KLHL20 Antibody
-
中文名稱:KLHL20兔多克隆抗體
-
貨號:CSB-PA22879A0Rb
-
規格:¥440
-
圖片:
-
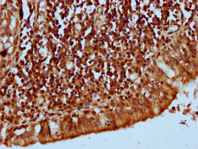
IHC image of CSB-PA22879A0Rb diluted at 1:300 and staining in paraffin-embedded human brain tissue performed on a Leica BondTM system. After dewaxing and hydration, antigen retrieval was mediated by high pressure in a citrate buffer (pH 6.0). Section was blocked with 10% normal goat serum 30min at RT. Then primary antibody (1% BSA) was incubated at 4°C overnight. The primary is detected by a biotinylated secondary antibody and visualized using an HRP conjugated SP system.
-
IHC image of CSB-PA22879A0Rb diluted at 1:300 and staining in paraffin-embedded human lung tissue performed on a Leica BondTM system. After dewaxing and hydration, antigen retrieval was mediated by high pressure in a citrate buffer (pH 6.0). Section was blocked with 10% normal goat serum 30min at RT. Then primary antibody (1% BSA) was incubated at 4°C overnight. The primary is detected by a biotinylated secondary antibody and visualized using an HRP conjugated SP system.
-
Immunofluorescence staining of Hela cells with CSB-PA22879A0Rb at 1:100, counter-stained with DAPI. The cells were fixed in 4% formaldehyde, permeabilized using 0.2% Triton X-100 and blocked in 10% normal Goat Serum. The cells were then incubated with the antibody overnight at 4°C. The secondary antibody was Alexa Fluor 488-congugated AffiniPure Goat Anti-Rabbit IgG(H+L).
-
-
其他:
產品詳情
-
產品名稱:Rabbit anti-Homo sapiens (Human) KLHL20 Polyclonal antibody
-
Uniprot No.:
-
基因名:KLHL20
-
別名:Kelch like ECT2 interacting protein antibody; Kelch like protein 20 antibody; Kelch like protein X antibody; Kelch motif containing protein antibody; Kelch-like ECT2-interacting protein antibody; Kelch-like protein 20 antibody; Kelch-like protein X antibody; KHLHX antibody; KLEIP antibody; KLH20_HUMAN antibody; KLHL20 antibody; KLHLX antibody; RP3-383J4.3 antibody
-
宿主:Rabbit
-
反應種屬:Human
-
免疫原:Recombinant Human Kelch-like protein 20 protein (1-200AA)
-
免疫原種屬:Homo sapiens (Human)
-
標記方式:Non-conjugated
本頁面中的產品,KLHL20 Antibody (CSB-PA22879A0Rb),的標記方式是Non-conjugated。對于KLHL20 Antibody,我們還提供其他標記。見下表:
-
克隆類型:Polyclonal
-
抗體亞型:IgG
-
純化方式:>95%, Protein G purified
-
濃度:It differs from different batches. Please contact us to confirm it.
-
保存緩沖液:Preservative: 0.03% Proclin 300
Constituents: 50% Glycerol, 0.01M PBS, pH 7.4 -
產品提供形式:Liquid
-
應用范圍:ELISA, IHC, IF
-
推薦稀釋比:
Application Recommended Dilution IHC 1:200-1:500 IF 1:50-1:200 -
Protocols:
-
儲存條件:Upon receipt, store at -20°C or -80°C. Avoid repeated freeze.
-
貨期:Basically, we can dispatch the products out in 1-3 working days after receiving your orders. Delivery time maybe differs from different purchasing way or location, please kindly consult your local distributors for specific delivery time.
-
用途:For Research Use Only. Not for use in diagnostic or therapeutic procedures.
相關產品
靶點詳情
-
功能:Substrate-specific adapter of a BCR (BTB-CUL3-RBX1) E3 ubiquitin-protein ligase complex involved in interferon response and anterograde Golgi to endosome transport. The BCR(KLHL20) E3 ubiquitin ligase complex mediates the ubiquitination of DAPK1, leading to its degradation by the proteasome, thereby acting as a negative regulator of apoptosis. The BCR(KLHL20) E3 ubiquitin ligase complex also specifically mediates 'Lys-33'-linked ubiquitination. Involved in anterograde Golgi to endosome transport by mediating 'Lys-33'-linked ubiquitination of CORO7, promoting interaction between CORO7 and EPS15, thereby facilitating actin polymerization and post-Golgi trafficking. Also acts as a regulator of endothelial migration during angiogenesis by controlling the activation of Rho GTPases. The BCR(KLHL20) E3 ubiquitin ligase complex acts as a regulator of neurite outgrowth by mediating ubiquitination and degradation of PDZ-RhoGEF/ARHGEF11. In case of tumor, the BCR(KLHL20) E3 ubiquitin ligase complex is involved in tumor hypoxia: following hypoxia, the BCR(KLHL20)complex mediates ubiquitination and degradation of PML, potentiating HIF-1 signaling and cancer progression.
-
基因功能參考文獻:
- Study identifies a key role of Cul3-KLHL20 in autophagy termination by controlling autophagy-dependent turnover of ULK1 and VPS34 complex subunits and reveals the pathophysiological functions of this autophagy termination mechanism. PMID: 26687681
- study reveals a function of KLHL20-mediated, K33-linked ubiquitination of Crn7 in the assembly of (trans-Golgi network )TGN-associated F-actin to promote post-Golgi trafficking and identifies a cellular decoding mechanism for this ubiquitin chain type. PMID: 24768539
- These results indicate that KLHL20 is a novel player that regulates HIF-2alpha protein expression through mechanisms independent of hypoxia and pVHL. PMID: 21888897
- study indicates that the KLHL20-mediated PML degradation and HIF-1alpha autoregulation play key roles in tumor progression PMID: 21840486
- BTB-kelch protein KLEIP, a novel regulator of endothelial function during angiogenesis, controls the vascular endothelial growth factor (VEGF)-induced activation of Rho GTPases. PMID: 17395875
顯示更多
收起更多
-
亞細胞定位:Cytoplasm, perinuclear region. Nucleus. Golgi apparatus, trans-Golgi network. Cell projection, axon. Cell projection, dendrite.
-
數據庫鏈接:
Most popular with customers
-
-
YWHAB Recombinant Monoclonal Antibody
Applications: ELISA, WB, IHC, IF, FC
Species Reactivity: Human, Mouse, Rat
-
Phospho-YAP1 (S127) Recombinant Monoclonal Antibody
Applications: ELISA, WB, IHC
Species Reactivity: Human
-
-
-
-
-















