KLF15 Antibody
-
中文名稱:KLF15兔多克隆抗體
-
貨號:CSB-PA103566
-
規格:¥1100
-
圖片:
-
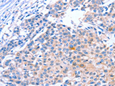
The image on the left is immunohistochemistry of paraffin-embedded Human liver cancer tissue using CSB-PA103566(KLF15 Antibody) at dilution 1/30, on the right is treated with fusion protein. (Original magnification: ×200)
-
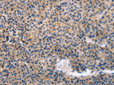
The image on the left is immunohistochemistry of paraffin-embedded Human breast cancer tissue using CSB-PA103566(KLF15 Antibody) at dilution 1/30, on the right is treated with fusion protein. (Original magnification: ×200)
-
-
其他:
產品詳情
-
Uniprot No.:
-
基因名:KLF15
-
別名:Kidney enriched Kruppel like factor antibody; Kidney-enriched krueppel-like factor antibody; KKLF antibody; KKLF protein antibody; KLF 15 antibody; KLF15 antibody; KLF15_HUMAN antibody; Krueppel-like factor 15 antibody; Kruppel like factor 15 antibody
-
宿主:Rabbit
-
反應種屬:Human,Mouse
-
免疫原:Fusion protein of Human KLF15
-
免疫原種屬:Homo sapiens (Human)
-
標記方式:Non-conjugated
-
抗體亞型:IgG
-
純化方式:Antigen affinity purification
-
濃度:It differs from different batches. Please contact us to confirm it.
-
保存緩沖液:-20°C, pH7.4 PBS, 0.05% NaN3, 40% Glycerol
-
產品提供形式:Liquid
-
應用范圍:ELISA,IHC
-
推薦稀釋比:
Application Recommended Dilution ELISA 1:2000-1:5000 IHC 1:25-1:100 -
Protocols:
-
儲存條件:Upon receipt, store at -20°C or -80°C. Avoid repeated freeze.
-
貨期:Basically, we can dispatch the products out in 1-3 working days after receiving your orders. Delivery time maybe differs from different purchasing way or location, please kindly consult your local distributors for specific delivery time.
-
用途:For Research Use Only. Not for use in diagnostic or therapeutic procedures.
相關產品
靶點詳情
-
功能:Transcriptional regulator that binds to the GA element of the CLCNKA promoter. Binds to the KCNIP2 promoter and regulates KCNIP2 circadian expression in the heart. Is a repressor of CCN2 expression, involved in the control of cardiac fibrosis. It is also involved in the control of cardiac hypertrophy acting through the inhibition of MEF2A and GATA4. Involved in podocyte differentiation. Inhibits MYOCD activity. Is a negative regulator of TP53 acetylation. Inhibits NF-kappa-B activation through repression of EP300-dependent RELA acetylation.
-
基因功能參考文獻:
- KLF15 over expression suppressed lung adenocarcinma cell growth, which was partly mediated by up-regulation of CDKN1A/p21 and CDKN2A/p15 expression. PMID: 29990857
- low expression of KLF15 was associated with chronic podocyte injury. PMID: 29901095
- the results of the present study suggested that overexpression of KLF15 in Eahy926 cells exhibited a protective effect against TNFalpha induced dysfunction via activation of Nrf2 signaling and inhibition of nuclear factor kappaB signaling. PMID: 29956764
- This review provides a summary of the experimental and human studies that have investigated the role of KLF15 in the development of cardiac hypertrophy. [review] PMID: 29702551
- analysis of the role of KLF15 in type 2 diabetes patients with left ventricle hypertrophy (LVH) has really advanced the importance of KLF15 in the physiology and pathophysiology of cardiac conditions, and also promoted us to understand the mechanism of type 2 diabetes-induced LVH. All these will lay a theoretical foundation for the potentially clinical prevention and treatment of LVH. PMID: 28499925
- The KLF15 SNP rs9838915 A allele was associated in a dominant manner with Left ventricular mass before and after adjustment for age, gender, body mass index and hypertension, and with adjusted septal and posterior wall thickness. PMID: 28400202
- KLF15 activates SOX9 expression directly. SOX9 is involved in KLF15 function during chondrogenic differentiation. PMID: 28923246
- study identifies novel genes associated with insulin sensitivity in adipocytes in women independently of obesity. KFL15 and SLC25A10 are inhibitors of insulin-stimulated lipogenesis under conditions when glucose transport is the rate limiting step PMID: 28570579
- In general, our study revealed that KLF15 is dramatically down-regulated in GC tissues and cell lines and that KLF15 is negatively associated with aggressive clinical characteristics, such as tumor stage, lymph node metastasis, and DFS. Importantly, up-regulation of KLF15 inhibits cell proliferation by regulating CDKN1A/p21 and CDKN1C/p57. PMID: 28421457
- KLF15 is directly induced by glucocorticoids in primary human airway smooth muscle and it represses ASM hypertrophy. PMID: 28375666
- the expression of KLF15 increased in the RA-treated cells regardless of fluidic condition PMID: 28320523
- In breast cancer cells, KLF6 and KLF15 are suppressed via miR-4262. PMID: 27629257
- Findings suggest that, in obese status, the lower expression level of A2bAR, KLF4, and KLF15 of visceral adipose tissue may correlate with obese-dyslipidemia induced inflammation in Uygur population. PMID: 27199507
- Case Reports: 2 girls with primary renal myoepithelial carcinomas with a novel EWSR1-KLF15 fusion. PMID: 26523541
- Our results indicate that nuclear KLF15 expression suppresses breast cancer cell proliferation at least partially through p21 up-regulation and subsequent cell cycle arrest PMID: 25869021
- KLF15 as a key regulator of myocardial lipid utilization and is the first to implicate the KLF transcription factor family in cardiac metabolism. PMID: 24407292
- A previously unrecognized KLF15-dependent pathway regulates vascular smooth muscle cell proinflammatory activation. PMID: 23999430
- a critical role of KLF15 in mediating podocyte differentiation and in protecting podocytes against injury. PMID: 22493483
- Elucidation of this heretofore unrecognized role for KLF15 now implicates this factor as a central component of the transcriptional circuitry that coordinates physiologic flux of all three basic cellular nutrients: glucose, amino acids, and lipids PMID: 22493257
- Nitrogen homeostasis exhibits circadian rhythmicity, and is orchestrated by Kruppel-like factor 15. PMID: 22405069
- serves as a molecular link between myogenic factors and the activity of the D4Z4 enhancer, and it thus contributes to the overexpression of the DUX4c and FRG2 genes during normal myogenic differentiation and in FSHD. PMID: 21937448
- the GR target, Klf15, has a role in modulating airway function PMID: 21257922
- Kruppel-like factor 15 activates hepatitis B virus gene expression and replication. PMID: 21503941
- Glucocorticoid receptors promote adipogenesis via KLF15 gene expression as a transcriptional direct target. PMID: 20956975
- KLF11, but not KLF15, was essential for UCP1 expression during brown adipocyte differentiation of muBM3.1. PMID: 20709022
- Deficiency of the transcriptional regulator Kruppel-like factor 15 (Klf15) in mice leads to both heart failure and aortic aneurysm and Klf15 concentrations are markedly reduced in failing human hearts and in human aortic aneurysm tissues. PMID: 20375365
- Both Kruppel-like factor 15 and specificity protein 1 binding motifs are essential for human LRP5 promoter activity. PMID: 20141633
- KLF15 binds to multiple 9 bp consensus sites in the Rhodospin and IRBP promoters including the CRS-1 and G-rich repressor elements. An in vivo role for KLF15 in repressing photoreceptor-specific gene expression in the inner retina is hypothesized. PMID: 15963234
- These studies identify KLF15 as part of a heretofore unrecognized pathway regulating the cardiac response to hemodynamic stress PMID: 17438289
- KLF15 is a negative regulator of connective tissue growth factor expression and cardiac fibrosis. PMID: 18586263
- KLF15 is potentially a novel link between the regulation of testosterone production and fat stores by insulin in humans. PMID: 19366843
顯示更多
收起更多
-
相關疾病:KLF15 deficiency results in loss of rhythmic QT variation and abnormal heart repolarization (PubMed:22367544). It may play a role in susceptibility to ventricular arrhythmias (PubMed:22367544), and development of pathological cardiac hypertrophy leading to heart failure (PubMed:20375365).
-
亞細胞定位:Nucleus.
-
蛋白家族:Sp1 C2H2-type zinc-finger protein family
-
組織特異性:Highly expressed in liver, skeletal muscle, and kidney. Expressed in cardiomyocytes. Expression is highly reduced in cardiac tissue of patients with non-ischemic cardiomyopathy and aortic aneurysm, and in glomerular disease. Not expressed in bone marrow o
-
數據庫鏈接:
Most popular with customers
-
-
YWHAB Recombinant Monoclonal Antibody
Applications: ELISA, WB, IHC, IF, FC
Species Reactivity: Human, Mouse, Rat
-
Phospho-YAP1 (S127) Recombinant Monoclonal Antibody
Applications: ELISA, WB, IHC
Species Reactivity: Human
-
-
-
-
-















