senescence by stimulating JNK/FOXO4/MnSOD pathway, its effect is mediated by the HC PMID: 24984152
- When the concentrations of IGFBP-6 or KNG1 were greater than 98.5 pg/ml or 88.5 ng/ml, respectively, they predicted the proliferative vitreoretinopathy prognosis. PMID: 23808406
- uPAR mediates efferocytosis through high molecular weight kininogen interaction with phosphatidylserine on apoptotic cells PMID: 24688027
- these results suggest that D5(H) of high molecular weight kininogen may modulate cell adhesion and invasion together with actinin-4. PMID: 23000411
- KNG1 and F11 are the main genetic regulators of plasma FXI level. PMID: 22701019
- The results showed that bradykinin stimulates Toll-like receptor 2 transcription and translation by activation of protein kinase C as well as proto-oncogene protein AKT. PMID: 21982724
- kininogen-1 and thymosin-beta(4) are potential new biomarkers for human chronic hepatitis C. PMID: 21496200
- Bacteroides fragilis and Bacteroides thetaiotaomicron, were found to bind HK and fibrinogen PMID: 21527472
- High molecular weight kininogen activates B2 receptor signaling pathway in human vascular endothelial cells. PMID: 21586566
- Kininogen-1 and IGFBP-6 are expressed in serum and vitreous humor in proliferative vitreoretinopathy patients. PMID: 21054968
- Bradykinin, acting via bradykinin 2 receptors, initiates an important signal directing the invasion of glioma patients' cells toward blood vessels. PMID: 21451024
- KNG1 Ile581Thr and susceptibility to venous thrombosis. PMID: 21270443
- expression of ACE is lowest in elderly women, despite the presence of similar BK degradation in pericardial fluid PMID: 19592120
- These findings provide the first genome-wide significant evidence of association with plasma adiponectin at the CDH13 locus and identify a novel uncommon KNG1-ADIPOQ haplotype strongly associated with adiponectin levels in Filipinos. PMID: 20876611
- KNG1 SNP rs710448 (allele frequency 42%) was associated with decreased risk (OR 0.44, 95% CI 0.3-0.8) among women but not men. PMID: 19716087
- High-glucose stimulates tubular proinflammatory, profibrotic and angiogenic signals, which is partly mediated through bradykinin via MAPK signalling and partly through protein kinase C independent of bradykinin. PMID: 19923143
- Single Nucleotide Polymorphisms in KNG1 is associated with activated partial thromboplastin time. PMID: 20303064
- our findings suggest that bradykinin and bradykinin B2 receptors are involved in the modulation of mechanisms participating in inflammatory synovitis PMID: 20050188
- Bradykinin enhances the migration of chondrosarcoma cells by increasing alpha2beta1 integrin expression through the BK receptors/PLC/PKCdelta/NF-kappaB signal transduction pathway. PMID: 19885862
- High molecular weight kininogen (HKa) mimics lipopolysaccharides by triggering a paracrine pathway in monocytes that depends on TNF-alpha and IL-1beta. Upregulation of tissue factor in monocytes by cleaved HKa is dependent on TNF-alpha and IL-1beta. PMID: 19966052
- inhibition of vitronectin-mediated haptotaxis and haptoinvasion of MG-63 cells by domain 5 PMID: 11689005
- Heat shock protein 90 catalyzes activation of the prekallikrein-kininogen complex in the absence of factor XII. PMID: 11792853
- down-regulates cathepsin G-induced platelet activation by forming a complex with cathepsin G and thus prevents binding of cathepsin G to platelets PMID: 11920276
- a defined region can abolish platelet adhesion to vitronectin and block platelet aggregation PMID: 11970955
- Ferritin binds to light chain of human H-kininogen and inhibits kallikrein-mediated bradykinin release. PMID: 12071855
- kininogen has as role as a antithrombotic agent by inhibiting plasminogen activator inhibitor-1 PMID: 12082110
- Bradykinin induces IL-6 production in human airway smooth muscle cells. PMID: 12594059
- free HK, or HK in complex with prekallikrein but not in complex with factor XI, interacts with the endothelium and can maintain endothelial cell quiescence by preventing endothelial stimulation by thrombin. PMID: 12663668
- transcriptional activation of the interleukin-8 promoter by bradykinin involves the prostanoid-independent activation of nuclear factor-kappaB, and prostanoid-dependent activation of activating protein-1 and nuclear factor-interleukin-6 PMID: 12748173
- kininogen is a novel and direct target of farnesoid X receptor PMID: 12761213
- Bradykinin is a powerful spasmogen via B(2) receptor activation in the normal and, especially, in the inflamed human gallbladder. PMID: 12851878
- sequences in domain 5 of high molecular weight kininogen interact with heparin and zinc PMID: 12911595
- High molecular weight kininogen regulates platelet-leukocyte interactions by bridging Mac-1 and glycoprotein Ib PMID: 12952972
- His-Gly-Lys motif and lysine residue (Lys487) play essential roles in inhibition of cell adhesion and invasion in vitro and in prevention of metastasis of cancer cells in vivo PMID: 14506238
- COX-2 induction by bradykinin in human pulmonary artery smooth muscle cells is mediated by the cyclic AMP response element through a novel autocrine loop involving endogenous prostaglandin E2, EP2 receptor, and EP4 receptor PMID: 14517215
- binds with high specificity and affinity to microvascular endothelial cells, but with lower affinity to astrocytes; cytokeratin 1, u-PAR,and gC1qR were found to be high molecular weight kininogen binding proteins present at the surface of these cells PMID: 14597972
- The rate of kallikrein formation by the assembly of factor XII, high molecular weight KNG and PK were similar in both heparinase-treated and non-treated HUVEC, indicating that heparan sulfate does not contribute significantly to HK binding to HUVEC. PMID: 14629481
- physically disrupts the formation of a signaling complex containing uPAR, integrin alpha(v)beta3 or alpha5beta1, caveolin, and Src kinase Yes in endothelial cells in a manner that parallels its apoptotic effect PMID: 15044324
- ACE-I-induced renoprotection, in the context of macrophage-stimulated mesangial cell scarring, is mediated, at least in part, via the actions of bradykinin. PMID: 15086463
- high molecular weight kininogen has an antibacterial domain, called domain 5 PMID: 16091369
顯示更多
收起更多
-
相關疾病:High molecular weight kininogen deficiency (HMWK deficiency)
-
亞細胞定位:Secreted, extracellular space.
-
組織特異性:Secreted in plasma. T-kinin is detected in malignant ovarian, colon and breast carcinomas, but not in benign tumors.
-
數據庫鏈接:
Most popular with customers
-
YWHAB Recombinant Monoclonal Antibody
Applications: ELISA, WB, IHC, IF, FC
Species Reactivity: Human, Mouse, Rat
-
Phospho-YAP1 (S127) Recombinant Monoclonal Antibody
Applications: ELISA, WB, IHC
Species Reactivity: Human
-
-
-
-
-
-















