KIF25 Antibody
-
中文名稱:KIF25兔多克隆抗體
-
貨號:CSB-PA883440LA01HU
-
規格:¥440
-
圖片:
-
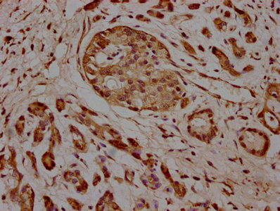
IHC image of CSB-PA883440LA01HU diluted at 1:100 and staining in paraffin-embedded human pancreatic cancer performed on a Leica BondTM system. After dewaxing and hydration, antigen retrieval was mediated by high pressure in a citrate buffer (pH 6.0). Section was blocked with 10% normal goat serum 30min at RT. Then primary antibody (1% BSA) was incubated at 4°C overnight. The primary is detected by a biotinylated secondary antibody and visualized using an HRP conjugated SP system.
-
-
其他:
產品詳情
-
產品名稱:Rabbit anti-Homo sapiens (Human) KIF25 Polyclonal antibody
-
Uniprot No.:
-
基因名:KIF25
-
別名:KIF25 antibody; KNSL3Kinesin-like protein KIF25 antibody; Kinesin-like protein 3 antibody
-
宿主:Rabbit
-
反應種屬:Human
-
免疫原:Recombinant Human Kinesin-like protein KIF25 protein (1-262AA)
-
免疫原種屬:Homo sapiens (Human)
-
標記方式:Non-conjugated
本頁面中的產品,KIF25 Antibody (CSB-PA883440LA01HU),的標記方式是Non-conjugated。對于KIF25 Antibody,我們還提供其他標記。見下表:
-
克隆類型:Polyclonal
-
抗體亞型:IgG
-
純化方式:Antigen Affinity Purified
-
濃度:It differs from different batches. Please contact us to confirm it.
-
保存緩沖液:Preservative: 0.03% Proclin 300
Constituents: 50% Glycerol, 0.01M PBS, pH 7.4 -
產品提供形式:Liquid
-
應用范圍:ELISA, IHC
-
推薦稀釋比:
Application Recommended Dilution IHC 1:20-1:200 -
Protocols:
-
儲存條件:Upon receipt, store at -20°C or -80°C. Avoid repeated freeze.
-
貨期:Basically, we can dispatch the products out in 1-3 working days after receiving your orders. Delivery time maybe differs from different purchasing way or location, please kindly consult your local distributors for specific delivery time.
-
用途:For Research Use Only. Not for use in diagnostic or therapeutic procedures.
相關產品
靶點詳情
-
功能:Minus-end microtubule-dependent motor protein. Acts as a negative regulator of centrosome separation required to prevent premature centrosome separation during interphase. Required to maintain a centered nucleus to ensure that the spindle is stably oriented at the onset of mitosis. May also act as a negative regulator of amino acid starvation-induced autophagy.
-
基因功能參考文獻:
- The activity of Kif25 during interphase is required to maintain a centred nucleus to ensure the spindle is stably oriented at the onset of mitosis. PMID: 28263957
-
亞細胞定位:Cytoplasm, cytoskeleton, microtubule organizing center, centrosome.
-
蛋白家族:TRAFAC class myosin-kinesin ATPase superfamily, Kinesin family
-
數據庫鏈接:
Most popular with customers
-
-
Phospho-YAP1 (S127) Recombinant Monoclonal Antibody
Applications: ELISA, WB, IHC
Species Reactivity: Human
-
-
-
-
-
-















