KIF4A Antibody
-
中文名稱:KIF4A兔多克隆抗體
-
貨號:CSB-PA068103
-
規格:¥1100
-
圖片:
-
The image on the left is immunohistochemistry of paraffin-embedded Human brain tissue using CSB-PA068103(KIF4A Antibody) at dilution 1/40, on the right is treated with synthetic peptide. (Original magnification: ×200)
-
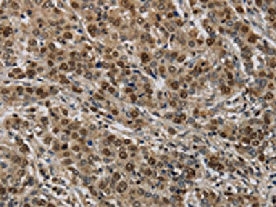
The image on the left is immunohistochemistry of paraffin-embedded Human liver cancer tissue using CSB-PA068103(KIF4A Antibody) at dilution 1/40, on the right is treated with synthetic peptide. (Original magnification: ×200)
-
-
其他:
產品詳情
-
Uniprot No.:
-
基因名:KIF4A
-
別名:Chromokinesin antibody; Chromokinesin-A antibody; Chromosome associated kinesin KIF4A antibody; Chromosome-associated kinesin KIF4A antibody; FLJ12530 antibody; FLJ12655 antibody; FLJ14204 antibody; FLJ20631 antibody; HSA271784 antibody; KIF4 antibody; KIF4 G1 antibody; KIF4A antibody; KIF4A_HUMAN antibody; KIF4G1 antibody; Kinesin family member 4A antibody
-
宿主:Rabbit
-
反應種屬:Human,Mouse
-
免疫原:Synthetic peptide of Human KIF4A
-
免疫原種屬:Homo sapiens (Human)
-
標記方式:Non-conjugated
-
抗體亞型:IgG
-
純化方式:Antigen affinity purification
-
濃度:It differs from different batches. Please contact us to confirm it.
-
保存緩沖液:-20°C, pH7.4 PBS, 0.05% NaN3, 40% Glycerol
-
產品提供形式:Liquid
-
應用范圍:ELISA,IHC
-
推薦稀釋比:
Application Recommended Dilution ELISA 1:2000-1:10000 IHC 1:50-1:200 -
Protocols:
-
儲存條件:Upon receipt, store at -20°C or -80°C. Avoid repeated freeze.
-
貨期:Basically, we can dispatch the products out in 1-3 working days after receiving your orders. Delivery time maybe differs from different purchasing way or location, please kindly consult your local distributors for specific delivery time.
-
用途:For Research Use Only. Not for use in diagnostic or therapeutic procedures.
相關產品
靶點詳情
-
功能:Iron-sulfur (Fe-S) cluster binding motor protein that has a role in chromosome segregation during mitosis. Translocates PRC1 to the plus ends of interdigitating spindle microtubules during the metaphase to anaphase transition, an essential step for the formation of an organized central spindle midzone and midbody and for successful cytokinesis. May play a role in mitotic chromosomal positioning and bipolar spindle stabilization.
-
基因功能參考文獻:
- High KIF4A expression is associated with lung cancer. PMID: 28160558
- decrease in Aurora B results in diminished binding of the chromokinesin Kif4A to chromosome arms. PMID: 28821562
- Neither KIF4A nor condensin I alone can sufficiently accumulate on the chromosomal axis and confer physiological properties to chromosomes, thus establishing that the functions of KIF4A and condensin I are inseparable PMID: 27633014
- Chromokinesin represents a kinesin superfamily regulating cell division through chromosome and spindle. (Review) PMID: 27196062
- Hepatitis B virus activates the KIF4A gene promoter and upregulates the mRNA and protein expression of KIF4A. PMID: 25998931
- KIF4A and PP2A-B56G and -B56E create a spatially restricted negative feedback loop counteracting Aurora B in anaphase. PMID: 25512391
- KIF4A might be a key regulator for tumoral progression in OSCCs. PMID: 24386490
- Genetic association of KIF4A and KIF5C mutations in intellectual disability and synaptic function. PMID: 24812067
- The KIF4A phosphorylation by Aurora B stimulates the maximal microtubule-dependent ATPase activity of KIF4A and promotes its interaction with PRC1. PMID: 23940115
- Studies reveal how interactions between the conserved nonmotor MAP, PRC1, and the motor protein, kinesin-4, generate filament length-dependent tags at microtubule plus ends. PRC1 tags ends of microtubules in dividing cells and the size of these tags increases linearly with filament length. PMID: 23870126
- KIF4 regulates midzone length during cytokinesis. PMID: 21565503
- Loss of KIF4 expression is associated with gastric carcinoma. PMID: 20711700
- Results demonstrating association of KIF4 with BRAF35 through the interaction of their respective alpha-helical coiled-coil domains is unique so far in mammals. PMID: 12809554
- These results suggest that KIF4 is involved in cytokinesis, although direct evidence was not provided in this study. PMID: 15031677
- KIF4 and its binding partner protein regulator of cytokinesis 1 play essential roles in the organization of central spindles and midzone formation PMID: 15297875
- Human KIF4A is an essential chromosome-associated molecular motor involved in faithful chromosome segregation. HKIF4A localizes in the nucleoplasm during interphase and on condensed chromosome arms during mitosis. PMID: 15326200
- role of PRC1 in midzone formation, indicate that cell cycle-dependent translocation of PRC1 by Kif4 is essential for midzone formation and cytokinesis. PMID: 15625105
- Zip1 and CR motifs are important for Kif4A chromatin-binding and its mitotic function. PMID: 18502200
- results suggest a novel role for a chromokinesin family member Kif4 in the DNA damage response by modulating the BRCA2/Rad51 pathway PMID: 18604178
- These studies identify a novel transit station through which Gag traffics en route to particle assembly and highlight the importance of KIF4 in regulating HIV-1 Gag trafficking and stability. PMID: 18684836
顯示更多
收起更多
-
亞細胞定位:Nucleus matrix. Cytoplasm. Cytoplasm, cytoskeleton, spindle. Midbody. Chromosome.
-
蛋白家族:TRAFAC class myosin-kinesin ATPase superfamily, Kinesin family, Chromokinesin subfamily
-
組織特異性:Highly expressed in hematopoietic tissues, fetal liver, spleen, thymus and adult thymus and bone marrow. Lower levels are found in heart, testis, kidney, colon and lung.
-
數據庫鏈接:
Most popular with customers
-
YWHAB Recombinant Monoclonal Antibody
Applications: ELISA, WB, IHC, IF, FC
Species Reactivity: Human, Mouse, Rat
-
Phospho-YAP1 (S127) Recombinant Monoclonal Antibody
Applications: ELISA, WB, IHC
Species Reactivity: Human
-
-
-
-
-
-















